1 Department of Food Science and Nutrition, Hallym University, Chuncheon, 24252 Gangwon, Republic of Korea
2 Precision Medicine R&D Center, Famenity Co., Ltd., Uiwang, 16006 Gyeonggi, Republic of Korea
3 Department of Biochemistry and Molecular Biology, and Research Institute of Oral Sciences, College of Dentistry, Kangnung-Wonju National University, Gangneung, 25457 Gangwon, Republic of Korea
4 Department of Neurobiology, School of Medicine, Kangwon National University, Chuncheon, 24341 Gangwon, Republic of Korea
5 Division of Food Biotechnology, School of Biotechnology, Kangwon National University, 24341 Chuncheon, Republic of Korea
6 Department of Biomedical Science, Research Institute for Bioscience and Biotechnology, Hallym University, Chuncheon, 24252 Gangwon, Republic of Korea
7 Department of Surgery, Kangwon National University Hospital, School of Medicine, Kangwon National University, Chuncheon, 24289 Gangwon, Republic of Korea
†These authors contributed equally.
Academic Editors: Mateusz Maciejczyk and Graham Pawelec
Abstract
Background: Ischemia and reperfusion injury in the brain triggers cognitive impairment which are accompanied by neuronal death, loss of myelin sheath and decline in neurotransmission. In this study, we investigated whether therapeutic administration of Brain Factor-7® (BF-7®; a silk peptide) in ischemic gerbils which were developed by transient (five minutes) ischemia and reperfusion in the forebrain (tFI/R) improved cognitive impairment. Methods: Short-term memory and spatial memory functions were assessed by passive avoidance test and Barnes maze test, respectively. To examine neuronal change in the hippocampus, cresyl violet staining, immunohistochemistry for neuronal nuclei and fluoro Jade B histofluorescence were performed. We carried out immunohistochemistry for myelin basic protein (a marker for myelin) and receptor interacting protein (a marker for oligodendrocytes). Furthermore, immunohistochemistry for vesicular acetylcholine transporter (as a cholinergic transporter) and vesicular glutamate transporter 1 (as a glutamatergic synapse) was done. Results: Administration of BF-7® significantly improved tFI/R-induced cognitive impairment. tFI/R-induced neuronal death was found in the Cornu Ammonis 1 (CA1) subfield of the hippocampus from five days after tFI/R. Treatment with BF-7® following tFI/R did not restore the death (loss) of CA1 neurons following tFI/R. However, BF-7® treatment to the ischemic gerbils significantly improved remyelination and proliferation of oligodendrocytes in the hippocampus with ischemic injury. Treatment with BF-7® to the ischemic gerbils significantly restored vesicular acetylcholine transporter-immunoreactive and vesicular glutamate transporter 1-immunoreactive structures in the hippocampus with ischemic injury. Conclusions: Based on these results, we suggest that BF-7® can be utilized for improving cognitive impairments induced by ischemic injury as an additive for health/functional foods and/or medicines.
Keywords
- cornu Ammonis 1
- memory function
- neurotransmission
- oligodendrocytes
- pyramidal neuron
- silk peptide
A temporary blockage of blood supply in the brain leads to ischemia and reperfusion injury [1]. It has been well addressed that ischemia and reperfusion injury in the brain triggers diverse neurological and behavioral alterations including vertigo, memory decline and cognitive impairment [2, 3, 4].
It has been well acknowledged that transient forebrain ischemia and reperfusion (tFI/R) induces selective neuronal death (loss) in the specific regions of the forebrain, such as hippocampus, neocortex and striatum, which are vulnerable to ischemia and reperfusion [5, 6, 7]. In particular, pyramidal neurons located in the Cornu Ammonis 1 (CA1) field of hippocampus, as principal cells, are prone to die following five-minute tFI/R in gerbils [8, 9]. Since the hippocampus plays important roles in cognitive and memory functions, tFI/R-induced neuronal loss in the hippocampus brings cognitive impairment accompanied by demyelination, axonal damage and decline of neurotransmission [4, 10].
