Article Metrics

  • Fig. 1.

    View in Article
    Full Image
  • Fig. 2.

    View in Article
    Full Image
  • Fig. 3.

    View in Article
    Full Image
  • Fig. 4.

    View in Article
    Full Image
  • Fig. 5.

    View in Article
    Full Image
  • Fig. 6.

    View in Article
    Full Image
  • Fig. 7.

    View in Article
    Full Image
  • Fig. 8.

    View in Article
    Full Image
  • Information

  • Download

  • Contents

Abstract

Background: Alzheimer’s disease (AD) type dementia encompasses diverse cognitive deficits marked by free radicals and pro-inflammatory cytokines mediated progressive neurodegeneration and vascular damage including the blood-brain barrier. Subsequently, an imbalance in neurotransmitters, excitotoxicity, and synaptic loss provide impetus to AD pathogenesis and perpetuate brain dysfunctions. Cucurbitacin possesses several biological properties and has shown potential in cancer, diabetes, and brain disorders. In this study, neuroprotective effects of cucurbitacin B (CuB) were investigated using the intracerebroventricular streptozotocin (STZ-ICV) AD prototype. Methods: Wistar rats (adult males) were injected STZ-ICV (3 mg/kg) bilaterally on day(s) 1 and 3. Rats were treated with CuB (25, 50 mg/kg, i.p.) or donepezil (1 mg/kg, i.p.) for 28 days daily starting from day 1. Behavioral tests viz. locomotor activity, motor coordination, and memory functions were conducted at different time intervals. After behavioral tests, biochemical markers of oxidative mutilation, inflammatory cell demise, and neurotransmitters were assessed in the whole brain. Results: CuB attenuated STZ-ICV-induced decrease in spatial memory in novel object recognition task and long-term memory in passive avoidance test. CuB diminished protein carbonyls, lipid peroxidation, 8-hydroxy-2’-deoxyguanosine, and enhanced antioxidants in the brain of rats inoculated with STZ-ICV. A decline in inflammatory and cell death biomarkers was observed in rats treated with CuB and STZ-ICV. In neurotransmitter analysis, a decrease in acetylcholinesterase activity and glutamate levels indicated an increase in cholinergic and attenuation of excitatory transmission in the brain. GABA (γ-aminobutyric acid) levels were enhanced by CuB treatment in the STZ-ICV rat model. Histomorphometry analysis disclosed that CuB treatment caused an increase in viable neuron density in the cortex and hippocampus of rats against STZ-ICV neurotoxicity. Conclusions: It can be inferred that CuB can afford a decline in AD symptoms. CuB protects neurons against STZ-ICV toxicity that improved memory functions in rats.

1. Introduction

Dementia is often a troublesome disorder in old age that not only affects the patient but takes a heavy toll on the caregiver also. Alzheimer’s disease (AD) is the prime basis of dementia that instigates a myriad of cognitive anomalies (e.g., loss of awareness, learning capacity, memory, judgment, reasoning, orientation, vocabulary) and has multifactorial pathogenesis involving oxidative stress, inflammation, cholinergic deficit, and neurotransmitters and hormonal imbalance [1]. Histopathological features of AD include characteristic aggregation of senile plaques encompassing amyloid-β (Aβ) fibrillar peptides and neurofibrillary tangles (NFTs) in the brain ensuing gross brain atrophy [2]. Reactive species (e.g., free radicals) and inflammatory events in the CNS are the earliest mechanisms in the prodromal stage of AD. Mitochondrial dysfunction, loss of glucose metabolism, and ATP (adenosine triphosphate) depletion augment the yield of reactive oxygen species (ROS) and initiate ion-channelopathies and calcium (Ca2+) influx that further perpetuates operational functioning of Ca2+-dependent catabolic enzymes (e.g., calpains, proteases) ensuing damaging influencing in the brain [3]. Energy deficiency can trigger excitatory pathways of cell death via glutamate discharge in the synaptic cleft. The presently available therapeutic approaches are based on symptomatic treatments only with a focus on inhibition of acetylcholinesterase enzyme (galantamine, donepezil, rivastigmine), improvement in cerebral blood flow (piracetam), and inhibition of excitatory drive (memantine) in the brain [4]. However, none of these drugs target more than a single pathogenic mechanism that is the prime reason for their limited therapeutic success. Pathogenic mechanisms of AD are diverse and there is a need for treatment approaches that may target multiple pathways simultaneously.

Cucurbitacins are tetracyclic terpenes with steroidal structures present in plants (e.g., pumpkins, squash, bottle gourds, and cucumbers) of diverse families viz. Cucurbitaceae, Scrophulariaceae, and Brassicaceae [5]. Cucurbitacin B is comprised of 19-(109β)-abeo-10-lanost-5-ene triterpene basic structure and has been used against inflammation, hepatotoxicity, and cholestasis. Cucurbitacin B (CuB) has cytotoxic, anti-atherosclerotic, anticancer, hypoglycemic, and immunomodulatory properties [6, 7]. CuB modulates several signaling pathways such as p38, JNK (c-Jun N-terminal kinase), Ras-Raf-ROCK1 (Rho-kinase) pathway, Akt, ERK (extracellular-signal-regulated kinase), and STAT3 (signal transducer and activator of transcription 3) that might be the reason for implication in several disorders. It also acts on many molecular mechanisms related to PARP (poly-adenosine diphosphate-ribose polymerase), caspase-3, cofilin, G-actin, F-actin, GSK3β (glycogen synthase kinase 3β), matrix metalloproteinase (MMP-2 and MMP-9), MPO (myeloperoxidase), apoptotic factors (Bcl2, Bax, BclXL), and COX-2 (cyclooxygenase-2) that reduce inflammation and might prevent neurodegenerative events as occur in AD type dementia [5, 6, 7, 8]. In several studies, CuB exhibited potent anti-cancer activity by inhibiting telomerase and c-Myc (master regulator of cell cycle entry and proliferative metabolism) and inducing apoptosis in cancer cells [9]. CuB inhibits the cell cycle at the G2/M phase that triggers apoptotic machinery curbing the proliferative mechanisms in diverse tumor cell lines (IC50 15–30 nM) [9, 10]. Although the precise mechanistic signal transduction pathway is uncertain, however, CuB inhibits the JAK-STAT3 pathway, which is required for the longevity of cells and impedes the mitogen-activated protein kinase (MAPK) mechanism [11]. CuB also inhibits the transcriptional activity of hypoxia-inducible factor-1 (HIF-1) and nuclear factor kappa-light-chain-enhancer of activated B cells (NF-κB) [5, 6].

Although CuB has low oral bioavailability, however, it distributes widely into interior body organs. It has a high Vd (volume of distribution) and tissue: plasma ratio [12]. The low oral bioavailability and a bitter taste prompted the administration of CuB systemically (e.g., intraperitoneal injection) in different studies [7, 12]. In urine and feces, very minuscule amounts of unaffected CuB are expelled signifying that this molecule can be bio-transformed before elimination [12]. Despite the above findings, the effects of CuB against dementia have not been explored so far in suitable details. Furthermore, Li et al. [13] suggested that CuB enhanced neurite outgrowth (neurogenesis) in PC12 cells and primary neuron culture. CuB protected hippocampus neurons in APP/PS1 (amyloid precursor protein/presenilin1) mice model and caused an improvement in the working memory in these mice. The current investigation was aimed to elucidate the neuroprotective properties of cucurbitacin B (CuB) in AD type dementia model simulated by intracerebroventricular (ICV) streptozotocin (STZ-ICV) injection in rats and also delineated its mechanism in relation to oxidative stress and inflammation.

2. Materials and methods
2.1 Experimental subjects

The investigation procedure was permitted by the Animal Ethics Committee of Henan Hospital of Traditional Chinese Medicine (The Second Affiliated Hospital of Henan University of Chinese Medicine) (Henan, China) vide protocol approval reference no. ky20210429002 on 29-04-2021. Adult male Wistar rats (age 6–8-month, body weight range 225 ± 10 g) were retained within a well-maintained laboratory setting. A single rat was held discretely in one polyacrylic cuboidal enclosure and fostered on a typical pellet fodder. Purified (reverse osmosis) water was provided with unhindered admittance. In pre-surgery measures, 12 h before surgery rats fasted, but access to water was given at will. The animal custodian and handlers were blinded with respect to different therapeutic regimens facilitated to animal cohorts. Investigative trials on animals were executed succeeding at least a single fortnight of familiarization duration. All investigations using animals were performed between 0900- and 1600-h duration in a day.

