1 Department of Physiology, University of Louisville School of Medicine, Louisville, KY 40202, USA
2 Department of Bioinformatics and Biostatistics, University of Louisville School of Public Health, Louisville, KY 40202, USA
Abstract
Matrix metalloproteinases (MMPs) are enzymes that degrade extracellular matrix (ECM) proteins and activate cytokines and chemokines, playing a critical role in tissue remodeling. Monitoring MMP activity is important for diagnosing and tracking diseases, studying disease progression, and developing new diagnostic and therapeutic strategies. This article highlights methods for detecting active gelatinases, specifically MMPs-2, -7, -9, and -13 in various biological samples.
The described protocol utilizes an electrophoresis-based biochemical technique commonly used for protein analysis, with the key modification of incorporating a specific substrate, such as gelatin or casein, into the gel. This method, known as zymography, is named according to the substrate used. For example, it is called ‘gelatin zymography’ when gelatin is used as the substrate.
When performing zymography, it is crucial to account for the amount of proteinase in different samples, such as plasma which contains significantly higher concentrations of active MMPs compared to other body fluids, tissues, or cells. As a result, only small volumes of plasma are required to produce distinct bands in the zymography gel. Additionally, our findings show that MMP activity, especially active MMP-9, is significantly higher in sonicated samples compared to non-sonicated samples. Therefore, careful consideration of sample preparation, processing, and the amount of protein loading is necessary to achieve high-quality zymography results.
The optimized zymographic protocol presented here enables reliable detection of endopeptidase activities using gelatin or casein as substrates. Other substrates, such as collagen and fibronectin, can also be used to detect collagenase and fibronectinase activities, respectively. This approach facilitates a deeper understanding of metalloproteinase roles in ECM synthesis and degradation, particularly in matrix-related pathologies, including cancer and other tissue disorders. Zymography remains a widely used technique for visualizing ECM protein-degrading enzyme activity in plasma, urine, other body fluids, tissues, and cell culture samples.
Keywords
- zymography
- gelatin
- metalloproteinase
- extracellular matrix
- fibrosis
- kidney
The MMPs are Zn2+-containing endopeptidases, which play a major role in the degradation of extracellular matrix (ECM) proteins [1]. MMPs can be either secreted or membrane-bound, and they are divided into six groups; i.e., gelatinases, collagenases, stromelysins, matrilysins, membrane type (MT-MMPs), and other (non-grouped) [2]. MMPs are responsible for tissue remodeling in several disease processes. Therefore, it is very important to understand the dynamics of MMPs since they’re involved in several disease progressions, such as cardiovascular, rheumatoid arthritis, cancer, neurological, autoimmune diseases, and many others [2]. Metalloproteinases can be found in a variety of biological specimens, including blood, body fluids, urine, cells, and tissue samples.
The levels of MMPs’ activity are the key to tissue homeostasis and degradation. An altered activity during a disease state indicates pathophysiology. Therefore, it is important to understand the activation and deactivation of MMPs in disease states to develop new therapeutics to halt disease progression. There are several factors that regulate the activity of MMPs, and these include growth factors, hormones, cytokines, and tissue inhibitors of metalloproteinase (TIMPs) [3]. TIMPs serve as regulators of MMPs within the ECM. By inhibiting the catalytic activity of MMPs, TIMPs prevent the degradation of ECM proteins [4].
MMPs can be detected by several methods, but the most used methods are Zymography, Western blot, and Enzyme-linked immunosorbent assay (ELISA), Immunohistochemical staining, and others. All these methods have their own advantages and disadvantages. However, the zymography method detects active MMPs and doesn’t require the use of an antibody to target the MMPs, unlike Western blot and other immunological methods, which require primary and secondary antibodies to detect the targeted proteins [2]. It is also a better way to detect or visualize the activities of very small amounts of MMPs [5]. All these advantages of zymography make it a better option for researchers who focus on MMPs’ activity. In addition, not only can zymography be used to detect and measure MMPs’ activity, but it can also be used as a research tool to study MMPs’ natural inhibitors, TIMPs [6].