Myelin sheath, an insulator enwrapping around axons in the central nervous
system, is formed by oligodendrocytes and facilitates neural transmission by
saltatory conduction [11, 12]. It has been reported that, in vitamin
B
Brain Factor-7®
(BF-7®; a silk peptide) (
However, to the best of our knowledge, it has been poorly reported whether therapeutic administration of BF-7® for a long time after hippocampal neuronal loss following tFI/R improves IRI-induced cognitive impairment. Therefore, the aim of this study was to examine whether BF-7® therapy can improve tFI/R-induced cognitive impairment in gerbils. Moreover, we investigated the effects of BF-7® therapy on remyelination and restoration of neurotransmission in the hippocampus with tFI/R injury.
Male gerbils (total n = 84; body weight, 80
All experimental processes using the animals adhered to the guidelines included in the “Current International Laws and Policies”, a part of the “Guide for the Care and Use of Laboratory Animals” [21]. Approval for the experimental protocol was sanctioned (approval no., KW-200113-1; approval date, 18th Feb. 2020) by Institutional Animal Care and Use Committee (IACUC), an affiliated organization, of Kangwon National University.
Gerbils were randomly grouped as follow: (1) sham+vehicle group (n = 21) which was given sham operation and administered vehicle (saline; 0.85% NaCl), (2) tFI/R+vehicle group (n = 21) which was subjected to tFI/R operation and treated with vehicle, (3) sham+BF-7® group (n = 21) which was given sham operation and administered BF-7®, and (4) tFI/R+BF-7® group (n = 21) which was subjected to tFI/R operation and treated with BF-7®.
In order to develop ischemic insult-induced cognitive impairment, the gerbils
were given tFI/R operation in accordance with our published method [2, 4]. In
short, anesthesia was induced with 2.5% isoflurane (Hana Pharmaceutical Co.
Ltd., Seoul, Korea) in mixture gas of 67% nitrous oxide (N
As shown in Fig. 1, using a curved feeding needle (16 gauge, 100 mm of length; Fine Science Tools, Inc. Foster City, CA, USA), vehicle or BF-7® (10 mg/kg) was orally administrated from five days after sham or tFI/R operation once a day for 25 days.
Fig. 1.Experimental schedule tFI/R-induced cognitive impairment is developed for 25 days from five days after tFI/R operation. Each vehicle and BF-7® (10 mg/kg) is orally administrated once a day from five to thirty days after tFI/R operation. Passive avoidance test is carried out at zero, five, 15 and 30 days after tFI/R. Barnes maze test is daily performed from 26 to 30 days after tFI/R. The gerbils are sacrificed at five, 15 and 30 days after tFI/R in order to histologically analyze.
To evaluate short-term memory following tFI/R operation, PAT was performed at zero, five, 15 and 30 days after tFI/R (Fig. 1). As described previously [4], we used GEM 392 apparatus for PAT (San Diego Instruments Inc., San Diego, CA, USA). The apparatus consists of two compartments (dark and light) which communicate through a sliding gate. The evaluation was processed by two trials (training and substantial trial). The training trial was carried out one day before each substantial trial. For training, individual gerbil was placed in the dark compartment and allowed to freely explore both compartments for one minute. When the gerbil entered the dark compartment, the gate was closed and the gerbil received electric foot-shock (0.5 mA) for five seconds from the steel grid floor. For substantial trial, the gerbil was placed in the light compartment, and then the latency time was recorded until the gerbil went into the dark compartment within three minutes.
To examine spatial memory following tFI/R operation, BMT was conducted at 26, 27, 28 and 29 days after tFI/R operation (Fig. 1). Briefly, in accordance with previous studies [2, 4], visual signs were placed around the maze at a height which is perceivable for the gerbil. To maintain steady brightness (220 lx) and background noise (85 dB), illumination and stereo speaker were respectively installed onto the ceiling of the maze. For training, individual gerbil was trained three times per day with 15 minutes of intervals for consecutive four days (on day 26–29 after tFI/R). The gerbil freely explored the maze until the gerbil found an escape which is linked to the refuge. Once the gerbil entered the refuge, the gerbil stayed there for 30 seconds. When the gerbil failed to find the refuge within three minutes, we carefully guided the gerbil toward the refuge. The substantial test was performed at one day after the final training (on day 30 after tFI/R). The refuge was removed, and, when the gerbil went to the entry area where the refuge had been previously located, the latency time was recorded within 90 seconds.
The brain tissue sections were prepared according to our previously described
method [22]. Shortly, the gerbils were deeply anesthetized with pentobarbital
sodium (intraperitoneal injection, 150 mg/kg; JW pharm. Co., Ltd., Seoul, Korea).
