1 Department of Cardiothoracic Surgery, Erasmus MC, University Medical Center Rotterdam, 3015 GD Rotterdam, The Netherlands
2 Department of Cardiology, Erasmus MC, University Medical Center Rotterdam, 3015 GD Rotterdam, The Netherlands
3 Department of Radiology and Nuclear Medicine, Erasmus MC, University Medical Center Rotterdam, 3015 GD Rotterdam, The Netherlands
4 Department of Epidemiology, Erasmus MC, University Medical Center Rotterdam, 3015 GD Rotterdam, The Netherlands
Abstract
Background: Right ventricular failure (RVF) is a significant
cause of morbidity and mortality in patients with a left ventricular assist
device (LVAD). This study is aimed to investigate the influence of a pectus
excavatum on early and late outcomes, specifically RVF, following LVAD
implantation. Methods: A retrospective study was performed,
that included patients with a HeartMate 3 LVAD at our tertiary referral center.
The Haller index (HI) was calculated using computed tomography (CT) scan to
evaluate the chest-wall dimensions. Results: In total, 80 patients
(median age 57 years) were included. Two cohorts were identified: 28 patients
(35%) with a normal chest wall (HI
Keywords
- chest-wall abnormalities
- pectus excavatum
- right ventricle failure
- left ventricular assist device
- readmission
Left ventricular assist devices (LVAD) have become an accepted treatment modality to improve survival, functional capacities, and quality of life in patients with end-stage heart failure [1, 2]. Technological improvements and increasing clinical implantations have led to further improvements in LVAD therapy outcomes [3]. Nevertheless, serious early and late adverse events following LVAD implantation hamper favorable clinical outcomes and lead to significant morbidity and mortality in LVAD-supported patients [4]. Such adverse events include bleeding, infection, right ventricular failure (RVF), device malfunction, cerebrovascular accidents, and renal failure [5]. One of the significant drivers of morbidity and mortality is early onset RVF or progressive decline of the right ventricular function after LVAD implantation [6]. RVF occurs in up to 42% of patients post-LVAD implantation, depending on the diagnostic criteria used [7]. RVF is a harbinger of insufficient LVAD flow, resulting in decreased tissue perfusion, acute renal injury, and multi-organ failure [8].
The right ventricular function may be compromised by mechanical and anatomical compression of the LVAD outflow graft, especially the part with stiff bend relief [9]. Chest-wall abnormalities, such as pectus excavatum, could predispose to RVF by increasing the pressure directly on the right heart and the LVAD and corresponding components [10]. This potentially influences the right ventricular function causing constrictive physiology with elevated central venous pressure and right-sided congestion, resulting in compromised renal function, hepatic dysfunction, and systemic congestion [11, 12, 13].
To prevent the often-devastating consequences of RVF it is essential to identify and understand the underlying mechanisms that can cause RVF after LVAD implantation. To date, only limited data have been published on the impact of pectus excavatum on outcomes following LVAD implantation, including the incidence of RVF. This study therefore aimed to investigate the influence of a pectus excavatum on early and late outcomes, specifically RVF, following LVAD implantation.
The hospital records were retrospectively reviewed of all adult patients
(
Patients were stratified, according to their chest CT scan, into 4 groups based
on their Haller index (HI) [14]. In the axial plane, the HI was calculated as the
maximum transverse diameter of the chest wall divided by the minimum anterior
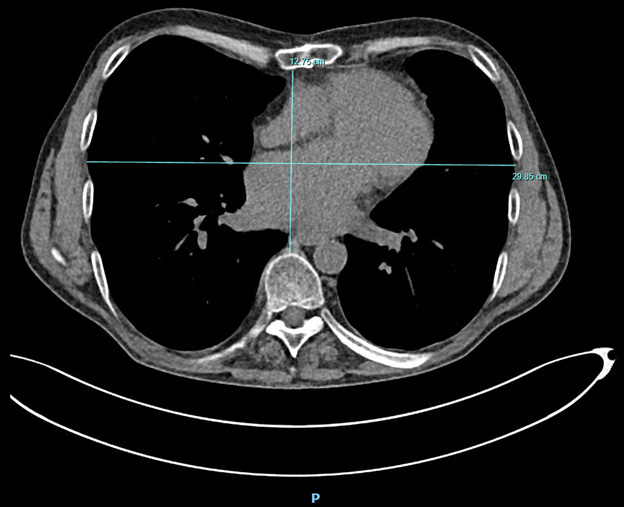
posterior distance between the sternum and vertebrae (Fig. 1). Group 1 was
defined as a normal chest with a HI
Fig. 1.An axial computed tomography (CT) scan of a 58-year-old male patient, before left ventricular assist device (LVAD) implantation. The maximal transverse diameter is 29.85 centimeters (cm) and minimum anterior posterior distance is 12.75 cm. Haller index; 29.85/12.75 = 2.34, categorized as Haller index 2, mild pectus excavatum. P, posterior side of the patient.