Gelatin zymography is a useful technique to detect and analyze the activity of enzymes known as gelatinases, specifically MMP-2 and -9. This method involves separating proteins through electrophoresis in a gel that contains gelatin, which serves as a substrate for these enzymes. After electrophoresis, the gel is incubated to allow the gelatinases to digest the gelatin. Finally, the gel is stained with Coomassie blue, and the areas where gelatin has been digested appear as clear bands against a dark blue background. These clear bands indicate the presence and activity of gelatinases.
As mentioned above, gelatin zymography is used to detect MMPs’ activities, particularly to understand the mechanism of tissue remodeling and repair. This method can be used to detect gelatinase activities in several biological samples. For example, it can be used to detect active MMPs in the primary and cultured cells, blood serum and plasma, urine, and tissue such as brain, heart, lung, kidney, and many more.
Thus, gelatin zymography is considered one of the best methods to detect MMP-2 and MMP-9 activities [7]. Additionally, MMP-7 (matrilysin) and MMP-13 (collagenase-3) can also be detected by gelatin zymography with limited activity, although they are better suited for collagen and casein, respectively, as their substrates [8, 9].
MMP-2 is essential for the repair and regeneration of vascular tissue, but it also contributes to tissue breakdown that facilitates tumor invasion in cancer. Similarly, MMP-7 and MMP-9 are implicated in pathological tissue remodeling, including inflammation and fibrosis associated with vascular diseases. In addition, MMP-13 is notably involved in conditions such as osteoarthritis, cancer, atherosclerosis, and kidney fibrosis.
The purpose of this optimized protocol was to provide steadfast information to new and novice researchers that the same gelatin substrate could also be utilized to detect MMP-7 and -13 with limited activity, in addition to major enzymes MMPs-2 and -9 in a single gel. This is a cost and labor efficient single shot protocol for multiple MMPs’ activity detection using gelatin as substrate.
Organ tissue, plasma, and urine samples from male db/db diabetic, control (db/c), and WT C57BL/6J mice were used in this study. C57BL/6J wild type (WT, Strain #: 000664), type 2 diabetes (T2D) spontaneous mutation (db/db; BKS.Cg-Dock7m +/+ Leprdb/J, Strain #: 000642) and their control heterozygous littermates (db/+) mice were purchased from Jackson Laboratory (Bar Harbor, ME, USA). Mice were housed in a temperature- and light-controlled environment at the University of Louisville animal facility, and aged 10-12 weeks were used in the study. They were given a standard diet and tap water ad libitum. At the end of the experiments, urine sample was collected, the animals were euthanized using 2 × tribromoethanol (TBE), i.e., 0.2 mL/5g body wt. and blood samples were collected in lithium heparin vacutainer tubes to separate plasma as described [10]. (Note: TBE stock solution was prepared using 2.5g 2,2,2-tribromoethanol; 2-methyl-2-butanol (tertiary amyl alcohol and 200 mL distilled water). After euthanasia organs, including heart, kidney, and colon were excised and stored at –70 °C for further processing. The animal protocols were performed in accordance with institutional animal care guidelines and conform to the Guide for the Care and Use of Laboratory Animals published by the U.S. National Institutes of Health (NIH Publication, 2011). The study was approved by the Institutional Animal Care and Use Committee (IACUC) of the University of Louisville School of Medicine (IACUC#20683, Date of approval February 12, 2020).
Mouse mesangial cells (MCs) were purchased from ATCC (Manassas, VA, USA), and cells were validated and authenticated by ATCC. Further, all cell lines were validated by STR profiling and tested negative for mycoplasma. Cells were grown in a T25 flask in a humidified 5% CO2 incubator at 37 °C in DMEM/F-12 50/50 medium containing 5% fetal bovine serum (ATCC, Manassas, VA, USA), antibiotics, and L-glutamine (Mediatech, Inc., Manassas, VA, USA). At 70% confluence, cells were trypsinized, detached, and seeded onto 6-well culture plates at an equal density (1
General electrophoresis equipment, apparatus, and reagents are needed to run gelatin zymography. The specific composition of the separating and stacking gel is described below in Tables 1,2, respectively. The following Table 1 is for a 10% running/separation gel using 1 mm and 1.5 mm thick spacer plates.