2.2 Drugs and chemicals

Cucurbitacin B (Mol. weight 556.69, purity >95%), donepezil (DNP), streptozotocin (STZ), and standard analytes (glutamate and GABA) were attained from Merck (China). Sodium dihydrogen phosphate (NaH2PO4), potassium phosphate dibasic (K2HPO4), ethylenediaminetetraacetic acid (EDTA), hydrogen peroxide (H2O2), Folin & Ciocalteu’s phenol (FCR), formalin, bovine serum albumin (BSA), trichloroacetic acid (TCA), butyl alcohol, 4,6-dihydroxy-2-mercaptopyrimidine (2-TBA), glacial acetic acid (CH3COOH), pyridine, Ellman’s reagent (3-Carboxy-4-nitrophenyl disulfide, DTNB), sulphosalicylic acid (5-SSA) reagent, dimethyl sulfoxide (DMSO), and sodium lauryl sulphate (SLS) (TCI, Shanghai, China); (2-Mercaptoethyl)trimethylammonium iodide acetate (acetylthiocholine iodide), dimethylsulfoxide (DMSO), phenazine methosulphate (5-methylphenazinium methyl sulfate), NADH disodium (DPNH), methanol, acetonitrile (HPLC grade), 2,4 dinitrophenylhydrazine (DNPH), nitrous acid sodium (NaNO2), disodium carbonate (Na2CO3), 2-(1-Naphthylamino)ethylamine dihydrochloride, Rochelle salt (potassium sodium L(+)-tartrate), 0.5% Cetyltrimethylammonium bromide (HETAB), 3,3’,5,5’-Tetramethyl-[1,1’-biphenyl]-4,4’-diamine (TMB substrate), p-aminobenzenesulfonamide, N-formyldimethylamine, n-heptanes (Fischer-Scientific); catalase and pyruvic acid sodium salt (Cayman Chemicals, Ann Arbor, USA) were attained. Artificial cerebrospinal fluid (aCSF) is arranged using reagent compositions: 147 mM NaCl (0.0859 g), 2.9 mM KCl (0.00216 g), 1.6 mM MgCl2 (0.00152 g), 1.7 mM CaCl2 (0.00249 g), 2.2 mM dextrose (0.00396 g) in 10 mL of water for injection (pH 7.3).

2.3 Intracerebroventricular injection of streptozotocin (STZ-ICV)

Animals were subjected to anesthesia by administering ketamine (90 mg/kg) and xylazine (10 mg/kg) intraperitoneally (i.p.). The body was laid in the prone position on a warm heating cushion and in the mount of a stereotaxic surgery instrument the head was situated. The scalp was incised at the mid-sagittal point and the skull was uncovered by retracting the skin apart. Any one of the dual lateral ventricles was arbitrarily chosen and, in the skull, parietal bone was bored (stereotaxic coordinates –0.8 mm anteroposterior from bregma, ±1.5 mm mediolateral from mid-sagittal suture, and ±3.6 mm dorsoventral from the parietal bone surface) to make a burr hole [14]. On day one, STZ solution was freshly constituted at dose 3 mg/kg in aCSF (10 μL ICV-vehicle) and was gradually inoculated (Hamilton microsyringe) at flow rate 1 μL/min in the left or right cerebral ventricle of rats over 10 min extent [15]. After inoculation of the whole drug, the microneedle was refrained from dislodging for 4–5 min to enable smooth diffusivity of STZ in the brain CSF and thwart its regurgitation. An equivalent volume (10 μL) of aCSF-vehicle was administered in sham (S) rats that were identically operated but STZ was not injected. Post drug injections, the holes were restored using a luting agent (Zinc phosphate, PYRAX®) and stitching of the skin was accomplished. To avert contamination (bacterial growth), Neosporin® treatment was given pro re nata. After 48 h, the ICV injections once recurred in the residual lateral ventricle. To evade postoperative sepsis, Orizolin (Zydus Cadila), dose 30 mg/kg (i.p.), was administered. Each rat was provided a warm environment (37 ± 0.5 C) to avert postsurgical hypothermia. Each rat was allowed access to semi-solid food (inside the cage) and water gratis after surgery for 7 days and housed discretely in a distinct cage (30 × 23 × 14 cm3).

2.4 Experimental protocol

The CuB was homogeneously dissolved in a 0.1% dimethylsulfoxide (in normal saline, isotonic 308 mOsmol/L NaCl) vehicle and administered in doses 25 and 50 mg/kg in rats via the intraperitoneal (i.p.) path [8]. The rats were disseminated in 6 clusters in a single-blind manner by means of arbitrary dispersal scheme (n = 10): (i) Control (C), (ii) Sham (S), (iii) S+CuB50, (iv) STZ-ICV, (v) STZ-ICV+DNP, (vi) STZ-ICV+CuB25, (vii) STZ-ICV + CuB50. Rats were injected STZ-ICV or exposed to sham surgery on the day(s) 1 and 3. The CuB was injected for 28 uninterrupted days once daily 120 min later to STZ-ICV or sham surgery from day 1 onwards. Donepezil (DNP) was used as a standard drug in this study and given (dose 1 mg/kg, i.p.) in STZ-ICV injected rats for 28 successive days [15]. Animals in control, sham, and STZ-ICV control groups were administered vehicle (0.1% DMSO/normal saline in dose-volume 5 mL/kg) from day 1 to 28. The locomotor and sensorimotor capabilities of animals were judged on the day(s) 1, 2, and 25 (Fig. 1). The working kind reminiscence memory of rats was appraised on day 26 by means of a novel object recognition test (NORT). On day(s) 27 and 28, entire animal clusters were given trials on passive avoidance (PA) instrument. Later whole brains were garnered for histopathological scrutiny and computation of biochemistry values of oxidative mutilation such as 8-hydroxy-2-deoxyguanosine (8-OHdG), protein carbonyls, thiobarbituric acid reactive substances (TBARS), superoxide dismutase (SOD), catalase, and glutathione (GSH). Biological indicators of cell demise viz. lactate dehydrogenase (LDH) and caspase-3, acetylcholinesterase (AChE), γ-aminobutyric acid (GABA), glutamate, inducible nitric oxide synthase (iNOS), inflammation such as tumor necrosis factor-α (TNF-α), interleukin-1β (IL-1β), and myeloperoxidase (MPO) were also gauged.

Fig. 1.

Rats were exposed to streptozotocin (STZ) administered through intracerebroventricular (ICV) route (STZ-ICV) or sham surgery on day(s) 1 and 3 and were administered cucurbitacin B (CuB, 25 and 50 mg/kg) or donepezil (DNP, 1 mg/kg) post-surgery (i.p.) for 28 uninterrupted days once daily initiating from day 1. Rats were subjected to locomotor and rotarod examinations on the day(s) 1, 2, and 25. Novel object recognition test (NORT) and passive avoidance (PA) test were conducted to evaluate memory functions in rats. Biomarkers of cell death, inflammation, neutrophil extravasation, redox-imbalance, and neurotransmitters were assessed in the brain of rats after behavioral studies.

2.5 Locomotor activity

Digital actophotometer quantified the ambulatory behavior in entire rat clusters. An individual rat was positioned in the center of the arena and provided 5 min of acquaintance for adaptation. Prior to drug administrations, on 1st day, a basal score (the number of counts) was noted within a cut-off period of 10 min for each rat. Ambulation trials were re-performed on day(s) 2 and 25 before the initiation of behavioral trials of memory functions.

2.6 Sensorimotor investigations

The rotarod trials were conducted for appraising the sensorimotor parameters such as balance and coordination in rodents. The rats were exposed to training trials up to the level at which they were able to run >60 sec on the rotating rod at 9 revolutions per min (rpm). Post-training, an individual rat was positioned on the shaft and the velocity of revolutions was boosted gradually at an interval of 10 sec uniformly from an initial speed of 6 rpm to a final speed of 30 rpm spanning over 50 sec period. Mean fall-off latency (in seconds) from the revolving cylindrical-shaft was stated in the results.

