1 Department of Pharmacology, JSS College of Pharmacy, JSS Academy of Higher Education & Research, 570015 Mysuru, India
2 Centre for Experimental Pharmacology & Toxicology, Central Animal Facility, JSS Academy of Higher Education & Research, 570015 Mysuru, India
3 Department of Processing Technology (Biochemistry), Kerala University of Fisheries and Ocean Studies, Panangad, 682506 Kochi, Kerala, India
4 Regional Research and Educational Centre, Tamil Nadu Veterinary and Animal Sciences University, 622004 Pudukkottai, India
5 Biodiversity Research Centre, Dohfar University, 211 Salalah, Sultanate of Oman
6 College of Pharmacy and Nutrition, University of Saskatchewan, 107, Wiggins Road, Saskatoon, SK S7N 5C9, Canada
7 Department of Biological Sciences and Institute of Neuroimmune Pharmacology, Seton Hall University, 400 South Orange Ave South Orange, NJ 07079, USA
8 Department of Food Science and Nutrition, CAMS, Sultan Qaboos University, 123 Muscat, Oman
9 Ageing and Dementia Research Group, Sultan Qaboos University, 123 Muscat, Oman
Abstract
Sleep deprivation (SD) is commonly associated with decreased attention, reduced responsiveness to external stimuli, and impaired locomotor and cognitive performances. Strong evidence indicates that SD disrupts neuro-immuno-endocrine system which is also linked to cognitive function. Recently Zebrafish have emerged as a powerful model sharing organizational and functional characteristics with other vertebrates, providing great translational relevance with rapid and reliable screening results. In the current study, we examined the effects of acetylsalicylic acid (aspirin) on cognitive and locomotor activity in sleep deprived Zebrafish model. Learning and memory were assessed by T-maze and locomotor activity was assessed by partition preference and swimming time in spinning tasks. Furthermore, brain bioavailability of aspirin was determined by high performance liquid chromatography. Following drug exposure and tasks, histopathology of the brain was performed. It was observed that three-day SD significantly reduces learning and memory and locomotion in the Zebrafish. Aspirin was found to restore SD induced cognitive decline and improve the locomotor functions. Neuro-inflammation and impaired functional network connectivity is linked to cognitive defects, which implicate the possible benefits of immunotherapeutics. In the present study, aspirin decreased neutrophil infiltration, and increased spine density in dentate gyrus granular and shrinkage and basophil in the CA1 neurons of hippocampus. This hints the benefit of aspirin on neuroimmune functions in sleep deprived fish and warrants more studies to establish the clear molecular mechanism behind this protective effect.
Keywords
- Sleep deprivation
- Acetylsalicylic acid
- Tmaze
- Spinning task
- Cognition
- Neuro-immune
- Zebrafish
Sleep is defined as a “reversible behavioral state of perceptual disengagement from and unresponsiveness to the environment” [1] and drives an interplay between physiological and behavioral processes. Sleep helps to maintain general system homeostasis and is reported to help conserve energy, promote growth and repair, and is also involved in increasing the efficiency of metabolic processes [2]. However, in post-industrial societies, socio-cultural engagements, technological and lifestyle trends are the prime factors that have contributed to disturbances in sleep patterns [3] and have led to an imbalance between endogenous circadian rhythms and light/dark cycle that affects sleep duration and quality [4].
Normal sleeping pattern induces long term potentiation (LTP), synaptic
plasticity and promotes memory formation [5]. Sleep Deprivation (SD) is reduction
in sleeping time below the baseline requirement [6] which is reported to cause
learning and memory deficits [7]. Although the exact pathogenetic mechanism of
action of SD on memory impairment remains elusive, over activation of microglial
cells and increased nuclear factor (NF-
Acetylsalicylic acid commonly known as “Aspirin” is a non-steroidal
anti-inflammatory drug that inhibits COX enzymes and prevents prostaglandin
secretion. It is often hailed as the ‘wonder drug’ [11]. Aspirin is reported to
down-regulate prodynorphin (PDYN) and
Zebrafish is an emerging real-time model system for investigating neurodegenerative diseases and the discovery of neuro-specific drugs. A study showed the marked similarity in the neuroanatomic and neurochemical pathways between Zebrafish and human brains. “Physiological, emotional and social behavioral pattern” were also reported to be similar [14, 15]. The current investigation is the first to demonstrate its beneficial effects in sleep deprivation. In the present study, we used ‘extension of light phase followed by light pulses during the dark cycle’ to induce SD as it is shown to affect humoral innate immune system in Zebrafish which leads to neuroinflammation and cognition impairment [16, 17]. We then performed a rapid and cost-effective evaluation of aspirin in terms of restoration of cognitive and locomotor functions in sleep deprived Zebrafish model. Our data shows that aspirin is neuroprotective.