| Components | Thickness/volume | |
| Spacer thickness | 1 mm | 1.5 mm |
| H2O | 1.4 mL | 4.0 mL |
| 30% Acrylamide mix | 1.65 mL | 3.3 mL |
| 1.5 M Tris-HCl (pH 8.8) | 1.25 mL | 2.5 mL |
| 10% SDS | 40 µL | 100 µL |
| 10% APS (Ammonium persulfate) | 40 µL | 100 µL |
| TEMED (Tetramethylethylenediamine) | 4 µL | 4 µL |
| Substrate – Gelatin (15 mg/mL water, w/vol) | 0.8 mL | 1.2 mL |
Note: the composition is the same as regular protein separating gel, with the only exception being gelatin added to the mixture. Completely dissolve gelatin in warm water (35–40 °C) with continuous stirring before adding to the separating gel mixture.
| Solution components | (Gel volume = 1 mL) |
| H2O | 0.68 mL |
| 30% Acrylamide mix | 0.17 mL |
| 1 M Tris (pH 6.8) | 0.13 mL |
| 10% SDS | 10 µL |
| 10% Ammonium persulfate | 10 µL |
| TEMED | 1 µL |
° Gel Running Buffer
° For 10
■ 30.3 g Tris
■ 144 g Glycine
■ 10 g SDS
° For one liter of 1
° 100 mL of 10
° 900 mL of dH2O
° 4
° 200 mM Tris-HCl pH 6.8
° 40% glycerol
° 4% SDS
° 0.04% Bromophenol blue
° 2.5% Triton X-100% Solution in dH2O
° Developing Buffer – Incubation Buffer – Renaturing
° Developing buffer should be stored at 4 °C
° Recipe
■ 50 mM Tris HCl pH 8.3
■ 20 mM Glycine
■ 10 mM CaCl2
■ 1 µM ZnCl2
° Staining solution – Zymography dye
° 0.1% Coomassie Blue R 250
° 30% Methanol
° 5% Acetic acid
° Destaining solution in dH2O
° 30% Methanol
° 5% Acetic acid
° Gelatin Solution - should be stored at –20 °C in aliquots
° 15 mg/mL
° Casein solution - should be stored at –20 °C in aliquots
° 3.3 mg/mL
For the extraction of proteins from tissue and cellular samples, a cacodylic acid buffer is recommended. The composition of the cacodylic acid buffer is as follows:
Cacodylic acid, 10 mM
NaCl, 150 mM
ZnCl2, 1 µM
NaN3, 1.5 mM
Triton X-100, 0.01%
2.5.1.1 Cellular Samples
We used mesangial cells to extract protein. However, this method can be used with other cell types commonly used in in vitro experiments.
Isolate sample cells by scraping or trypsinizing from the cell culture plate in an Eppendorf tube (1.5–2.0 mL). Add cacodylic acid buffer into the tube and gently mix. Leave the sample tubes in 4 °C for at least an hour. Sonicate the cells for a few seconds (3–5 seconds) and leave them on ice for another 30 minutes before centrifuging. After that, spin the sample using a centrifuge at 10,000 rpm at 4 °C for 10 min. Collect the supernatant and discard the pellets. Mix the collected supernatant with the sample buffer and dilute with dH2O as necessary. Ensure that each well receives an equal amount of (15–25 µg) protein before loading the samples onto the gel.
2.5.1.2 Plasma Samples
Add cacodylic acid to the plasma, then vortex the sample. Leave the samples at 4 °C for at least an hour before centrifuging the sample. After that, spin the sample using a centrifuge at 10,000 rpm and 4 °C for 10 minutes. Take out all the supernatant and discard the pellet. The supernatant should be mixed with the sample buffer and diluted with dH2O and loaded into the wells. Note: plasma has higher concentrations of active MMPs than other body fluids. Therefore, very little plasma sample [2–3 µL; (1:10; plasma:H2O)] is needed, which can yield high-density bands in the zymography gel.