Under the anesthesia, the gerbils were perfused (flow rate, six mL/min; total
perfused volume, 70 mL) with saline through the left ventricle of the heart.
Subsequently, the gerbils were fixed with 4% paraformaldehyde (pH 7.4) with the
same flow rate and perfused volume. Next, their brains were harvested and further
fixed with the same fixative for six hours at room temperature and infiltrated
with 30% sucrose (pH 7.4) to protect the brains from cryodamage for 24 hours at
room temperature. Lastly, the brains were serially and coronally sectioned into
30
CV staining was carried out to investigate cellular distribution in the hippocampus according to our previous study [23]. In brief, the brain sections were mounted onto the microscopy slides coated with gelatin. After confirming the adherence of the sections to the slides, the sections were immersed in 0.1% CV acetate (Sigma-Aldrich Co, St. Louis, MO, USA) for 30 minutes at room temperature. And they were briefly washed in distilled water and decolorized in 50% ethyl alcohol for a few seconds and dehydrated by consecutively incubating in the serial ethyl alcohol (70%, 80%, 90%, 95% and 100%) for seven minutes, respectively, at room temperature. Lastly, the stained sections were cleared in xylene (Junsei Chemical Co., Ltd., Tokyo, Japan) and coverslipped with Canada balsam (Kanto Chemical Co Inc, Tokyo, Japan).
Hippocampal cells stained with CV were observed and captured using light microscope (BX53; Olympus, Tokyo, Japan) which is equipped with digital camera (DP72; Olympus, Tokyo, Japan).
In order to examine neuronal loss (death) in the hippocampus, histofluorescence
with FJB was conducted. In short, as described in previous studies [24, 25], the
brain sections were mounted onto the gelatin-coated microscopy slides. The
sections were incubated in 0.06% potassium permanganate (KMnO
FJB-stained cells were observed using epifluorescent microscope (BX53; Olympus,
Tokyo, Japan) with a blue excitation light (450–490 nm of wavelength), and their
digital images were taken using image capture software (cellSens Standard;
Olympus, Tokyo, Japan). The FJB-stained cells were counted in 250
In this study, immunohistochemical staining was performed using avidin-biotin
complex (ABC) method. In accordance with precedent studies [4, 26], the brain
sections were rinsed with 100 mM phosphate-buffered saline (PBS, pH 7.4), reacted
in 0.3% hydrogen peroxide (in 100 mM PBS, pH 7.4) in order to block endogenous
peroxidase activity for 35 minutes at room temperature and incubated in 5%
normal horse, goat or rabbit serum (in 100 mM PBS, pH 7.4) in order to block
non-specific immunoreaction for 40 minutes at room temperature. Thereafter, the
sections were immunoreacted with each primary antibody: mouse anti-neuronal
nuclei (NeuN; dilution, 1:1000; Chemicon, Temecula, CA, USA), rabbit anti-myelin
basic protein (MBP; dilution, 1:200; Abcam, Cambridge, UK), Mouse anti-receptor
interacting protein (Rip; dilution, 1:200; Santa Cruz Biotechnology, Santa Cruz,
CA, USA), goat anti-vesicular acetylcholine transporter (VAChT; dilution, 1:200;
Santa Cruz Biotechnology, Santa Cruz, CA, USA) and rabbit anti-vesicular
glutamate transporter 1 (VGLUT-1; dilution, 1:500; Synaptic Systems GmbH,
Göttingen, Germany) for 48 hours at 4 °C, washed with 100 mM PBS (pH 7.4) and
reacted with each biotinylated secondary antibody: horse anti-mouse IgG
(dilution, 1:250; Vector Laboratories Inc., Burlingame, CA, USA), goat
anti-rabbit IgG (dilution, 1:250; Vector Laboratories Inc., Burlingame, CA, USA)
and rabbit anti-goat IgG (dilution, 1:250; Vector Laboratories Inc., Burlingame,
CA, USA) for two hours at room temperature. After each immunoreaction, the
sections were incubated in ABC (diluted, 1:250; Vector Laboratories, Burlingame,
CA, USA) for one and a half hours at room temperature and washed with 100 mM PBS
(pH 7.4). To make the sections visualized, 0.06% 3, 3
NeuN-immunoreactive neurons and Rip-immunoreactive oligodendrocytes were observed using light microscope (BX53) and analyzed like the method described in the “2.8. Histofluorescence with FJB” section.