The primary outcome was early (
Baseline categorical data were presented as percentages and compared with the
Chi-squared test or Fisher’s exact test, in case of a cell frequency of
In total, 80 patients were included and encompassed a median follow-up time of 28 months [Interquartile Range (IQR): 18–42] (Table 1). The median age was 57 [IQR: 52–62] years with 21.2% being women. The most frequent aetiology of end-stage heart failure was ischemic heart disease (48%). Patients were mainly in INTERMACS (Interagency Registry for Mechanically Assisted Circulatory Support) profiles 3 and 4 before implantation (26% and 34%). The cardiac rhythm in 53% of the patients was sinus rhythm and 83% of the patients had an implantable cardioverter-defibrillator (ICD) in place. Bridge to transplant was the most prevalent strategy in 60% of cases and 34% of the cases receiving long-term support (destination therapy). Median cardiopulmonary bypass (CPB) time was 95 minutes [IQR: 81–115] and time in the operating room for implantation was 330 minutes [IQR: 280–403]. The median length of intensive care unit (ICU) admission was 8 days [IQR: 5–17] and hospital admission duration was 30 days [IQR: 23–45].
| Overall (n = 80) | No PEx (HI |
PEx (HI 2.0–3.2) | p value | ||
| N = 28 | N = 52 | ||||
| Demographics | |||||
| Age in years | 57.0 [52.0, 62.0] | 59.5 [56.5, 62.0] | 56.0 [50.5, 62.5] | 0.115 | |
| Men | 63 (78.8) | 22 (78.6) | 41 (78.8) | 1.000 | |
| Body mass index | 22.9 [20.5, 25.2] | 24.8 [22.9, 25.8] | 21.7 [18.9, 23.9] | 0.001 | |
| Body surface area | 2.0 [1.8, 2.1] | 2.1 [2.0, 2.2] | 2.0 [1.8, 2.1] | 0.008 | |
| Primary diagnosis | |||||
| Ischemic heart disease | 38 (47.5) | 19 (67.9) | 19 (36.5) | 0.019 | |
| Non-ischemic heart disease | 42 (52.5) | 9 (32.1) | 33 (63.5) | ||
| INTERMACS patient profile | |||||
| 1 | 17 (21.2) | 3 (10.7) | 14 (26.9) | 0.096 | |
| 2 | 15 (18.8) | 3 (10.7) | 12 (23.1) | ||
| 3 | 21 (26.2) | 9 (32.1) | 12 (23.1) | ||
| 27 (33.8) | 13 (46.4) | 14 (26.9) | |||
| Comorbidities | |||||
| Diabetes | 20 (25.0) | 10 (35.7) | 10 (19.2) | 0.176 | |
| ICD therapy | 66 (82.5) | 24 (85.7) | 42 (80.8) | 0.805 | |
| Neurological event | 5 (6.3) | 2 (7.4) | 3 (5.8) | 1.000 | |
| Smoking | 45 (57.0) | 14 (51.9) | 31 (59.6) | 0.673 | |