2.5.1.3 Urine Samples
Collect urine in a 1.5 mL Eppendorf tube devoid of any contamination, such as feces. Centrifuge it at 10,000 rpm for 5 min. Collect supernatant and either use it immediately or store at –70 °C for future use.
2.5.1.4 Tissue Samples
Extract the tissues and add cacodylic acid buffer into each sample and mix them. Leave the samples in 4 °C for at least an hour. Sonicate the tissue samples and leave them on ice for 30 minutes before centrifuging the samples. After that, spin the sample using a centrifuge at 10,000 rpm at 4 °C for 10 minutes. Take out all the supernatant and discard the pellet. The supernatant should be mixed with the sample buffer and diluted with dH2O and loaded into the wells.
2.5.1.5 Rationale for Use of Cacodylic Acid Buffer Over RIPA for Sample Preparation
RIPA buffer is a potent lysis solution containing ionic detergents, such as SDS, which enables efficient cell extraction and solubilization. In contrast, cacodylic acid is a buffer commonly used in protein purification methods such as chromatography. It is valued for its ability to preserve protein stability and function, making it a gentler option compared to more aggressive lysis buffers. While RIPA buffer is well-suited for extracting nuclear, membrane, and cytoplasmic proteins for downstream applications such as Western blotting, immunoprecipitation, and ELISA, cacodylic acid buffer excels at maintaining protein integrity during purification procedures. For these reasons, we selected cacodylic acid buffer for our sample preparation.
• First, we prepared and combined the sodium dodecyl sulfate–polyacrylamide gel electrophoresis (SDS-PAGE) components, then allowed the mixture to polymerize. This process typically requires about 20–30 minutes at room temperature for the gel to fully solidify (Fig. 1).
Fig. 1.
Gelatin zymography gel. Gel assembly, separating and stacking gels with a comb applied between the two glass plates.
• Refer to Table 1 for a 1.00 mm gel.
° Warm the gelatin stock solution (aliquot) at 70 °C in a water bath.
° Add 0.8 mL of gelatin to a tube (15 mL).
° Add 1.4 mL of H2O.
° Add 1.25 mL of 1.5 M Tris/HCl Buffer (pH 8.8).
° Add 1.65 mL 30% of Acrylamide/Bis-acrylamide.
° Add 10% Ammonium persulfate (APS) 40 µL.
° Tetramethylethylenediamine (TEMED) 4 µL.
• We should have
° Note: Add
• Once the separation gel is set, refer to Table 2 to prepare the stacking gel.
• After adding all the components of the stacking gel, start mixing it for a few seconds (3–5 seconds) and add the stacking gel on top of the separating gel and insert the comb gently.
• Make sure there are no air bubbles formed inside the wells. Wait for 20–30 minutes or until the gel solidifies.
• For the protein ladder marker (e.g., Precision Plus Protein), add 8 µL to the first well.
• In small tubes, start preparing the samples based on the protein estimation of these samples. In each tube, add the following:
° Sample Loading buffer
° dH2O
° Sample
• Vortex and centrifuge these samples for 5–10 seconds, and then start loading them in the wells.
• After loading the samples, start filling up the Western Blot
Electrophoresis tank with 1
• Start running the gel using 80 volts for 30 minutes (Fig. 2)
Fig. 2.
Zymography gel running. The gel ran on 80 volts for 30 minutes and then switched to 130–140 volts until dye reaches to the bottom.
• Start increasing the volts to 130–140 until the marker is separated and the samples dye runs off the gel.
• After that, gently remove the gel from plate assembly, put in a gel tray and soak the gel in 2.5% Triton X-100 solution. Shake it using Laboratory Platform Rocker at low speed (8–10 rpm) for twenty minutes (Repeat this step 3 times) for a total of one hour.
• After soaking the gel for an hour, start washing the gel once with dH2O.
