1 Laboratory of Influenza Research, College of Veterinary Medicine, Institute of Influenza Virus, Chungnam National University, 99 Dae-Hak Ro, Yuseong Gu, 34134 Daejeon, Republic of Korea
2 Institute of Influenza Virus, Chungnam National University, 34134 Daejeon, Republic of Korea
Academic Editor: Josef Jampílek
Abstract
Background: The pandemic caused by the severe acute respiratory
syndrome coronavirus type 2 (SARS-CoV-2) is ongoing, and despite massive
vaccination campaigns, individuals continue to be infected with new SARS-CoV-2
variants. We studied the effects of ginseng, an immune-enhancing agent, on
conferring immunity against SARS-CoV-2 in transgenic mice expressing the
SARS-CoV-2 human angiotensin-converting enzyme 2 (ACE2) receptor.
Methods: Human ACE2-transgenic (ACE2-tg) mice were fed ginseng extract
for 180 days before they were intranasally infected with SARS-CoV-2. The
mortality and morbidity were monitored for 10 days. The amount of antiviral
interferon in the lung tissues was measured using enzyme-linked immunosorbent
assay (ELISA) kits. Results: Thirty percent of the mice fed ginseng
extract prior to infection survived, whereas all those that were not fed ginseng
extract prior to infection died. Viral titers in the lungs were significantly
lower in mice fed ginseng extract than in those not fed ginseng extract. The
induction of antiviral interferon-gamma (IFN-
Keywords
- coronavirus
- SARS-CoV-2
- ginseng
- immunity-enhancer
- antiviral activity

Graphical Abstract. Protection of mouse fed with ginseng against SARS-CoV-2.
Severe acute respiratory syndrome coronavirus type 2 (SARS-CoV-2) belongs to a group of coronaviruses and is responsible for the global coronavirus disease-19 pandemic [1]. The first outbreak of SARS-CoV-2 was reported in late 2019 in Wuhan, China [2]. This virus has since spread rapidly worldwide. The clinical symptoms of individuals infected with SARS-CoV-2 range from asymptomatic to severe pneumonia and death [3, 4].
To protect people from infection by SARS-CoV-2, vaccines using lipid nanoparticle-mRNA technology and adenovirus vectors have been developed and distributed globally. However, breakthrough infections have still been reported in fully vaccinated individuals [5, 6, 7]. SARS-CoV-2 continues to rapidly evolve, resulting in the emergence of multiple variants. The alpha variant (B.1.1.7.), originating in the United Kingdom, showed an increased transmission rate and high mortality in infected humans [8]. Beta variants (B.1.351), originating in South Africa, have increased transmission rates, resistance to antibody therapy, and reduced vaccine efficacy [9]. The delta variant (B.1.617.2), originating in India, became dominant in most countries worldwide and showed an increased transmission rate, resistance to antibody therapy, and reduced vaccine efficacy [10, 11]. Recently, a new omicron variant (B.1.1.529), originating in South Africa, contains multiple amino acid mutations in the receptor-binding domain of the spike protein, suggesting that the current vaccine may be less effective against this variant [12, 13].
Ginseng, the root of the plant Panax ginseng Meyer, is an herbal medicine and immune modulator native to Asia [14, 15, 16]. Ginseng has various pharmacological properties resulting from various bioactive substances, including tetracyclic triterpenoid saponins (ginsenosides), polyacetylenes, polyphenolic compounds, and acidic polysaccharides [17]. In this study, we determined whether a ginseng-containing diet could improve the symptoms of mice infected with SARS-CoV-2.