2.7 Evaluation of working memory

NORT is an unprofitable and non-hostile exteroceptive archetype employed to assess working type recollective memory exploited through impulsive probing conduct of rodents. The investigation is performed in a rooftop-open plywood cuboidal vessel (80 cm × 42 cm × 62 cm), positioned in a silent area illumined by a 60W LED to manage consistent brightness in the vessel. Cylindrical (white), pyramidal (red), and cubical (black) shaped (12 cm tall) wooden items (in identical triplets) were solid and of enough weight to render them immobile by rodents. NORT was performed on the 26th day in 3 stages (S): acclimatization (S1), acquisition (S2), and novel object recognition examination (retention) stage (S3). During S1, 3 successive days erstwhile to trials were issued to discover the vacant floor base of the vessel (5 minutes) by rats. At the completion of S1, the individual animal was habituated to any one set of solid items in the learning stage (S2). Twin alike things were positioned in 2 arbitrarily selected contrary angles of the vessel (9–11 cm gap from the side ramparts). Separately, a rodent was positioned at the center of the vessel facing opposite to the 2 solid items and permitted to discover the 2 alike items for 5 min. Guiding the snout near the object at 2–3 cm distance or physical contact with the item with the muzzle was supposed as investigative conduct. Post S2, the rodent was housed in the home-cage trailed by an intertrial recess (ITR) of 60 min. Any single solid item offered in S2 was swapped by a different solid item, and rodents were represented again to twin items, i.e., a replica of the acquainted item and the different item. The whole of the amalgamations and positions of the items were offset to abate likely prejudice instigated by a penchant for certain settings or items. The vessel and solid items were meticulously wiped (ethyl alcohol 15% and dry cloth) after every investigation to curb the odorous signs. The period expended discovering each item in S2 and S3 was documented using a stopwatch. Duration expended investigating the two matching items in S2 (I1 = Ii1 + Ii2) and duration expended investigating the two unlike items, acquainted and different in S3 (I2 = Ii3 + Ib) was recorded. The variance in duration expended investigating the different item and the duration of investigating the acquainted item (IbIi3 = DI) discloses retention of recollective memory. DI (discrimination index)/S3 duration (s) of investigating both the acquainted and new item (amended DI) improves the partialities by variances in the complete investigation and denotes the penchant for different items in contrast to acquainted ones {DI = (IbIi3) / (Ii3 + Ib)}. Recollective memory was appraised by quantifying the skill of rodents to single out the familiar/novel items in S3 and stated as DI (amended for overall investigation period in S3) [16].

2.8 Passive avoidance test

Rodents are inherently explorative by nature, which is measured in this test in terms of aversive or avoidance memory. In this inhibitory aversive investigation, the impulsive exploratory behavior of the rat is curbed where it adjusts to dodge the aversive impetus presented by means of scrambled foot shock (1.1 mA for 5 sec). The step-through passive avoidance (PA) apparatus comprises dual identical proportion compartments (23 × 22 × 23 cm3) parted by a guillotine gate. These are designated as light (plexiglass walls with illumination 60 Watt LED) and dark (plywood walls) chambers. The base of the dark chamber embodied a stainless-steel wire lattice (4.5 mm diameter wire organized 9.0 mm apart) for electric shock transmission. The PA device is positioned in a silent place and trials were conducted. In the acquisition phase, an individual rat was situated in a light chamber facing contrary to the guillotine entrance. After 10 sec the gate was opened to facilitate rodent passage in the dark chamber and this passage time was recorded manually by means of a digital stop-watch. Subsequently, an ineludible foot-shock was transmitted post-gateway closure. The rat was extracted out from the dark chamber after 15 sec of the end of shock and relocated to its home cage. After 24 h interval, each rat was again subjected to a similar probe (retention trial) excluding foot-shock. In both trials, the step-through latency time (STL) taken for passage in the dark chamber was documented with a 300-sec cut-off duration [17].

2.9 Estimation of biochemical parameters

After completion of the behavioral examinations, rats were euthanized under anesthesia, given by sodium pentobarbitone (dose 150 mg/kg, i.p.), using the cervical dislocation technique. The complete brain of the rats was garnered, positioned on pulverized ice-cubes trailed by bathing with freezing sterilized saline (isotonic 308 mOsmol/L NaCl) to eradicate the remains and blood. Homogenization of the entire brain was instantly accomplished in freezing 50 mM sodium-phosphate phosphate buffer (pH 7.40) by means of a tissue homogenizer and a 10% w/v brain homogenate was organized. Later, a clear superfluous fluid (supernatant) was removed post-centrifugation (15 min at 4 ℃ at 12,000 ×g force) of the entire brain homogenate. The pure supernatant was secluded for the biochemical investigations.

2.10 Thiobarbituric acid reactive substances (TBARS) levels

To evaluate TBARS (nmol per mg protein) [18] the analyze combination (concluding quantity ~4 mL) comprising 0.10 mL homogenized brain, 1.51 mL 4,6-dihydroxy-2-mercaptopyrimidine (0.8%), 200 μL SLS (8.18%), 1.49 mL glacial acetic acid (21%, pH 3.51), and 0.71 mL deionized water was subjected to water-bath heating at 96 ℃ for 60 min. A 15:1 ratio butyl alcohol/azabenzene (5.1 mL) was supplemented in analyze concoction that was centrifugated at 4000 ×g power (10 min), and the supernatant was secluded. With a twin-beam UV1700 spectrophotometer (Shimadzu, Japan), chromophore malondialdehyde-4,6-dihydroxy-2-mercaptopyrimidine O.D. was appraised at a wavelength (λmax = 532 nm), and ε = 1.56 × 105/M/cm (molar extinction coefficient) was applied to compute 4,6-dihydroxy-2-mercaptopyrimidine adducts.

2.11 Glutathione (GSH) levels

Ellman’s procedure was implemented to appraise L-glutathione (GSH) content. The test concoction encompassing homogenate (1.1 mL) and 1 mL of 4% 2-hydroxy-5-sulfobenzoic acid (5-SSA) was centrifugated (4 C) for 11 min at 2500 ×g power. Later, 2.8 mL Na+-K+ [PO4]2-buffer (51.2 mM, pH 7.77) and 0.21 mL 3-carboxy-4-nitrophenyl disulfide (0.12 mM, pH 7.89) was blended with above separated supernatant (0.12 mL). Tripeptide (μmol GSH per mg protein) was quantified with twin-beam UV1700 spectrophotometer (λmax = 412 nm) applying ε = 1.36 × 104/M/cm [19].

2.12 Superoxide dismutase (SOD) activity

The rate of SOD (EC 1.15.1.1) action (Units per mg protein) was measured in the reaction concoction that involved 0.3 mL homogenate, 100 μL 5-methylphenazinium methyl sulfate (197 μM), and 1.3 mL sodium diphosphate tetrabasic (0.066 mM, pH 7.2). Reaction commencement by 200 μL β-nicotinamide adenine dinucleotide (DPNH) (780 μM) and halted 60 sec later by including 1 mL glacial CH3COOH in this blend. Chromogen quantity generated was computed by noting the color strength at λmax = 560 nm [20].

2.13 Catalase activity

To assess rate of catalase (EC 1.11.1.6) action, O.D. discrepancy (λmax = 240 nm) of the analyze concoction (3.0 mL) comprising 50 μL investigating sample, 1.22 mL H2O2 (0.03 M) in Na+-K+ [PO4]2- buffer (pH 7.91, 0.06 M), and 1.63 mL of 0.06 M Na+-K+ [PO4]2- buffer (pH 7.1) was recorded. Catalase activity (μmol H2O2decayed per minute per mg protein of brain) was computed applying ε = 43.6/M/cm [21].

2.14 Acetylcholinesterase (AChE) activity

Briefly, the reaction concoction quantity was made of 100 μL (2-mercaptoethyl)trimethylammonium iodide acetate (1.585 M), 100 μL Ellman’s reagent (0.01 M), 3 mL Na+/K+ PO43- buffer (0.10 M, pH 8.0), and 0.05 mL supernatant. O.D. disparity was recorded at λmax = 412 nm by employing binary-beam UV1700 spectrophotometer. The rate of AChE (EC 3.1.1.7) (μmol acetylthiocholine iodide hydrolyzed per min per mg protein) action was computed applying ε = 1.36 × 104/M/cm at λmax = 412 nm [22].

2.15 Lactate dehydrogenase (LDH) activity

The rate of lactate dehydrogenase (EC 1.1.1.27) (μmol NADH oxidized per min per mg protein) action was scrutinized by means of the procedure of Kaja et al. [23] applying ε = 6220/M/cm at λmax = 340 nm. The whole assay concoction (3 mL) comprised of supernatant (q.s.), 1 mL Tris-HCl buffer (0.2 M, pH 7.4), 150 μL KCl (0.1 M), 150 μL pyruvic acid sodium salt (50 mM), and 200 μL NADH (2.4 mM). A reduction in extinction for 2 min at 25 C was documented.