• After that, soak the gel using the incubation buffer until it covers the gel completely. Leave the gel 18–48 hours in an incubated shaker with a temperature of 37 °C and 60 rpm. Cover the box with plastic wrap to protect the gel from drying.
• Incubation time depends on the sample that is used. For example:
° Cells, serum, and urine need 18 hr of incubation time.
° For brain lysate, 36 hr.
° For heart lysate 48 hr.
• Prior to staining, rinse the gel with dH2O once and stain using the staining solution/zymography dye. Place it on a shaker for 30–60 minutes at a slow speed (8–10 rpm).
• Start adding the destaining solution until it covers the gel, and use a brush to gently brush it on both sides.
• Place the gel with the destaining solution on a shaker for 20 minutes at slow speed (8–10 rpm) and repeat this step three times for a total of one hour.
• This is the last step of preparing the zymography gel, so the gel is ready for imaging.
• The gel was scanned using the gel imaging system.
° In the following image (Fig. 3), there are two samples of mesangial
cells with an amount of protein in the sample
Fig. 3.
Gelatin zymography of mesangial cell extract. (A) Coomassie
blue-stained 10% gel with 1 mm thickness was imaged with a BioRad Universal Hood
II. Active MMP-2 appeared as bright bands against a dark blue background. Kidney
mesangial cells were lysed as detailed in
the Materials and methods section, and the resulting lysates were analyzed. (B)
Densitometry analysis of proteinase activity. Bands are considered as a fold
change. Values are mean
• Quantifying the bands
° The density of the zymography bands can be quantified using several software programs, such as ImageJ (https://imagej.net/ij/) [4].
Data are reported as mean
When working with samples, it is crucial to account for the varying amounts of proteinase activity, as some samples may contain significantly higher levels of active proteinases than others. For instance, plasma typically has much higher concentrations of active MMPs compared to other body fluids, tissues, or cells. As a result, only a small volume of plasma, such as 2–3 µL, is required to obtain strong bands in a zymography gel. Fig. 3 compares mesangial cell extracts with two different protein amounts (15 µg vs. 25 µg), where MMP-2 activities were detected in the gel. It was observed that the band intensities were not proportional to the amount of protein loaded per well. This indicates that the proportion of substrate and the amount of protein loaded per well are crucial for maximum proteinase activities. As proteinase activities depend on their source, the specificity of substrate, efficiency of renaturation, quality of samples, etc., the substrate and proteinase ratio cannot be predetermined to get the best zymography outcome. Investigators must start with an available standardized protocol and adjust this ratio based on their specific circumstances.
Mesangial cells were lysed with cell lysis buffer without proteinase inhibitors overnight. The cells were either sonicated or not, and ran for zymography, and developed using the development buffer overnight. Results indicated that although pro-MMP-9 and MMP-2 activities were not much different between sonicated vs. non-sonicated samples, active MMP-9 were significantly higher detected in sonicated samples compared to non-sonicated samples (Fig. 4). This indicates that sonication may improve some MMPs’ activities, especially on cell or tissue extracts, by mechanically enhancing protein extraction for analysis.
Fig. 4.