| COPD | 4 (5.0) | 1 (3.6) | 3 (5.8) | 1.000 | |
| Previous cardiac surgery | 1 (1.3) | 0 (0.0) | 1 (1.9) | 1.000 | |
| Preoperative status | |||||
| Intra-aortic balloon pump | 21 (26.2) | 4 (14.3) | 17 (32.7) | 0.129 | |
| Extracorporeal membrane oxygenation | 8 (10.0) | 1 (3.6) | 7 (13.5) | 0.310 | |
| ECG rhythm | |||||
| Sinus | 41 (52.6) | 9 (32.1) | 32 (64.0) | 0.021 | |
| Atrial fibrillation | 12 (15.4) | 7 (25.0) | 5 (10.0) | ||
| Paced | 25 (32.1) | 12 (42.9) | 13 (26.0) | ||
| Intravenous inotropes | 55 (68.8) | 17 (60.7) | 38 (73.1) | 0.376 | |
| Preoperative right ventricular function | |||||
| Stage 1 | 18 | 5 (17.9) | 13 (25.0) | 0.570 | |
| Stage 2 | 54 | 21 (75.0) | 33 (63.5) | ||
| Stages 3–4 | 8 | 2 (7.1) | 6 (11.5) | ||
| Procedural characteristics | |||||
| Device strategy | |||||
| Bridge to transplant | 48 (60.0) | 17 (60.7) | 31 (59.6) | 0.971 | |
| Destination therapy | 27 (33.8) | 9 (32.1) | 18 (34.6) | ||
| Other | 5 (6.2) | 2 (7.2) | 3 (5.8) | ||
| Cardiopulmonary bypass time (min) | 95.0 [81.0, 115.0] | 102.0 [85.5, 113.5] | 90.0 [78.0, 115.3] | 0.162 | |
| Time in operating room for implantation (min) | 329.5 [279.8, 402.8] | 328.5 [290.0, 402.8] | 329.5 [266.5, 402.0] | 0.555 | |
| ICU stay (days) | 8.0 [5.0, 17.0] | 7.5 [4.8, 15.5] | 8.0 [5.0, 18.5] | 0.528 | |
| Hospital admission duration (days) | 30.0 [23.0, 44.5] | 30.0 [23.0, 42.3] | 30.0 [23.0, 49.3] | 0.600 | |
| Length of follow-up (months) | 28.3 [18.4, 41.8] | 27.6 [15.3, 38.9] | 28.3 [19.5, 43.1] | 0.420 | |
Continuous variables are described as median [interquartile range (IQR)] and categorical variables as count (percentage).
PEx, pectus excavatum; HI, Haller index; INTERMACS, Interagency Registry for Mechanically Assisted Circulatory Support; ICD, implantable cardioverter defibrillator; COPD, chronic obstructive pulmonary disease; ECG, electrocardiogram; ICU, intensive care unit.
Overall, 52 patients (65%) presented with pectus excavatum (HI
2.0–3.2) whilst 28 patients (35%) had a normal chest-wall with HI
Early (
Fig. 2.Kaplan-Meier estimates of right ventricular failure stratified by normal chest-wall (red-line) and pectus excavatum (blue-line). PEx, pectus excavatum; RVF, right ventricular failure.