2.16 Total proteins

The overall protein level (mg/mL of homogenate) was computed by means of a typical curvature graph of bovine serum albumin having a solution strength array of 0.3–3.8 mg/mL. The examination combination was organized comprising 250 μL homogenate, 5.1 mL Lowry’s reagent, Na+-K+ [PO4]2- buffer (900 μL), and 1.1 N 500 μL FCR. The discrepancy of O.D. was observed at λmax = 650 nm [24].

2.17 Myeloperoxidase activity

The rate of myeloperoxidase (MPO, EC 1.11.2.2) action (Units per mg protein) correlates with neutrophil extravasation at inflammatory sites. After homogenization of sample in 10 times greater freezing Na+-K+ [PO4]2- buffer (50 mM, pH 6.2), it was supplemented with 0.5% cetyltrimethylammonium bromide and 10 mM EDTA. H2O2 mediated TMB substrate oxidation is catalyzed by MPO that creates a blue chromogen having λmax = 655 nm. This homogenized sample is mixed with 0.5 mL assay blend having Na+-K+ [PO4]2- buffer (79.8 mM, pH 5.4), 0.5% w/v cetyltrimethylammonium bromide, and 1.6 mM TMB substrate in form of a 9.9 mM stock-solution organized in N-formyldimethylamine. The entire assay volume is then heated (37 C), the reaction was commenced with 0.29 mM H2O2, and later incubated (37 C) for 3 min. The inclusion of catalase (20 μg/mL) and 0.22 M sodium acetate (2.1 mL, pH 3.4) at 4 min interlude along with ice-cooling halted this reaction. The unnecessary membranous matter is excluded by centrifugation to avoid meddling with the spectrophotometric investigation. At λmax = 655 nm O.D. is recorded, which is amended by deducting the blank value. Quantity of MPO that modify O.D. per min of 1.0 at 37 C in final reaction capacity containing sodium acetate equals one unit of activity. MPO activity (U per mg protein) = N/tissue weight, Where N = 10 × (alteration in O.D./min)/quantity of supernatant taken in final reaction [25].

2.18 Protein carbonyls

Brain homogenates were diluted to 750–800 μg/mL of protein in each sample. 200 μL of 2,4 dinitrophenylhydrazine (10.1 mM) or equivalent quantity of 2 M HCl was included in 1 mL of diluted sample. This concoction was incubated at 25 ℃ for 90 min under dim light. Next, 0.6 mL of denaturing buffer (149.8 mM Na+-K+ [PO4]2- buffer, pH 7.1 with 3% SLS), 1.8 mL of n-heptane (99.5%), and 1.8 mL of ethyl alcohol (99.8%) were incorporated. The assay blend was vortexed for 42 sec and centrifugated at 4500 ×g force for 15 min. Protein content was skimmed off and rinsed in 1.0 mL of acetic acid ethyl ester (CH3COOC2H5) and ethyl alcohol 1:1 (v/v) solution. The secluded protein was re-suspended in 1.0 mL of denaturing buffer, variation in O.D. was documented at λmax = 370 nm by means of spectrophotometric probes, and protein carbonyls (nmol per mg protein) was computed by applying ε = 22,000/M/cm [26, 27].

2.19 HPLC-FLD analysis of neurotransmitters

After meticulous surgical removal of the entire brain, weighing and homogenization were accomplished by means of 84:16 v/v methyl alcohol/H2O (15 volumes) blend. Centrifugation of this homogenate at 8150 ×g power for 15 min at 4 C produced a supernatant that was secluded, filtered (mixed cellulose esters MF-Millipore membrane 0.22 μm pore size), and kept at –20 C till its derivatization. Initially, in 10 μL of filtered supernatant 990 μL of deionized water was incorporated. Pre-column derivatization (25 C, 10 min) of 100 μL of standard or test sample was conducted in Eppendorf tubes using 22 μL of OPA solution comprising of methanolic o-phtalaldehyde (5 mg/mL), 0.075 mL boric acid buffer (pH 10.1), and 0.005 mL 3-sulfanylpropanoate. 20 μL of this derivative was introduced into the HPLC (Waters) column (C18 column; 5 μm, 4.6 × 250 mm). A fluorescence detector (Agilent 1260 Infinity FLD G1321C) (excitation wavelength λmax = 337 nm, emission wavelength λmax = 454 nm) along with LC-10 AD pump employed. HPLC grade acetic acid Na+ salt (0.05 M), oxolane, and methyl alcohol (49:1:50 v/v) (pH 4.1) in a blend was filtered (MF-Millipore 0.22 μm), vacuum degassed, and then injected (0.05–0.1 mL/min rate) in column (25–30 C). Compounds were eluted isocratically over a 15 min. Neurochemicals (glutamate and GABA) were enumerated by applying external standards and the area under the peak procedure. The peak zones were gauged by injecting the sequential dilutions of standards. Peak zones on the upright axis relative to matching concentrations of apiece separate amino acid on the flat axis were designed graphically to acquire a linear standard curve that was utilized to compute the sample (brain) viz. glutamate and GABA strengths (μg/mg).

2.20 Enzyme-linked immunosorbent assay

With help of the dual antibody sandwich ELISA technique, TNF-α (#KB3145, Krishgen Biosystems), 8-hydroxy-2-deoxyguanosine (#ADI-EKS-350, Enzo LifeSciences), IL-1β (#ADI-900-131A, Enzo LifeSciences), caspase-3 (#E4592, Biovision), and iNOS (#E4649, Biovision) levels in the whole brain samples were computed. A standard protocol according to the training catalog was duly adopted. In brief, post-homogenization, the entire brain was centrifugated for 20 min using 2500 ×g force. Subsequently, in a plate having 12 × 8 rat monoclonal antibody pre-coated wells, the supernatant was added followed by incubation at 37 C for 60 min. Later, sequential addition of biotin-labeled detection antibody and streptavidin-horseradish peroxidase was performed and covered plates were subjected to incubation. Incorporation of chromogen A/B or TMB substrate reflected blue coloration. The reaction was halted using a stop solution and O.D. was documented (λmax = 450 nm) within 15 min by means of an ELISA reader (iMARK, BIORAD). A standard curve using diverse concentrations of standard rat TNF-α (450, 225, 56.25, 28.13, 14.06, 7.03, and 3.51 pg/mL), IL-1β (31.3, 62.5, 125, 250, 500, 1000, and 1000 pg/mL), caspase-3 and iNOS (0.313, 0.625, 1.25, 2.5, 5, 10, and 20 ng/mL), and 8-OHdG (0.94, 1.875, 3.75, 7.5, 15, 30, and 60 ng/mL) was graphically designed to compute TNF-α (pg/mL), IL-1β (pg/mL), caspase-3 (ng/mL), iNOS (ng/mL), and 8-OHdG (ng/mL) in the test samples.

2.21 Brain histopathology

Employing a gravity-fed diffusion setup, rats were intracardially (via left ventricle) diffused with 10% neutral buffered formaldehyde (10% NBF) solution and acutely anesthetized. Hippocampus and cortical sectors are immersed in fixative (10:1 fixative: tissue proportion) viz. 10% NBF for one week (4 C) accompanied by 0.04% natriumazid (pH 7.4). Ethyl alcohol (70%) was employed as a packing solution for fixed tissue portions kept at 4 C. A microtome cutter (rotation type) was employed to acquire thin portions (5.0 μm), which were then tinted with colorant hematoxylin and eosin (H&E). Slides were made permanent by means of DPX-resin, later cover-slipped, and inspected through an optical microscope (binocular) at × 20 and × 40 magnifications. In histomorphometry analysis, cortical neuron densities (per μm2) were determined by counting viable neurons using ImageJ software (NIH Image 1.61; National Institute of Health; Bethesda, MD, USA).

2.22 Statistical analysis

A skilled experimenter blinded to miscellaneous drug regimens given to animal cohorts scrutinized and evaluated the data. Outliers were not pragmatic (Grubb’s test) in the data and Kolmogorov-Smirnov test and Levene’s test confirmed normal distribution of variables and homogeneity of variance (HOV p > 0.05, Levene’s test) respectively. Otherwise, in case of unequal variance (HOV p < 0.05, Levene’s test), Welch’s ANOVA (p < 0.05, F-statistic) and Games-Howell post-hoc tests can be applied. Means of normally distributed variables were scrutinized and related by one-way ANOVA (data from PA test, NORT, biochemical, and histomorphometry parameters) or repeated measures two-way ANOVA (data of locomotor activity and rotarod test). In case ANOVA outcomes are significant (p < 0.05) in F-statistics, multiple comparison tests viz. Tukey’s HSD (Honest Significant Difference) or Bonferroni were applied. Statistical significance was deemed at p < 0.05 and the results were stated as mean ± Standard Error of Mean (S.E.M.).