Sonicated vs. non-sonicated samples. Kidney mesangial cells
were lysed as described in the methods,
followed by either sonication or not, and the final centrifuged lysates were
analyzed. (A) Gelatin Zymography Gel Imaged using a BioRad Universal Hood II,
10% gel, 1 mm thickness. Pro- and active MMP-9 are visible as bright bands, and
MMP-2 is in faint bands in the dark blue background. (B) Densitometric analysis,
data mean
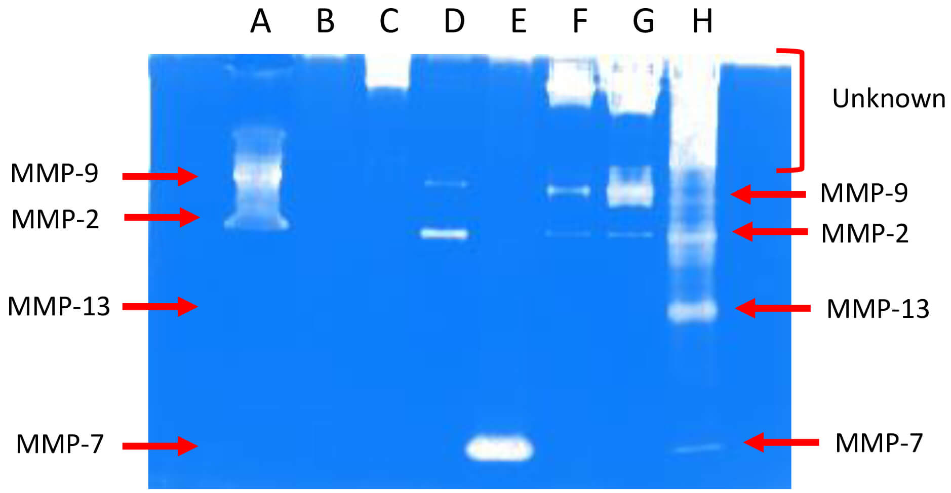
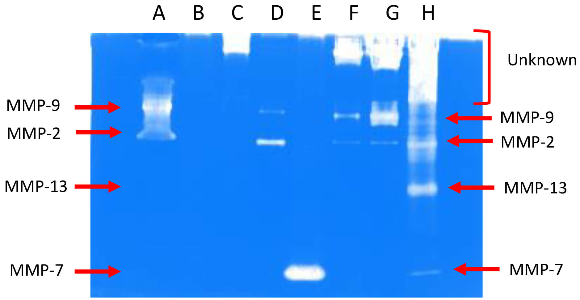
When running multiple samples, from body fluids to tissue extracts—special care is needed to prevent the high protease activity in one sample from interfering with others. Samples with very high protease levels, such as plasma, can produce disproportionately intense bands with even small increases in loading volume, sometimes overwhelming or bleeding into neighboring lanes. For example, Fig. 5 (Ref. [11]) includes samples from several different sources, the results highlight the importance of carefully adjusting protein loading to ensure high-quality zymography.
Fig. 5.
Gelatin Zymography of various biological samples. (A) Human plasma, (B) T2D control urine (db/c mice), (C) T2D urine (db/db mice), (D) Serum free culture medium (mesangial cells, 24 hrs. incubation), (E) Mesangial cell extract from serum free culture (24 hrs. incubation), (F) Mice heart tissue extract (wild type, WT), (G) Mice kidney tissue extract (wild type, WT), (H) Mice colon tissue extract (wild type, WT). Gel Imaged using a BioRad Universal Hood II, 10% gel, 1 mm thickness. MMPs are visible as bright bands in a dark blue background. Cell and tissues were lysed/digested as described in the methods, and the final centrifuged lysates were analyzed. Molecular weight of MMPs in kDa, MMP-9 (pro vs. active, 92 vs. 84), MMP-2 (62–72), MMP-7 (28–30), MMP-13 (50–70). Unknown, it may include a 125 kDa complex of MMP-9 and neutrophil gelatinase-associated lipocalin (NGAL) [11]. All animal samples were from male mice.
A casein zymography is shown below (Fig. 6). It follows the same protocol and buffer, except that casein is used in the gel instead of gelatin. It should be noted that though gelatin zymography is the standard and more sensitive method, MMP-9 activity can be detected in casein zymography as well (Fig. 6). Since MMP-9 can cleave casein, a band of activity appears on the gel where the enzyme is present, but it is less distinct and fainter than with gelatin zymography due to lower sensitivity.
Fig. 6.
Casein zymography of plasma samples. (A) MMP-9 activity in the
gel, WT vs. T2D. Plasma samples were prepared, loaded onto a casein gel, and
electrophoretically separated. Gel was stained with Coomassie blue and imaged.