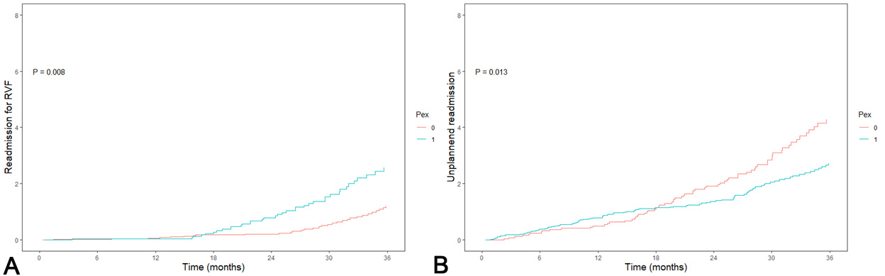
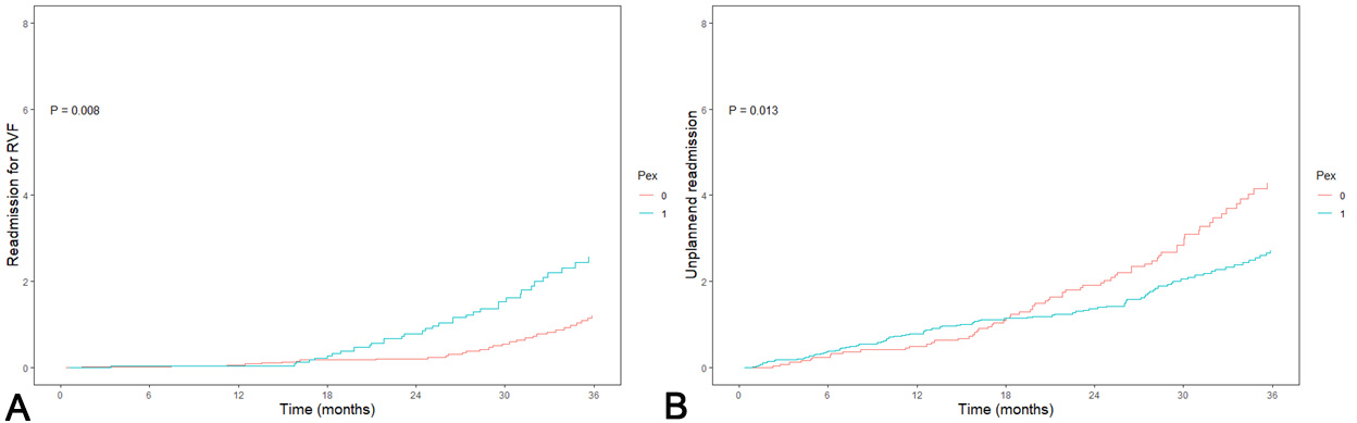
Fig. 3.Mean cumulative function (MCF). (A) MCF of right ventricular failure in two groups, with a normal chest (red-line) or a pectus excavatum (blue-line). The Y-axis presents the number of recurrent right ventricular failure and the X-axis represents the time in months. (B) MCF of hospital readmission in two groups, with a normal chest (red-line) or a pectus excavatum (blue-line). The Y-axis presents the number of hospital readmissions and the X-axis represents the time in months. PEx, pectus excavatum; RVF, right ventricular failure; MCF, mean cumulative function.
Fig. 4.Mean cumulative function (MCF) of infection in two groups, with a normal chest (red-line) and a pectus excavatum (blue-line). The Y-axis presents the number of infections and the X-axis represents the time in months. PEx, pectus excavatum.
Fig. 5.Kaplan-Meier estimates of survival stratified by normal chest-wall (red-line) and pectus excavatum (blue-line). PEx, pectus excavatum.
| No PEx | PEx | OR |
95% CI | p-value | ||
| N = 28 | N = 52 | |||||
| Early ( |
||||||
| Early right ventricular failure |
12 | 17 | 0.65 | 0.25–1.68 | 0.370 | |
| Early neurological dysfunction |
2 | 0 | - | - | - | |
| Early bleeding |
7 | 19 | 1.73 | 0.64–5.06 | 0.290 | |
| Acute kidney injury |
14 | 18 | 0.53 | 0.21–1.35 | 0.180 | |
| Late ( |
||||||
| Late right ventricular failure |
5 | 7 | 0.69 | 0.22–2.18 | 0.530 | |
| Late Neurological dysfunction |
1 | 5 | 2.30 | 0.27–19.68 | 0.448 | |
| Late bleeding |
5 | 12 | 1.29 | 0.45–3.66 | 0.634 | |
| Chronic Kidney Disease (eGFR |
18 | 31 | 0.77 | 0.43–1.38 | 0.382 | |
PEx, pectus excavatum; OR
In this study, we investigated the role of pectus excavatum on adverse outcomes including RVF in patients undergoing LVAD support. Overall survival and early or late RVF did not differ in the two groups. Although the unplanned readmission rate was higher in patients with normal chest wall, an increased readmission rate due to RVF and recurrent infection was observed in patients with pectus excavatum after 18-month follow-up.