3. Results
3.1 Locomotor and sensorimotor abilities were unaffected by drug treatments

The locomotion and motor coordination of rats were evaluated before surgery (1st day), 24 h after surgery (2nd day), and preceding behavioral tests (25th day). Results displayed no significant changes in the locomotor activity (Fig. 2A) and sensorimotor performance (Fig. 2B) of rats in different groups. STZ-ICV treatment had no significant (p > 0.05) bearing on the locomotor ability and sensorimotor performance of rats in relation to the vehicle-treated control group and sham rats.

Fig. 2.

Effect of cucurbitacin B (CuB) post-treatment (25 and 50 mg/kg) on (A) locomotor activity, (B) motor coordination, (C) working memory (in NORT), and (D) aversive memory (in passive avoidance test) of rats against intracerebroventricular administered streptozotocin (STZ-ICV). n = 10, ### p < 0.001 vs. sham (S) group; * p < 0.05; ** p < 0.01; *** p < 0.001 vs. STZ-ICV group; $$$ p < 0.001 STZ-ICV + CuB50 vs. STZ-ICV + CuB25.

3.2 CuB attenuated STZ-ICV induced memory deficits in rats

Assessment of discrimination index (DI) in NORT on day 26 exhibited that STZ-ICV treatment on day(s) 1 and 3 hampered recognition type of working memory in rats. Rats that were exposed to STZ-ICV treatment displayed substantial decline (p < 0.001) in DI in relation to sham [F(6,69) = 30.33, p < 0.001]. CuB (25 and 50 mg/kg) post-treatment in rats given STZ-ICV exposure enhanced DI (p < 0.05, p < 0.001) comparative to rats that were exposed to STZ-ICV and vehicle only (Fig. 2C). In the aversive memory investigations, step-through latency (STL) was assessed to evaluate the repercussions of CuB administration for 28 consecutive days on learning and memory of rats that were given STZ-ICV treatment on day(s) 1 and 3. In acquisition trials, no substantial intergroup disparity (p > 0.05) in day 27 STL of rats was detected in the PA test. In the retrieval trials (day 28), a substantial decline (p < 0.001) in the STL (Fig. 2D) was observed in rats given STZ-ICV treatment when correlated with matching vehicle-treated sham. CuB (25 and 50 mg/kg) regimen abrogated the STZ-ICV triggered decline in the STL (p < 0.01, p < 0.001) when correlated with the rats that were presented STZ-ICV and vehicle treatments only [F(6,69) = 26.38, p < 0.001]. CuB (50 mg/kg) significantly heightened the DI (p < 0.001) and STL (p < 0.001) relative to CuB (25 mg/kg) in rats subjected to STZ-ICV treatment. DNP significantly enhanced DI (p < 0.001) and STL (p < 0.001) in rats that received STZ-ICV treatment relative to rats that were exposed to STZ-ICV and vehicle only. Furthermore, CuB (50 mg/kg) significantly improved the DI (p < 0.05) in NORT when correlated with DNP treatment in rats that received STZ-ICV treatment.

3.3 CuB decreased the brain oxido-nitrosative stress in STZ-ICV AD prototype

Rats that endured vehicle and STZ-ICV treatment unveiled a significant (p < 0.001) upsurge in the brain lipid peroxidation (TBARS content), 8-OHdG, and protein carbonyls, and diminution of endogenous antioxidants (GSH level, SOD, and catalase activities) with respect to vehicle treated sham rats (Fig. 3). CuB (25 and 50 mg/kg) post-treatment for regular 28 days in rats given STZ-ICV depreciated the lipid peroxidation (p < 0.05, p < 0.001) [F(6,41) = 22.3, p < 0.001[, 8-OHdG (p < 0.05, p < 0.001) [F(6,41) = 20.72, p < 0.001], and protein carbonyls (p < 0.05, p < 0.001) [F(6,41) = 36.20, p < 0.001], and significantly improved the GSH (p < 0.05, p < 0.001) [F(6,41) = 36.8, p < 0.001], SOD (p < 0.05, p < 0.001) [F(6,41) = 16.99, p < 0.001], and catalase (p < 0.05, p < 0.001) [F(6,41) = 21.01, p < 0.001] activities relative to rats that attained STZ-ICV and vehicle treatments only. Results showed dose-dependent decline in oxidative stress in STZ-ICV rat model. CuB (50 mg/kg) post-treatment for 28 days prompted a dose-dependent waning of TBARS (p < 0.01), 8-OHdG (p < 0.01), protein carbonyls (p < 0.001), and inflation in GSH (p < 0.001), SOD (p < 0.05), and catalase (p < 0.05) in the brain with respect to CuB (25 mg/kg) post-treatment for equivalent period in rats subjected to STZ-ICV treatment on day 1 and 3. DNP significantly attenuated the lipid peroxidation (p < 0.001), 8-OHdG (p < 0.001), and protein carbonyls (p < 0.001), and significantly enhanced the GSH (p < 0.001), SOD (p < 0.001), and catalase (p < 0.01) activities in rats subjected to STZ-ICV treatment relative to rats that received STZ-ICV and vehicle only. Furthermore, outcomes displayed that administration of CuB (50 mg/kg) plummeted oxidative stress and enhanced antioxidants more conspicuously in correlation to DNP in rats that endured STZ-ICV neurotoxicity.

Fig. 3.

Cucurbitacin B attenuates brain oxidative and nitrosative stress in the STZ-ICV rat model. Effect of cucurbitacin B (CuB) post-treatment (25 and 50 mg/kg) on (A) lipid peroxidation (TBARS), (B) 8-hydroxy-2’-deoxyguanosine (8-OHdG) content, (C) protein carbonyls, (D) glutathione (GSH) content, (E) superoxide dismutase (SOD) activity, and (F) catalase activity against intracerebroventricular administered streptozotocin (STZ-ICV) in the whole-brain of rats. n = 6, ###p < 0.001 vs. sham (S) group; * p < 0.05; *** p < 0.001 vs. STZ-ICV group; $ p < 0.05, $$ p < 0.01, $$$ p < 0.001 STZ-ICV + CuB50 vs. STZ-ICV + CuB25.

3.4 CuB attenuated STZ-ICV triggered inflammatory upsurge in the brain of rats

Results from ELISA unveiled a substantial expansion (p < 0.001) in appearance of inflammatory cytokines (TNF-α, IL-1β), neutrophil extravasation marker (MPO), and iNOS in the brain of STZ-ICV injected rats when contrasted with matching sham counterparts. In the contemporary investigations, CuB (25 and 50 mg/kg) post-treatment for regular 28 days plummeted STZ-ICV prompted amplification in TNF-α (p < 0.01, p < 0.001) [F(6,41) = 43.70, p < 0.001], IL-1β (p < 0.05, p < 0.001) [F(6,41) = 21.59, p < 0.001], MPO (p < 0.01, p < 0.001) [F(6,41) = 21.82, p < 0.001], and iNOS (p < 0.05, p < 0.001) [F(6,41) = 22.91, p < 0.001] in the brain of rats when correlated to rats that were given STZ-ICV and vehicle treatments (Fig. 4). CuB (50 mg/kg) post-treatment incited an extensive depreciation in TNF-α (p < 0.01), IL-1β (p < 0.05), MPO (p < 0.01), and iNOS (p < 0.05) comparative to CuB (25 mg/kg) in STZ-ICV injected rats. DNP significantly reduced TNF-α (p < 0.001), IL-1β (p < 0.001), MPO (p < 0.001), and iNOS (p < 0.001) function in rats subjected to STZ-ICV treatment relative to rats that attained STZ-ICV and vehicle only.

Fig. 4.