(B) Densitometric analysis, data mean
Percentage of gels: We used a 10% acrylamide gel; however, a 7.5% or 8% acrylamide gel is commonly used for gelatin zymography [6]. Readers can use an optimal percentage depending on the specific protease to be studied. For instance, 7.5–8% gel has larger pores in the gel matrix that allow larger proteins to migrate more easily, providing better resolution for proteins in the 25–200 kDa range. On the other hand, 10% gel has smaller pores in the gel matrix, which provides better resolution for proteins in the 15–100 kDa range.
Smeared bands: Smeared bands in gel electrophoresis are caused by issues such as too much sample, protein degradation, or improper gel and running conditions. Causes can include overfilling the wells with sample, using a high concentration of protein, shearing the protein during extraction, or using a gel with a poor polymerization or old buffers. Incorrect running conditions, like a voltage that is too high or an incorrect buffer pH, can also lead to smearing.
Substrate dissolution: Warm water (up to 70 °C) to dissolve substrate to avoid common pitfalls like uneven substrate distribution causing background noise in the gel.
Substrate Incorporation: To ensure the substrate (e.g., gelatin) is evenly distributed throughout the gel, it is important to completely dissolve gelatin in a stock water solution. It is necessary to dissolve gelatin in warm water with constant stirring before thoroughly mixing with the acrylamide solution. Never exceed the water temperature above 70 °C.
Gel Thickness: A thinner gel, i.e., a 1 mm thick gel, is appropriate for proper resolution and visualization of proteolytic activity.
Pro- vs. active forms: Pro- forms are inactive precursors that are activated to their functional, active forms. The activation is often triggered by cleaving a propeptide, and an example is the activation of pro-MMP to active MMP using APMA (4-aminophenylmercuric acetate), which displaces the propeptide. This conversion is typically indicated by a change in molecular weight and a corresponding increase in the enzyme’s activity.
Controls: EDTA is commonly used to inhibit matrix metalloproteinases (MMPs) and can be used as a control to confirm MMP activity. As a metal chelator, EDTA binds to the metal ions that MMPs need to function, thereby deactivating them. Including an EDTA control helps demonstrate that any observed effects are due to MMP activity that has now been inhibited [12].
Reverse zymography: It is a technique used to detect and semi-quantify protease inhibitors, rather than active proteases. In this method, the gel contains both a protease and a substrate, and the protein sample is run through the gel. Areas where inhibitors are present prevent the protease from digesting the substrate, resulting in dark bands of undigested substrate against a clear, lysed background [13].
Zymography is a simple way to detect MMPs’ activities in a biological sample. However, just like any other lab techniques, it has its own limitations too. Sample source and preparation methods can affect detection, intensity, and overall validity of proteinases through zymography. Additionally, although zymography is more sensitive to detect MMPs’ activities when compared to other methods, sometimes it is also difficult to analyze the data due to the poor resolution of enzymatic activity [6]. Another limitation of SDS-PAGE gelatin zymography is that SDS can partially denature pro-MMPs and artifactually reveal activity [14, 15]. Below are some advantages and disadvantages of zymography.
(a) High sensitivity: This method can detect activities of picogram quantities of enzymes, making it exceptionally sensitive for identifying proteolytic activity [16, 17].
(b) Quantitative comparison: Fluorogenic assays are faster but can be less specific compared to zymography [18].
(c) Distinction between active and latent forms: Zymography can differentiate between active enzymes and their inactive forms (zymogens) based on their mobility and ability to degrade the substrate [5].
(d) Cost-effective: Compared to techniques like ELISA or Western blotting, zymography is often a more economical option for assessing enzymatic activity [19].
(e) Analysis of glycosylated isoforms: This technique can provide insights into different glycosylated forms of enzymes, which may be significant for understanding their functions [19].
(f) Versatile sample application: Zymography can be applied to a wide variety of biological samples, including cell and tissue extracts [20].
(g) Compatibility with other techniques: It can be combined with other methods, such as immunoblotting, to enhance the comprehensiveness of the analysis [16].
(a) Limited substrate availability: Suitable substrates for all enzymes are not readily available, which restricts the applications of zymography [21].