Wild type 3 months old adult male Zebrafish (Danio rerio) were
acclimatized for a period of 9 days. Fish were maintained on 12 h light and 12 h
dark cycle (250 lux intensity) with zeitgeber time (ZT) where ZT indicates the
beginning of day and lights were ON at 07:00 h and turned OFF at 19:00 h in a 50
L water tank (28
Acute toxicity profile of aspirin was assessed in Zebrafish as per OECD
test guideline 203 [18]. Fish were acclimatized for 9 days (to the laboratory
conditions including water source which includes 48 h settling period + 7 days
acclimatization) and were fed thrice a week until 24 h prior to test drug. The
experiments were carried out at room temperature and oxygen supply was at least
60% of air saturation value. Fish (n = 7/dose) were first exposed to 1
Five groups of adult male Zebrafish (n = 10) were used in the present
study. Group I: Non-sleep deprived group (without SD) was kept under regular
light cycle (12 hL: 12 hD) with lights ON from 7:00 am to 7:00 pm (ZT0). Group
II: Positive control (SD without any treatment) was kept at 18 h light and 6 h
light pulses (which consists of 4 min white light and 1 min red light). Group
III–V were subjected to SD and received aspirin treatments at three different
concentrations dissolved in water tank for 3 days (1, 10 and 100
Light-Dark cycle is the major zeitgeber for circadian rhythm in most animals. Reports indicate that light possesses suppressive effect on sleep in Zebrafish, with no sleep rebound and consequent stress [19]. Sigurgeirsson et al. [20] compared SD induced by extended exposure to light and electric shock methods and found that normal sleep is altered by exposure to light and extended exposure to light causes less deviation from normal sleep wake states [20]. Hence, in the present study we have used light protocol to induce SD in Zebrafish and to evaluate its effect on learning and memory. SD protocol was carried out according to Pinheiro-da-Silva et al. [21].
In this study, SD was induced in fish by extending the light phase followed by light pulses during the dark cycle (4 min white light; 1 min red light). Non-SD group was kept in 12 L: 12 D cycles and the SD control and treatment groups were kept in light for 18 h (Extending the light phase) followed by 6 h light pulses. The apparatus used for this investigation is shown (Fig. 1).
Fig. 1.Set up to induce sleep deprivation using light pulses. Two fish tanks and light source are shown.
T-maze is a powerful tool for assessing learning and memory in
Zebrafish. In the present study, T-maze memory test was done according to the
method by Colwill et al. [22] with slight modification. The apparatus
consists of two short arms (20
Each fish was subjected to two training sessions per day. The fish was released from the end of long stem and allowed exploring for 2 min. Once it crosses the stem the junction is blocked with the help of the Plexiglas. If the fish enters the unfavorable arm, it was disturbed by stirring the water glass rod. Once the fish reaches the favorable arm, a reward of food pellet was given, and the fish was allowed to swim in the wider space for 30 seconds. If the fish did not reach the favorable arm within the required time the fish was guided towards the goal. After 24 h of the second day training latency to reach the favorable arm was recorded to assess the learning and memory.
Partition preference task assesses the locomotor activity in Zebrafish.
The test was performed according to Dubey et al. [23]. The apparatus
consists of glass chamber (20
Spinning task was performed to understand the motor coordination in Zebrafish. The task was performed in a 1000 mL capacity glass beaker which was filled up to 800 mL with water, along with a magnetic stir bar. The magnetic stirrer was transferred to the beaker and the beaker was covered with black walls to prevent external disturbances. Fish were kept in the beaker and allowed to explore for 2 min. Then the magnetic stirrer was turned on and the rotation speed was fixed to 400 rotation per minute (RPM). A whirlpool is formed in the beaker due to the rotation of the stirrer. To avoid whirlpool and escape being swept, the fish tend to move towards the walls of the beaker. With the help of a stop watch the “swimming time” is determined which is defined as the time taken by the fish to be swept into the whirlpool (latency to be swept in the whirlpool) [24].