A SARS-CoV-2 virus strain (SARS-CoV-2/human/Korea/CNUHV03/2020) was propagated
in Vero cells maintained at 37 °C in a humidified 5.0% CO
Korean ginseng (Panax ginseng Meyer) extract was manufactured by the
Geumsan Ginseng & Herb Development Agency after purchasing a four-year-old root
from Wooshin Industrial Co., Ltd. (Geumsan, Chungnam, Korea). The Korean ginseng
was extracted with 70% ethyl alcohol twice at 70 °C for 6 h,
concentrated in a vacuum at 70 °C to 16° Bx, and then
spray-dried to obtain a powder. The Korean ginseng extract contained the
following ginsenosides: Rg1 9.12
Transgenic mice harboring human angiotensin-converting enzyme 2 (ACE2) [B6.Cg-Tg(K18-ACE2)2Prlmn/J] (ACE2-tg mouse) were purchased from Jackson Laboratory (Bar Harbor, Maine, USA). Mice were bred in an animal facility at Chugnam National University, Korea.
Ten five-week-old female ACE2-tg mice were fed daily with a water containing
ginseng extract (50 mg/kg body weight) for 180 days before being intranasally
infected with 1
ACE2-tg mice (n = 3 per group) were fed ginseng extract and infected with
SARS-CoV-2 (1
The supernatant (100
To quantify the virus particles, we used the TaqMan real-time fluorescent PCR
kit TOPrealTM One-step RT qPCR Kit (Enzynomics, Daejeon, Korea) and SARS-CoV-2 N
primers and probe. The following components were mixed in a total volume of 20
Lung tissues used for viral titration were fixed in 10% neutral-buffered
formalin. The tissues were embedded in paraffin, and 0.5
ACE2-tg mice (n = 3 per group) fed ginseng extract for 180 days were
intranasally infected with SARS-CoV-2 (1
The supernatants were obtained after centrifugation and used for the
quantification of interferons, IFN-
Statistical analysis was performed using the Student’s t-test with IBM
SPSS Statistics version 20 (IBM Corp., Released 2011. Armonk, NY, USA).
Statistical significance was set at p
ACE2-tg mice (n = 10 per group) were fed ginseng extract (50 mg/kg) for 180 days
and infected with 1
Ginseng-fed infected mice started to lose weight 6 days post-infection (p.i.),
and infected mice that were not fed ginseng started to lose weight 4 days p.i.
(Fig. 1A). The mean body weight percentage of ginseng-fed infected mice six days
p.i. was 92.8% (p
Fig. 1.Body weight change and mortality in ACE2-tg mice that
were fed ginseng and challenged with SARS-CoV-2. Female ACE2-tg mice (n = 10 per
group) fed a diet containing ginseng extract (50 mg/kg body weight) for 180 days
were intranasally infected with SARS-CoV-2 (1
When mouse mortality was observed, all infected mice not fed ginseng died within
8 days p.i. Three out of the ten ginseng-fed infected mice survived, resulting in
a 30% survival rate (p
ACE2-tg mice (n = 3 per group) were fed ginseng extract (50 mg/kg) for 180 days
and infected with 1
Fig. 2.Viral titers in lung tissues of ACE2-tg mice fed
ginseng and challenged with SARS-CoV-2. ACE2-tg mice (n = 3 per group)
fed a diet containing ginseng extract (50 mg/kg body weight) for 180 days were
intranasally infected with SARS-CoV-2 (1
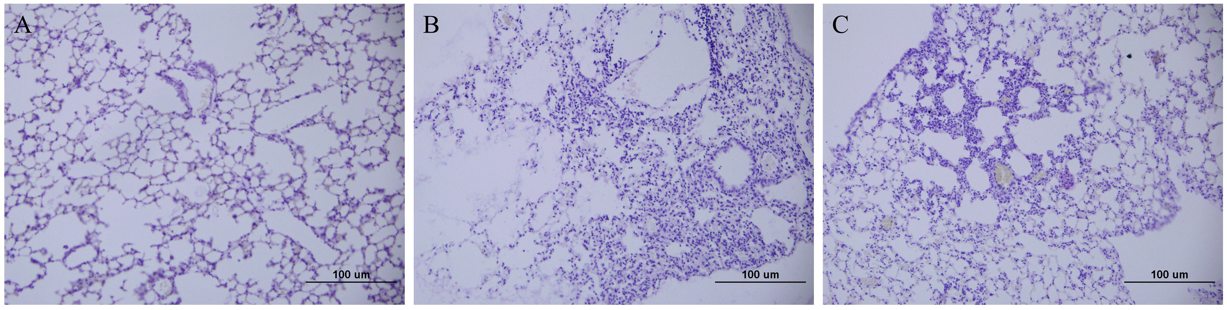
Fig. 3.Lung pathology of ACE2-tg mice fed ginseng and
challenged with SARS-CoV-2. The portions of lung tissues used for viral
titration in Fig. 2 were fixed in neutral-buffered formalin and were embedded in
paraffin. The tissues sections (0.5
The mean viral titer was much lower in the lung tissues of ginseng-fed infected
mice than in those of mice that were not fed ginseng. The mean viral titer of
ginseng-fed infected mice was 1.4
The lung tissues of mice were stained with hematoxylin and eosin to determine the histopathological changes caused by SARS-CoV-2 infection (Fig. 3). The lung tissue of ginseng-fed infected mice showed much milder interstitial pneumonia (Fig. 3C) than that of infected mice not fed ginseng (Fig. 3B). The lung tissues of uninfected mice not fed ginseng did not show interstitial pneumonia (Fig. 3A).