(b) Potential for interference: Other enzymes or factors present in the sample may interfere with the detection of the target MMP enzyme [22]. To avoid detection interference from other enzymes, a selective inhibitors to block non-MMP proteases, including serine, cysteine, aspartic, and proteasome proteases may be used to pretreat the samples [23].
(c) Inability to differentiate between free and complex MMPs: Zymography cannot distinguish between MMPs that are free in solution and those that are complex with inhibitors, such as TIMPs. This limitation can impact the assessment of enzyme activity [22].
(d) Time consumption: Zymography protocols can be time-consuming, particularly when optimizing conditions or analyzing multiple samples [24]. To optimize the zymography protocol for time efficiency, focus on reducing the duration of three key steps should be considered. These are: electrophoresis, washing/renaturation, and incubation/staining. One can also improve sample preparation and data analysis to handle multiple samples more efficiently [24].
(e) Need for careful interpretation: Results from zymography require careful interpretation, as they indicate potential hydrolytic activities rather than the exact in vivo activity of the enzymes [21].
(f) Potential disruption: SDS can potentially disrupt the non-covalent interactions within MMP-TIMP complexes due to its strong denaturing properties, thus potentially leading to an overestimation of MMP activity in certain assays [25].
In summary, zymography is an effective tool for detecting proteolytic activities in cells, tissues, and other biological samples. While several laboratory techniques can identify MMP activities, such as ELISA and assays using fluorogenic substrates, zymography stands out for its unique advantages. It is a highly sensitive method capable of detecting both latent and active forms of proteases. Additionally, zymography is a low-cost laboratory technique, making it a useful tool for cost-effective analysis of certain MMPs in biological samples.
Future directions involve integrating zymography with proteomics to identify the proteins corresponding to active bands observed on a zymogram gel. This combination offers a powerful approach for pinpointing specific enzymes and assessing their activities within complex biological samples. Methods such as mass spectrometry (MS) and transfer zymography serve as key examples. While MS analysis of excised protease bands, after tryptic digestion, remains common following traditional zymography, it faces limitations, including interference from abundant substrate proteins. Here, transfer zymography presents a promising alternative. In this technique, proteolytic enzymes are first separated by conventional nonreducing SDS-PAGE without protein substrate in the gel. The resolved proteins are then electrophoretically transferred onto a receiving gel containing the substrate, in a process analogous to western blotting. This approach offers distinct advantages over both MS and conventional zymography for protease analysis [26].
APS, ammonium persulfate; ECM, extracellular matrix; ELISA, enzyme linked immunosorbent assay; MMP, matrix metalloproteinase; SDS-PAGE, sodium dodecyl sulfate-polyacrylamide gel electrophoresis; TEMED, N,N,N′,N′-Tetramethyl ethylenediamine; TIMPs, tissue inhibitor of metalloproteinase; WT, wild-type.
The original contributions presented in the study are included in the article; further inquiries can be directed at the corresponding author.
HA and US designed the study; HA conducted experiments, acquired data, performed analysis, and wrote the draft of the manuscript; YTZ contributed to methods and data acquisition; REB, SCT, DTdP and MNS participated in experiments, searched references, and contributed in the discussion; US revised and finalized the manuscript. All authors contributed to editorial changes in the manuscript. All authors read and approved the final manuscript. All authors have participated sufficiently in the work and agreed to be accountable for all aspects of the work.
The animal protocols were performed in accordance with institutional animal care guidelines and conform to the Guide for the Care and Use of Laboratory Animals published by the U.S. National Institutes of Health (NIH Publication, 2011). The animal study protocol was approved by the Institutional Review Board (University of Louisville Institutional Animal Care and Use Committee; IACUC#20683, Date of approval February 12, 2020).
Thanks to all the peer reviewers for their opinions and valuable suggestions.
This study was supported, in part, by a graduate fellowship to Hebah Almarshood from Saudi Arabian Cultural Mission to the USA, Ref. No. FG-1300157.
The authors declare no conflict of interest.
References
Publisher’s Note: IMR Press stays neutral with regard to jurisdictional claims in published maps and institutional affiliations.