The brains of the fish from the treatment groups were isolated and fixed
in Bouin’s solution and were dehydrated in ascending grades of alcohol and
cleared in xylene. The samples were embedded in paraffin blocks. Thin sections of
5–6
The pathological lesions in the various regions of brain were evaluated on ordinal scale with distinctive criteria for grading the changes and measured for its severity by counting the number of cells affected and the injury was graded as mild, moderate or severe [27].
In a separate study, a set of six Zebrafish were treated with aspiring
at a concentration of 100
Data analyses were performed using GraphPad Prism 5.0 (San Diego, USA)
software. Multiple comparisons were conducted using one-way ANOVA, and Tukey’s
multiple comparison tests was used for post hoc comparisons. p value
Within 6 h of aspirin exposure at 1000
SD fish took significantly (p ˂ 0.05) longer latency in
reaching the favourable arm when compared to the Non-SD group. Treatment with
aspirin produced a reduction in the time taken to reach the favourable arm in a
dose dependent manner. Though a decrease in time to reach the favourable arm was
observed in aspirin exposure at all the concentrations only 100
Fig. 2.Aspirin reduced the latency
time to reach favorable arm in SD Zebrafish. Untreated sleep deprived Zebrafish
took longer time to reach desired arm when compared to Non-SD Zebrafish (due to
increased latency). Aspirin treatment was found to reduce the latency time in a
concentration dependent manner when compared with untreated SD group. Data were
analyzed by GraphPad Prism 5.0 (San Diego, USA software).
Following SD Zebrafish were seen to have reduced locomotor activity. The
number of squares crossed in glass chamber in 5 min was used to assess the
locomotor activity. SD significantly (p ˂ 0.01) decreased the locomotion
of Zebrafish when compared to Non-SD fish. Treatment with aspirin causes
improvement in the locomotion and exploration in the SD Zebrafish. 100
Fig. 3.Aspirin improved locomotor
activity in sleep deprived Zebrafish. Sleep deprivation reduces the locomotor
activity in Zebrafish when compared with Non-SD group. Treatment with aspirin
(100
Spinning task experiment is used to assess the locomotor activity in
Zebrafish. SD fish showed significant (p
Fig. 4.Effect of aspirin on
spinning task in sleep deprived Zebrafish. Sleep deprivation reduces the swimming
time significantly when assessed using spinning task when compared to Non-SD
group. Treatment with aspirin (100
Serial dilutions of aspirin were prepared at concentrations ranging from
2–10
Fig. 5.Aspirin HPLC chromatogram.
(A) Standard calibration curve for aspirin. The R
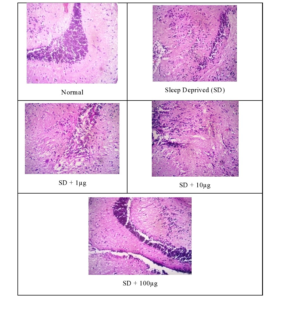
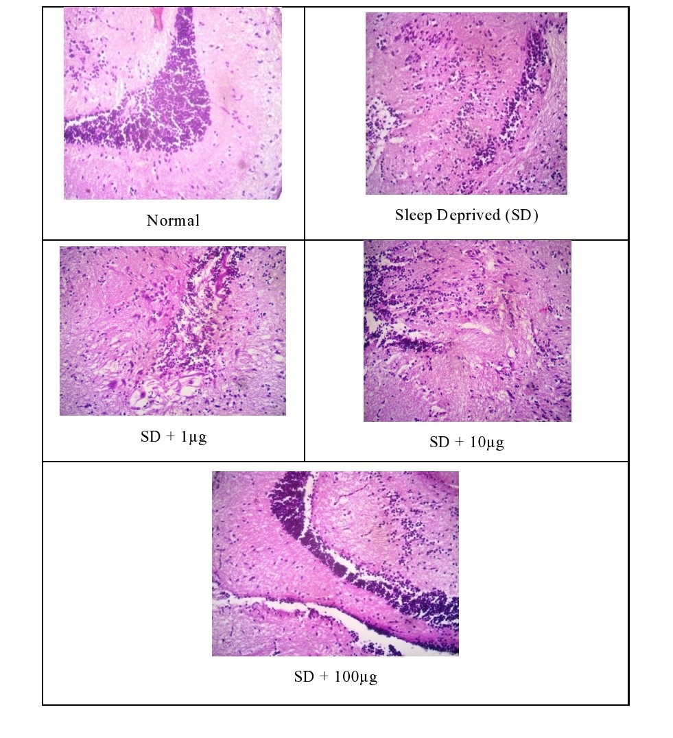
The histopathological examination of brain tissues in Non-SD Zebrafish
revealed normal neuronal and neurophil architecture. The SD group showed
neutrophil infiltration, reduced spine density of basal dendrites in dentate
gyrus granular cells, shrinkage and basophilia of CA1 neurons of hippocampus. SD
fish treated with aspirin at 100
Fig. 6.Effect of aspirin on
histopathological features of brain tissues in SD. The SD group showed neutrophil
infiltration, reduced spine density of basal dendrites in dentate gyrus granular
cells, shrinkage and basophilia of CA1 neurons of hippocampus. Aspirin (100
The present study is the first scientific evidence that demonstrates the
beneficial effects of aspirin in sleep deprivation and associated cognitive
dysfunction. SD is one of the major risk factors that impair learning and memory.