Effect of cucurbitacin B (CuB) post-treatment (25 and 50 mg/kg) on (A) tumor necrosis factor-α (TNF-α), (B) interleukin-1β (IL-1β) level, (C) myeloperoxidase (MPO) activity, and (D) inducible nitric oxide synthase (iNOS) in the brain of rats given intracerebroventricular streptozotocin (STZ-ICV). n = 6, ###p < 0.001 vs. sham (S) group; * p < 0.05; ** p < 0.01; *** p < 0.001 vs. STZ-ICV group; $ p < 0.05, $$ p < 0.01 STZ-ICV + CuB50 vs. STZ-ICV + CuB25.

3.5 CuB attenuated STZ-ICV triggered cell death in the brain of rats

The extent of tissue damage in rats was appraised by computing biomarkers of cell death viz. rate of LDH and caspase-3 levels. In the existing investigations, rate of LDH function and caspase-3 content was significantly escalated (p < 0.001) in the brain of rats that were given STZ-ICV treatment when juxtaposed to sham counterparts. CuB (25 and 50 mg/kg) post-treatment for regular 28 days significantly reduced the LDH activity (p < 0.01, p < 0.001) [F(6,41) = 31.80, p < 0.001] (Fig. 5A) and caspase-3 content (p < 0.05, p < 0.001) [F(6,41) = 15.58, p < 0.001] (Fig. 5B) in rats exposed to STZ-ICV when correlated to rats that were given STZ-ICV and vehicle treatments alone. CuB (50 mg/kg) post-treatment corroborated an extensive drop in LDH (p < 0.01) action and caspase-3 level (p < 0.05) relative to CuB (25 mg/kg) in rats exposed to STZ-ICV. Standard drug, DNP, significantly reduced the LDH activity (p < 0.001) and caspase-3 (p < 0.001) in rats given STZ-ICV treatment relative to rats those attained STZ-ICV and vehicle treatments only.

Fig. 5.

Effect of cucurbitacin B (CuB) post-treatment (25 and 50 mg/kg) on (A) lactate dehydrogenase (LDH) activity and (B) caspase-3 levels in the brain of rats given intracerebroventricular streptozotocin (STZ-ICV). n = 6, ###p < 0.001 vs. sham (S) group; * p < 0.05; ** p < 0.01; *** p < 0.001 vs. STZ-ICV group; $ p < 0.05, $$ p < 0.01 STZ-ICV + CuB50 vs. STZ-ICV + CuB25.

3.6 CuB attenuated acetylcholinesterase activity and glutamate levels, and improved GABA content in the brain of STZ-ICV treated rats

In biochemical estimations a significant (p < 0.001) increase in acetylcholinesterase (AChE) activity, glutamate levels, and waning of GABA levels in the whole brain homogenate of rats that were given STZ-ICV and vehicle treatment comparative to vehicle injected sham rats was pragmatic. CuB (25 and 50 mg/kg) regimen for 28 uninterrupted days reduced the rate of AChE function (p < 0.05, p < 0.001) [F(6,41) = 34.93, p < 0.001] (Fig. 6A), glutamate levels (p < 0.05, p < 0.001) [F(6,41) = 23.21, p < 0.001] (Fig. 6B), and amplified the GABA levels (p < 0.001, p < 0.001) [F(6,41) = 262.6, p < 0.001] (Fig. 6C) in the brain of rats injected STZ-ICV when correlated with rats that attained STZ-ICV and vehicle treatment only. CuB (50 mg/kg) post-treatment culminated a considerable depreciation in AChE rate (p < 0.001), glutamate content (p < 0.05), and boosted GABA quantity (p < 0.001) in contrast to CuB (25 mg/kg) in rats that attained STZ-ICV. DNP significantly attenuated the brain AChE activity (p < 0.001), glutamate (p < 0.001) levels, and enhanced GABA (p < 0.001) levels in rats subjected to STZ-ICV treatment relative to rats that attained STZ-ICV and vehicle only.

Fig. 6.

Effect of cucurbitacin B (CuB) post-treatment (25 and 50 mg/kg) on (A) acetylcholinesterase (AChE) activity, (B) glutamate levels, and (C) γ-aminobutyric acid (GABA) level in the brain of rats exposed to intracerebroventricular streptozotocin (STZ-ICV). n = 6, ###p < 0.001 vs. sham (S) group; * p < 0.05; *** p < 0.001 vs. STZ-ICV group; $ p < 0.05, $$$ p < 0.001 STZ-ICV + CuB50 vs. STZ-ICV + CuB25.

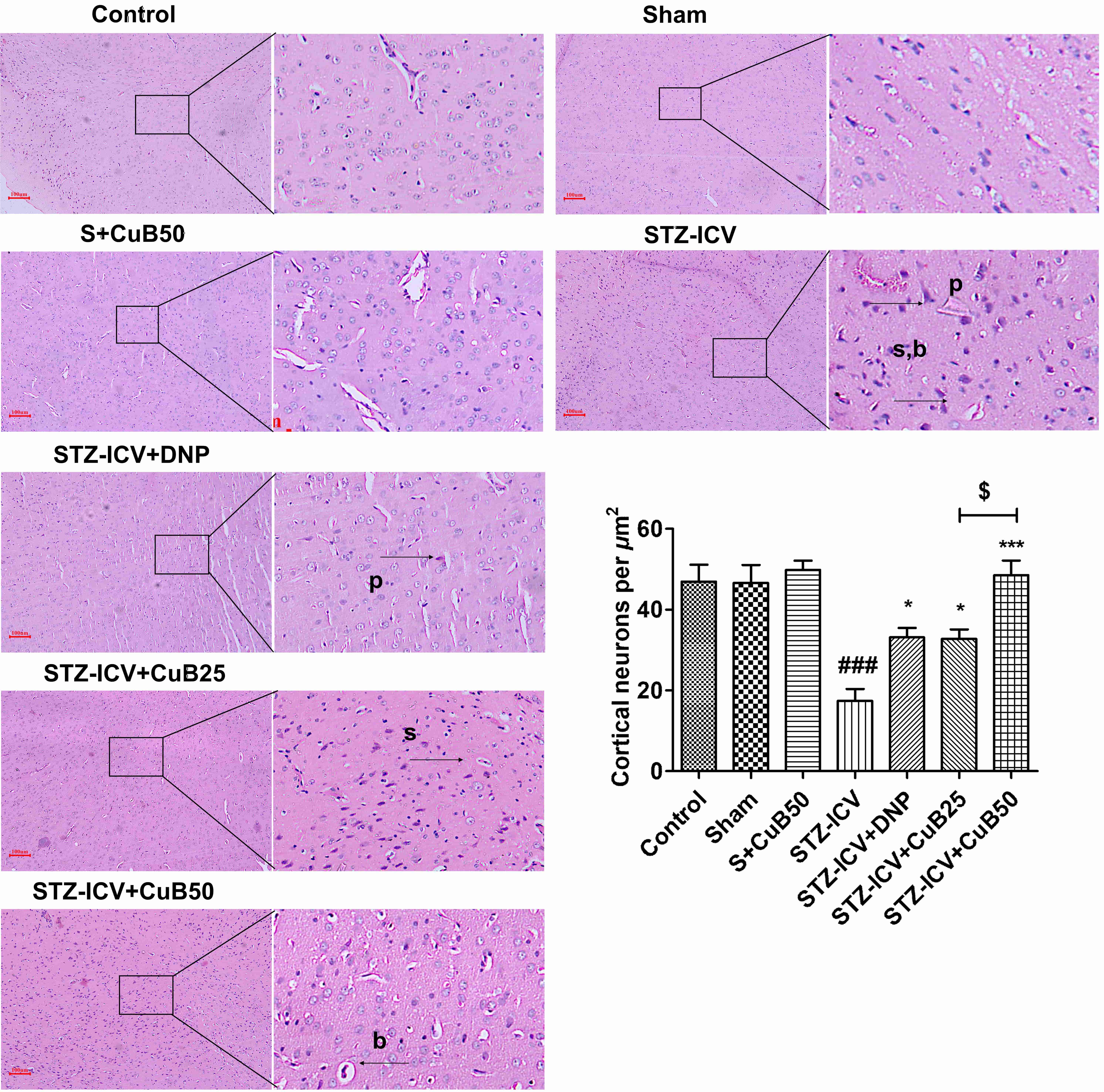
3.7 CuB attenuated neurodegenerative changes in STZ-ICV treated rats