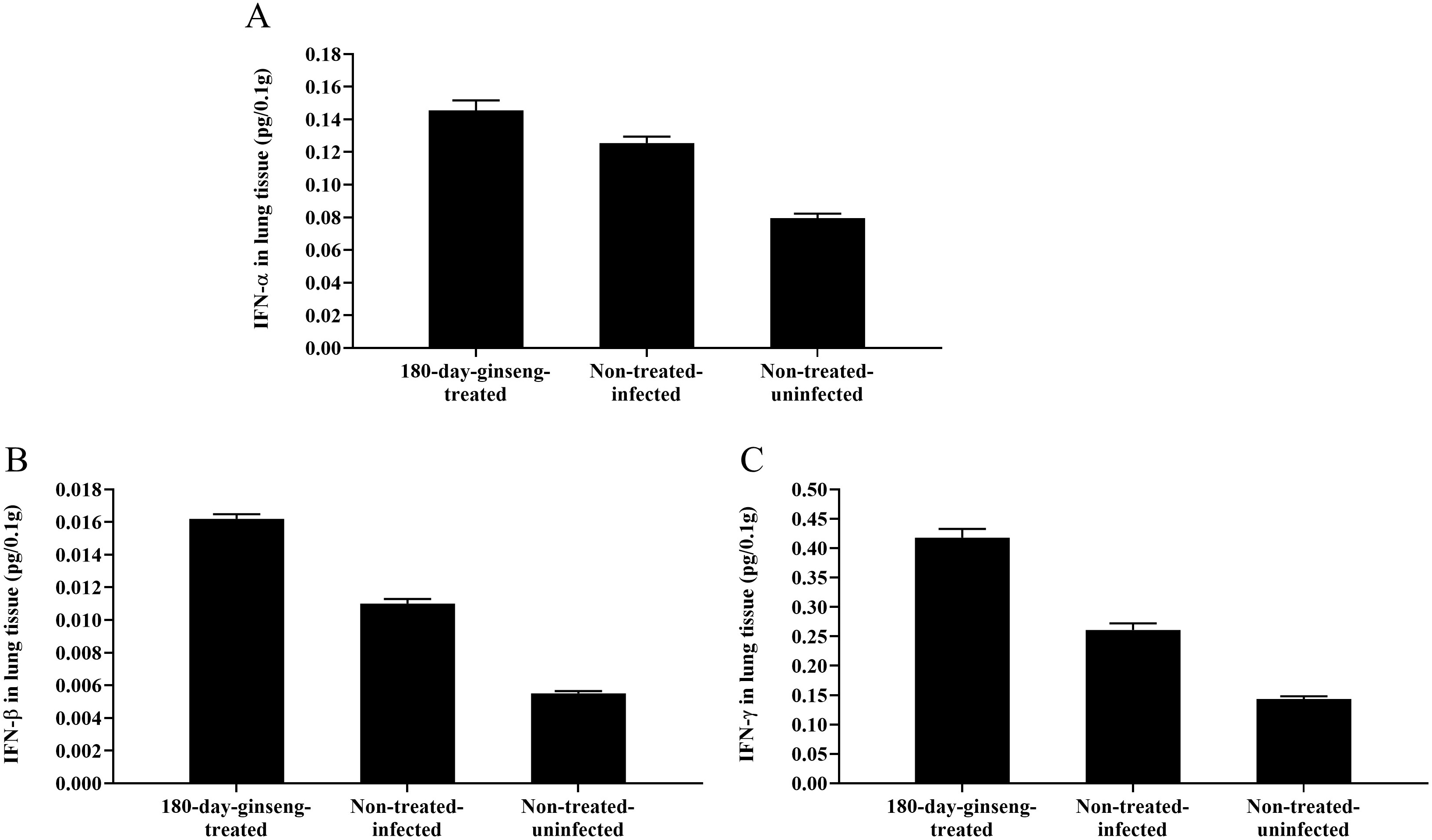
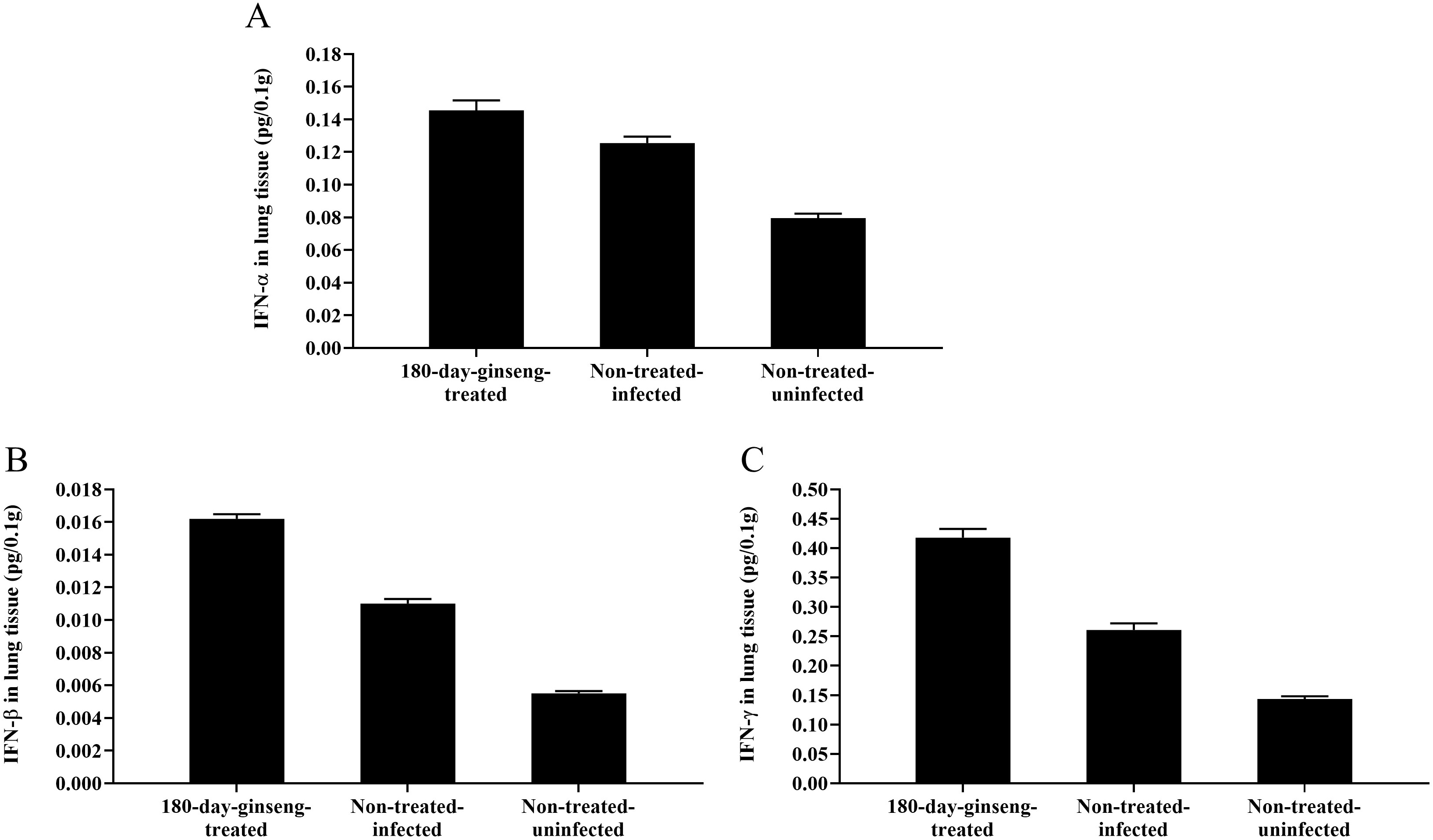
Interferon content in the lung tissues of infected mice euthanized on day 6 p.i.