Adverse changes in cognitive performance have been associated with total and
partial SD [6]. In the present study, fish exposed to extended light phase and
light pulses showed decreased locomotor strength in partition preference and
spinning task and increased working errors in T-maze tests, signifying the
induction of SD. Learning a new task leads to increase in intracellular calcium
(Ca
Reports indicate that sleep loss causes “a systemic low-grade
inflammation” which is characterized by the release of cytokines, chemokines,
and acute-phase proteins [31]. Both acute and chronic SD causes bursts of
pro-inflammatory cytokines like hsCRP and TNF-
Substantial evidences indicate that microglial activation causes
cognitive dysfunction and loss of functional synapses in SD [42]. Treatment with
minocycline, a microglial activation inhibitor, reverses the cognitive impairment
[43]. Aspirin, the most used anti-inflammatory drug, acetylates COX1 and COX2 and
decreases prostaglandin and thromboxane synthesis [44]. In the present study, we
established the non-toxic concentrations of aspirin through acute toxicity assay
and treated the Zebrafish with three different safe concentrations (1, 10 and 100
Architectonically and functionally hippocampus consists of distinctive neuronal subfields such as cornu ammonis sectors (CA1-4), dentate gyrus (DG), and subiculum. Sleep disturbances are report to cause high degree of hippocampal CA1 atrophy. Interestingly, atrophy of CA2-4-DG region is linked to cognitive impairment [49]. Neutrophil invasion contributes to neurodegeneration possibly via the release of IL17 or neutrophil extracellular traps (composed of chromatin and proteases) or through microgliosis [50]. Furthermore, activation of neutrophils by microglial cells contributes to neuronal death [51]. We have recently reviewed the role body fluids in sleep [52]. In the current study, histopathological examination of brains of SD fish revealed increased neutrophils infiltration, reduced spine density and neurodegeneration in the dentate gyrus and CA1 regions of hippocampus. This was effectively reversed by aspirin and can be correlated to the improved cognitive performance. These data indicate the potential involvement of aspirin in mitigating the invasion by neuroimmune cells such as microglia, neutrophils, etc. in sleep deprived state. In line with this, we propose that investigations at the molecular level in SD Zebrafish and higher models may help extrapolate data to clinical trials and facilitate the repositioning of aspirin as a possible therapeutic option for SD and associated cognitive dysfunctions.
In summary, the present study demonstrates the beneficial effects of aspirin in improving learning and memory and locomotor activity induced by sleep deprivation in a Zebrafish model. Histopathological reports support the behavioural observations. These effects were proposed to be correlated to aspirin’s role on neuro-immune and dopaminergic system. Further studies are warranted to establish the molecular mechanism in higher phylogenetic orders which may help to extrapolate data to clinical trials and facilitate the repositioning of aspirin as a possible therapeutic option for SD and associated cognitive dysfunctions.
MB and MA performed the study. MB analysed the data, and drafted the manuscript. AB, BR helped during experiment. PE, JPR, LR, JY, SLC, MME helped in drafting manuscript. MKS and SBC designed the study, corrected and finalised the manuscript. All authors have given their final approval for the manuscript.
Not applicable.
Authors acknowledge the infrastructure and facilities extended by JSS Mahavidyapeetha, Mysuru, to carry out the experiments. The language and technical editing done by The Editing Refinery, MD, USA is highly acknowledged.
This research received no external funding.
Authors declare no conflicts of interest.
A