Histopathology by the H&E staining method unveiled that rats given STZ-ICV treatment had neurodegenerative signs marked by pyknosis (p), cell membrane blebbing (b), and swelling (s) in the cortical (Fig. 7) and CA1 and CA3 hippocampus zones (Fig. 8) of the brain. Control and vehicle-injected sham counterparts exhibited no indications of neuronal damage. Regular treatment with CuB (25 and 50 mg/kg) reduced STZ-ICV accrued neuropathological signs in the cell membrane and chromosomal matter. DNP, used as standard treatment, also attenuated the neuronal mutilation symptoms in the brain of rats against STZ-ICV neurotoxicity. Furthermore, morphometric measurements revealed that STZ-ICV significantly abridged (p < 0.001) the neuron aggregates in cortical and hippocampus tissue zones with respect to sham. The number of existing viable neurons was significantly augmented by administration of CuB (25 and 50 mg/kg) for 28 days in the cortex (p < 0.05; p < 0.001) [F(6,27) = 13.3, p < 0.001] and hippocampus (p < 0.01; p < 0.001) [F(6,27) = 28.2, p < 0.001] of rats that were injected STZ-ICV treatment on day 1 and 3. DNP significantly amplified the cortical (p < 0.05) and hippocampus (p < 0.01) neuron density in rats given STZ-ICV treatment relative to rats given STZ-ICV and vehicle only. CuB (50 mg/kg) caused an extensive gain in cortical and hippocampus neuron count when juxtaposed to CuB (25 mg/kg) (p < 0.05, p < 0.01) and DNP (p < 0.05, p < 0.01) in STZ-ICV treated rats.

Fig. 7.

Effect of cucurbitacin B post-treatment (25 and 50 mg/kg) on neurodegenerative changes in the cortical brain region in rats injected streptozotocin (STZ) through intracerebroventricular (ICV) route (STZ-ICV) (n = 4) (H&E stain, scale 100 μm, ×20 and 50 μm, ×40). Pyknosis (p), bulging of plasma membrane (b), and swelling (s) were observed. Histomorphometry assessment specify cortical neuron density per μm2. ###p < 0.001 vs. sham (S) group; * p < 0.05; *** p < 0.001 vs. STZ-ICV group; $ p < 0.05 STZ-ICV + CuB50 vs. STZ-ICV + CuB25.

Fig. 8.

Effect of cucurbitacin B post-treatment (25 and 50 mg/kg) on neurodegenerative changes in the hippocampus (CA1 and 2) brain region in rats injected streptozotocin (STZ) through intracerebroventricular (ICV) route (STZ-ICV) (n = 4) (H&E stain, scale 100 μm, ×20 and 50 μm, ×40). Pyknosis (p), bulging of plasma membrane (b), and swelling (s) were observed. Histomorphometry assessment specify hippocampus neuron density per μm2. ###p < 0.001 vs. sham (S) group; ** p < 0.01; *** p < 0.001 vs. STZ-ICV group; $$ p < 0.001 STZ-ICV + CuB50 vs. STZ-ICV + CuB25.

4. Discussion

AD type dementia has been linked with glucose metabolism defects that trigger diabetes-like conditions in the brain and energy deficiency [28]. ATP depletion and glucose-metabolic derangements inside a cell hasten free radicals’ output and inflammatory cascade, which are the basic detrimental events occurring very early in AD pathogenic chronology. Streptozotocin (STZ) is a glucosamine-nitrosourea compound that can induce type 1 diabetes-like symptoms in rodents when administered via intraperitoneal or intravenous route [29]. STZ gains access inside the cell through glucose transporters (GLUT-1 and GLUT-2) and cause an array of metabolic and structural damages that compromises cell survival [30]. Although penetration of STZ through the blood-brain barrier (BBB) is low owing to the lack of GLUTs, however, STZ given by the ICV route gains access inside the brain where it damages cellular DNA through alkylation mechanisms [29]. In the current research, the STZ-ICV model of AD type dementia was selected to decipher the neuroprotective abilities of CuB in rats.

The biochemical analysis after 28 days of treatment duration disclosed that STZ-ICV caused an intense upsurge in lipid peroxidation (TBARS), 8-OHdG, and protein carbonyls levels in the brain of rats. A concomitant decrease in antioxidants (GSH, SOD, and catalase) was conspicuously evident in the brain of rats subjected to STZ-ICV on day(s) 1 and 3. An upsurge in reactive oxygen species (ROS) in the brain by STZ instigates peroxidative reactions damaging the lipids and protein molecules. Reactive nitrogen species (RNS) are also elevated in response to STZ-ICV owing to hyperactivation of iNOS in the brain that leads to an increase in protein carbonylation [31]. Subsequently, lipid and protein modifications severely compromise the cellular function and integrity of neurons and vascular compartments that ensue BBB damage and access of peripheral toxins in the inside of the brain. Diverse catabolic mechanisms (e.g., autophagy, caspase-3) are activated in response to dysfunctional toxic aggregates that ultimately lead to cell death. In addition, STZ directly methylates DNA leading to a severe catastrophic cascade of neurodegenerative events marked by an increase in 8-OHdG levels [28, 29, 30]. In previous studies, findings indicated an increase in 8-OHdG (a biomarker of oxidative mutilation of DNA) in the cerebrospinal fluid (CSF), brain, and plasma of subjects suffering from AD type dementia [32]. Antioxidants such as GSH, SOD, and catalase can defend the neurovascular architecture by detoxifying free radicals of oxygen and nitrogen origin. These antioxidants not only prevent pathogenic modifications in cellular molecules (e.g., lipids, proteins, DNA), but also help in the removal of neurotoxic aggregates [33]. Free radicals accrued macromolecular transformations and a decline in endogenous antioxidants in brain regions vital to cognitive functions (e.g., hippocampus, cortex, neocortex, cerebellum) is the chief cause of AD-like dementia. GSH is a tripeptide that replenishes the thiol (-SH) group, which is essential for maintaining redox balance intracellularly. GSH is an important component of metabolic machinery that can reduce oxidized proteins [34]. SOD and catalase function to detoxify superoxide radicals and hydrogen peroxide intracellularly. In clinical studies, reports indicated a noteworthy intensification in malondialdehyde biogenesis and depreciation of endogenous antioxidants in the blood samples of AD patients with respect to age-matched controls [35]. In the present investigation, the CuB regimen for regular 28 days halted STZ-ICV induced lipid peroxidation, 8-OHdG levels, and protein carbonyls, and enhanced the activity of endogenous antioxidants (GSH, SOD, and catalase) in the brain of rats. Earlier reports also substantiate that attenuation of oxidative damage and increase in antioxidants can confer a significant relief in AD [1, 4]. The standard drug, DNP, also showed a marked depreciation in the level of lipid peroxidation, 8-OHdG levels, protein carbonyls, and an increase in antioxidants in the brain in the STZ-ICV rat AD type dementia prototype.

The outcome of current investigations disclosed that an upsurge in RNS aptly indicated by protein carbonyl accumulation was found to be due to an increase in iNOS rate in the brain of rats subjected to STZ-ICV on day(s) 1 and 3. Although nitric oxide is an important neuromodulator implicated in learning, memory, synaptic modulation, and long-term potentiation, however, excess of this gaseous molecule via iNOS stimulation by chronically activated glia and astrocytes leads to toxic effects such as protein carbonylation and S-nitrosylation [36]. Peroxynitrites formed in conjunction with the decrease in SOD activity further catalyze the oxidation of macromolecules such as lipids, proteins, and genetic material. A vicious cycle of iNOS-nitric oxide and activation of microglia is established in the brain that augments the appearance of other inflammatory cytokines such as TNF-α and IL-1β [37]. In clinical studies, an increase in TNF-α and IL-1β levels in CSF and blood samples of AD patients highlighted the role of these inflammatory mediators in AD pathogenesis [38]. TNF-α has been associated with exacerbation of Aβ plaques and an increase in NFTs in the brain [39]. This pro-inflammatory molecule further activates microglia and transcription factors such as NF-κB that augments the expression of several inflammatory mediators and chemokines such as COX-2, MMPs, and MPO. An increased expression of IL-1β has been noted in the brain in response to an injury in early phases that have been linked with stimulation of iNOS [40]. Hence, a vicious cycle of the inflammatory cascade in the brain leads to neurodegeneration accompanied by vascular damage marked by enhanced permeability, infiltration of leukocytes (e.g., monocytes, neutrophils) in the brain parenchyma, and expression of adhesion factors in AD pathogenesis. The neurotoxic effects of STZ-ICV treatment are attributed to an increase in inflammatory cytokines and chemokines in the brain [29, 30]. In the present study, STZ-ICV treatment on day(s) 1 and 3 caused a substantial rise in pro-inflammatory molecules (TNF-α and IL-1β), enhanced iNOS, and MPO activity in the brain of rats. In a large number of studies, an increase in MPO expression (neocortical, granule, pyramidal neurons, microglia) and its colocalization around Aβ senile plaques has been noted in the cortex and hippocampus in AD type dementia [41]. MPO is present in phagocytic cells such as monocytes and neutrophils, which are key blood leukocytes responsible for vascular and brain parenchyma damage in AD. MPO catalyzes hypochlorous acid production, protein carbonyls, toxic aldehydes, and advanced glycation end products (AGEs) in the brain [41, 42]. CuB treatment for 28 days daily attenuated inflammatory cascade in the brain of rats subjected to STZ-ICV treatment on day(s) 1 and 3. CuB halted STZ-ICV-induced escalation in TNF-α, IL-1β, iNOS, and MPO activity in the brain. DNP also decreased the levels of these inflammatory markers in the brain of rats that were presented to STZ-ICV neurotoxicity. In harmony with the present findings, data from previous studies also reflected attenuation of AD symptoms by anti-inflammatory drugs such as diclofenac. It has been experimentally validated that attenuation of the inflammatory cascade can significantly delay the progression of AD [43].