Pectus excavatum accounts for approximately 90% of all chest-wall abnormalities
and has an incidence of 1 in 400 to 1 in 1000, with men 3 to 5 times more
affected than women [16]. The prevalence of pectus excavatum in our study was
65%. This rather high prevalence may be due to the sensitivity of the HI whereas
our patients only had a normal chest-wall (HI
Physical examination is an important part of the initial diagnosis of a chest-wall abnormality [23]. When LVAD therapy is being considered, a full thorough physical examination should be performed to provide a clear overview of the patient’s physical state and body shape, even if the patient is a tertiary referral. When a physician suspects a chest-wall abnormality may present, or even if the patient has one or more of the aforementioned risk factors for a chest-wall abnormality, advanced imaging should be considered. A CT scan of the chest should be performed and the Haller index calculated [24]. This allows the cardiac surgeon to plan the operation and take any chest well abnormalities into account when placing the LVAD. For example, they can angle the outflow graft more toward the right and thereby minimizing the risk of compression of the right ventricle and thereby preventing the development of RVF.
Our study is consistent with earlier research findings that also reported a high
incidence of RVF in their study populations in the early phase (
Readmission for late RVF occurred significantly more in the patients with a pectus excavatum and increased during follow-up in both groups. One notable finding was the specific time of onset of hospital readmission for late RVF in the overall cohort, at 18 months of support. The time of onset of late RVF has been studied earlier and varying widely, from 30 days to 1798 days after LVAD implantation [28]. The underlying causes of late RVF during LVAD support are diverse and often multifactorial [28]. Our study identifies a potential new risk factor for late RVF for LVAD-supported patients, as patients with a pectus excavatum had more unplanned readmissions, suggesting an increased severity of RVF. This finding emphasizes the importance of properly assessing the chest wall in LVAD candidates and possibly adjusting the course of the LVAD outflow graft over the right ventricle. Furthermore, periodic assessment of right ventricular function may decrease the incidence of unplanned hospital readmissions in this population.
This study demonstrated a higher occurrence of infections in the pectus excavatum group during follow-up, which was unexpected given the lack of literature regarding a higher infection risk in patients with a mild pectus excavatum compared to those with a normal chest wall. It is possible that other underlying conditions, not related to the chest wall, may contribute to these differences. The most common cause of unplanned readmissions for LVAD-supported patients are infections, particularly those related to the driveline [31]. Despite the higher occurrence of infections in patients with pectus excavatum, the normal chest-wall group had a higher number of unplanned readmissions. A possible explanation for this finding could be the significantly higher prevalence of ischemic heart disease as the primary diagnosis in the normal chest-wall group, indicating a higher prevalence of systemic arterial vascular disease and increased frailty. However, this hypothesis has previously been investigated, and no differences were found in outcomes when comparing ischemic heart failure to non-ischemic heart failure in previous studies [32]. Further research is needed to identify other factors that may contribute to differences in overall unplanned hospital readmission rates.
The results of this retrospective single-center study should be interpreted in
the context of several limitations. The patients in the study cohort had a normal
chest-wall (HI
This study found no significant association between pectus excavatum and early or late RVF after LVAD implantation. However, readmission for late RVF occurred significantly more often in patients with a pectus excavatum with a specific time of onset of 18 months or later post-LVAD implantation and increased hereafter. This suggests the importance of evaluating right ventricular function during follow-up and highlights the need for further research into the underlying mechanisms of RVF.
All relevant anonymized data is available from the authors on request.
KC conceptualized the study, CFZ, YCY and KC designed the research study. CFZ and YCY performed the research, analyzed the data and drafting the manuscript. CFZ, YCY, JS, DB, AAC, OCM, OB, JAB, AJJCB and KC participated in the analysis and interpretation of data, revision of the manuscript and approved the final manuscript. All authors have participated sufficiently in the work and agreed to be accountable for all aspects of the work.
The study was approved by the Erasmus MC Institutional Medical Ethical Committee (MEC-2017-1013), and all included subjects gave informed consent.
Not applicable.
This research received no external funding.
The authors declare no conflict of interest.
References
Publisher’s Note: IMR Press stays neutral with regard to jurisdictional claims in published maps and institutional affiliations.