was measured (Fig. 4) to explain the possible mechanism by which ginseng protects
mice from SARS-CoV-2 infection. We measured interferons (IFN-
Fig. 4.Interferon amount in lung tissues of ACE2-tg mice fed
ginseng and challenged with SARS-CoV-2. ACE2-tg mice (n = 3 per group) were fed
a diet containing ginseng extract (50 mg/kg body weight) for 180 days,
intranasally infected with SARS-CoV-2 (1
In this study, we investigated whether ginseng, an immunostimulator, can boost immune responses in mice infected with SARS-CoV-2. Our results showed that feeding ACE2-tg mice with ginseng for 180 days increased their survival rate and reduced body weight loss after infection with SARS-CoV-2.
Our data showed that the survival rate of ACE-2-tg mice fed ginseng extract and subsequently infected with SARS-CoV-2 was 30%. The effect of ginseng on the survival rate (BALB/c) has also been reported in studies on influenza virus and herpes simplex virus. Mice were fed ginseng extract for two weeks prior to infection with the A/California/2009 strain of the H1N1 influenza virus (responsible for the 2009 pandemic) had an 80% survival rate [18]. Mice fed a 60-day diet containing red ginseng prior to infection with the highly pathogenic H5N1 influenza virus had a 45% survival rate [19]. Korean red ginseng extract increased protective immunity against herpes simplex virus infection. Twenty-five percent of mice fed Korean red ginseng extract for 10 days prior to infection with herpes simplex virus survived, whereas the survival rate of infected mice that were not fed ginseng was only 10% [20].
ACE2-tg mice fed ginseng showed lower viral titers in the lungs than those not fed ginseng, which may explain their increased survival rates. In a study on the H1N1 influenza virus, lung viral titers were two-fold lower 4 days p.i. in mice that were fed ginseng than in those that were not fed ginseng prior to infection [18].
When determining the amount of antiviral interferons in lung tissue,
IFN-
IFN-
Based on our results, it seems that interferons induced by ginseng extract contributes to protecting mice from SARS-CoV-2 infection by inhibiting viral replication. More studies are needed to find out whether other mechanism helps mice to be protected from SARS-CoV-2 infection, and which ingredient of ginseng extract is important for protecting mice from SARS-CoV-2 infection.
Our study suggests that ginseng treatment can augment immune responses in ACE2-tg mice infected with SARS-CoV-2.
SHS contributed to the conception, design, analysis and data interpretation, the drafting of the manuscript, and experiment work.
Animal use committee of Chungnam National University approved the animal works (202003-CNU-023).
This manuscript has been edited by Editage Co.
This study was supported by Geumsan Ginseng and Herb Development (2020715) Agency.
The author declares no conflict of interest. SHS is serving as one of the Guest Editor of this journal. We declare that SHS had no involvement in the peer review of this article and has no access to information regarding its peer review. Full responsibility for the editorial process for this article was delegated to JJ.