Histopathological analysis (H&E staining) indicated extensive neurodegenerative changes (pyknosis, blebbing of plasma membrane, and swelling) in the cortex and hippocampus (CA1 and CA3 neurons) of rats exposed to STZ-ICV on day(s) 1 and 3. Treatment with CuB or DNP attenuated these pathogenic morphological changes in neurons that were exposed to STZ-ICV toxicity. Histomorphometry studies substantiated these findings and depicted that CuB attenuated STZ-ICV triggered neurodegeneration that was highlighted by the conspicuous increase in the cortical and hippocampus (CA1 and CA3) viable neuron density in rats. Interestingly, treatment with DNP also enhanced the viable cell density in selected brain regions but administration of CuB (50 mg/kg) enhanced the neuron density in the cortex and hippocampus more in comparison to DNP in the STZ-ICV rat prototype of AD. Furthermore, parameters of cell death were appraised in the whole brain of rats to substantiate the results of histomorphometry. The present findings indicated that STZ-ICV-induced escalation of LDH and caspase-3 was attenuated by CuB or DNP treatments. LDH is an omni-cellular glycolytic enzyme extensively used as a biomarker of necrotic type cell death. Evidence supports that an increase in LDH activity is consistent with aging and age-associated neurodegenerative disorders such as AD [44, 45]. Caspase-3 (cysteinyl aspartate-specific proteases) is an important apoptosis executioner whose expression is greatly enhanced in neurons, astrocytes, and blood vessels in AD along with a higher colocalization with NFTs and Aβ plaques [46, 47]. In this study, CuB or DNP treatments decreased the activity of LDH and the expression of caspase-3 in the brain of rats subjected to STZ-ICV.

Evaluation of neurotransmitter functions revealed the neurochemical basis of dementia and the effects of CuB on the symptoms of AD in the STZ-ICV rat model. In STZ-ICV treated rats, we detected an augmentation in AChE activity, glutamate levels, and decline in GABA concentrations in the whole brain homogenate. Acetylcholine is widely distributed in the brain and regulates a plethora of functions such as reasoning, judgment, attention, learning, and memory. Acetylcholine is involved in the attainment, encoding, consolidation, extinction, reconsolidation, and reclamation of memory [48]. Cholinergic neurons from the nucleus basalis of Meynert innervate cortically and hippocampus and degeneration of these neurons have been a prominent feature in AD. A decrease in acetylcholine levels and expression of muscarinic receptors has been linked with AD. At present AChE inhibition (e.g., donepezil, rivastigmine, galantamine) is the mainstay of AD therapeutics, although they provide only symptomatic relief in AD [49]. Excitatory and inhibitory signaling pathways are implicated in AD pathogenesis. N-methyl D-aspartate receptors (NMDARs) along with nitric oxide and calcium are critical to synaptic transmission, plasticity, long-term potentiation, and consolidation of memory. However, superfluous glutamate (excitatory neurotransmitter) appearance at synapse hyperactivates post-synaptic NMDARs that augments cytoplasmic calcium influx and calcium-associated degenerative mechanisms including oxidative stress and inflammation [50]. Despite the role of calcium in many signaling pathways of cognitive importance (e.g., CaMK, MAPK-ERK, CREB), a pathogenic increase in cytoplasmic levels can activate calpains, increase mitochondrial calcium load, prolongs mitochondrial permeability transition (MPT) pore opening, Aβ plaques, NFTs, and defects in lysosomal and autophagic mechanisms [51]. A decrease in GABAergic signaling in AD results in an imbalance between excitatory and inhibitory signaling that has neurodegenerative implications in the long term [52]. In sporadic type AD, GABA can attenuate hyperexcitability and hyperpolarize neurons that decreases energy and survival requirements [53]. Results of the current investigation showed that CuB or DNP treatments for 28 days attenuated AChE activity, glutamate levels, and amplified GABA levels in the brain of rats exposed to STZ-ICV treatment on day(s) 1 and 3.

In behavioral evaluations, different animal clusters disclosed no substantial inter-cluster variation in their locomotor activity and motor coordination measured using actophometer and rotarod apparatus at different time intervals. Hence, locomotion and motor coordination did not affect the results of memory tests in this study. STZ-ICV treatment caused a substantial decline in working memory in NORT and long-term aversive memory was also found severely impaired in the passive avoidance test. Treatment with CuB or DNP attenuated STZ-ICV induced decline in both types of memory viz. working and aversive memory. Furthermore, current findings indicated a dose-dependent amelioration of biochemical parameters and increase in memory in rats by CuB against STZ-ICV. In NORT and passive avoidance tests CuB further enhanced the memory functions in rats relative to DNP. These outcomes substantiated that AD is a multifaceted neurodegenerative disorder [2] that necessitates targeting multiple pathways instead of a single pathway as employed in the existing therapeutic approach. CuB can target a number of molecular mechanisms and signaling pathways [5, 6, 7, 8, 9, 10, 11], evident by the investigation of different biomarkers of oxidative stress, inflammation, cell death, and neurotransmitters of cognitive relevance in this study. Hence, in contrast to the existing therapeutic strategies [1, 4], CuB might prove an effective remedy in AD that can modify the course of pathogenesis and improve symptoms of dementia. Furthermore, in line with the administration route adopted in many previous studies [7, 12], in this study CuB was injected intraperitoneally in rats to overcome low oral bioavailability and very unpleasant taste. However, as the oral route of administration reflects better patient compliance and are much more feasible in clinical settings relative to systemic injections particularly considering the natural products, hence, there is an impending urgency to find a suitable formulation of CuB that can improve the pharmacokinetic properties and mask the bitter taste in order to translate the pre-clinical outcomes of CuB in human subjects. There have been a few attempts for a safe route for delivery of CuB with greater bioavailability and better patient compliance [54, 55, 56, 57], however, none have targeted brain-specific delivery of CuB.

5. Conclusions

In the current study, the administration of CuB protected the neurons in the STZ-ICV rat prototype of AD-like dementia by attenuating oxidative stress and inflammation in the brain. Furthermore, CuB decreased STZ-ICV ensued extent of cell demise in the brain and ameliorated neurotransmitters in the brain. An increase in cholinergic and GABAergic functions and a decrease in excitotoxic cell death mechanism by glutamate might improve the AD symptoms in CuB treated rats against STZ-ICV toxicity.

Author contributions

Conceptualization and design of research—MK and ZL; Methodology—MK and ZL; Validation—AK; Formal Analysis—AK and MK; Investigation—ZL; Resources—ZL and MK; Data Curation—AK and ZL; Writing - Original Draft Preparation—MK and ZL; Writing - Review & Editing—MK and ZL; Supervision—MK; Project Administration—MK and ZL. All authors approved the final manuscript for publication.

Ethics approval and consent to participate

Experimental procedures were reviewed and approved by the Animal Ethics Committee of Henan Hospital of Traditional Chinese Medicine (The Second Affiliated Hospital of Henan University of Chinese Medicine) (Henan, China) vide approval reference no. ky20210429002 on 29-04-2021.

Acknowledgment

Not applicable.

Funding

This research was funded by Traditional Chinese Medicine Administration of Henan Province, Grant number Ref. No. 20-21ZY1024.

Conflict of interest

The authors declare no conflict of interest.

References