MBP (a protein believed to be important in the process of myelination of nerves)-immunoreactive structures and neurotransmitter VAChT and VGLUT-1-immunoreactive structures were analyzed according to previously published methods [4, 27]. Briefly, digital images of those structures were captured using microscope (BX53). The captured images were converted to gray scale (8 bits; 0 to 255 of range from black to white) to evaluate grey scale intensities. Optical density of the immunoreactive structures was calculated in average using Image J software (version 1.46; National Institutes of Health, Bethesda, Rockville, MD, USA). The optical density of each immunoreactive structure was presented as relative optical density (ROD), as percentage considering the ROD of sham+vehicle group as 100%.
In this experiment, we used SPSS software (version 15.0; SPSS Inc., Chicago, IL,
USA) to carry out statistical analysis. For evaluation of normal distributions
and identical standard error of the mean (SEM), we respectively performed
Kolmogorov and Smirnov test and Bartlett test. The statistical significances of
the mean among the groups were established by two-way analysis of variance
(ANOVA) followed by post hoc Tukey’s test for all pairwise multiple
comparisons. All presented data were exhibited as the mean
In all of the groups, there was no significant difference in latency time at zero day after tFI/R operation (Fig. 2A). In both sham groups, latency time at each point in time following sham operation was similar to that shown at zero day (Fig. 2A). In the tFI+vehicle group, latency time was significantly shortened when compared with that in the sham+vehicle group, but the latency time was gradually lengthened with time after tFI/R (Fig. 2A). In the tFI+BF-7® group, latency time at five days after tFI/R did not significantly differ from that in the tFI+vehicle group (Fig. 2A). However, latency time at 15 and 30 days after tFI/R was significantly lengthened when compared with that in the tFI+vehicle group (Fig. 2A).
Fig. 2. Behavioral changes due to tFI/R. (A) Short-term memory function
assessed by passive avoidance test. In the tFI/R+BF-7® group,
latency time at 15 and 30 days after tFI/R increases significantly when compared
with that in the tFI/R+vehicle group. (B) Spatial memory function measured by
Barnes mase test. In the tFI/R+BF-7® group, latency time at 28,
29 and 30 days after tFI/R is significantly shortened compared to that in the
tFI/R+vehicle group. The bars indicate mean
As shown in Fig. 2B, latency time in all groups to find the target hole measured from 26 days to 30 days after tFI/R was gradually shortened (Fig. 2B). Latency time was not significantly different between the two sham groups (Fig. 2B). In the tFI+vehicle group, latency time was significantly longer than that in the sham groups (Fig. 2B). In the tFI+BF-7® group, latency time was also longer than that in the sham groups, but the latency time measured at 28, 29 and 30 days after tFI/R was significantly shortened when compared with that in the tFI+vehicle group R (Fig. 2B).
In all sham groups, CV-cells were obviously identified in the hippocampus (Fig. 3A,E). Particularly, CV-cells formed the stratum pyramidale (SP) which consists of pyramidal cells (neurons), as principal cells (Fig. 3A,E). In the tFI/R+vehicle and tFI/R+BF-7® groups, CV dyeability was reduced in the SP of the CA1 field, not the CA2/3 field at five days after tFI/R (Fig. 3B,F). This finding implies that tFI/R triggers neuronal damage or death in the CA1 field. In the two groups, the distribution pattern of CV-cells was not changed untill 30 days after tFI/R (Fig. 3C,D,G,H).
Fig. 3.tFI/R-induced change of cellular distribution in the
hippocampus. CV staining in gerbil hippocampus of the sham+vehicle (A),
sham+BF-7® (E), tFI/R+vehicle (B–D) and
tFI/R+BF-7® (F–H) groups at five, 15 and 30 days after tFI/R. In
both tFI/R+vehicle and tFI/R+BF-7®tFI/R groups, CV dyeability is
apparently decreased in the stratum pyramidale (SP, arrows) of the CA1 field: the
distribution pattern of CV-cells is not changed untill 30 days after tFI/R. DG,
dentate gyrus. Scale bar = 400
In both sham groups, pyramidal neurons located in the CA1 field showed strong
immunoreactivity to NeuN (about 83 cells/250
Fig. 4.tFI/R-induced neuronal loss in the hippocampal CA1 field. (A,C) NeuN immunohistochemistry (A) and FJB histofluorescence (C) in the CA1
field of the sham+vehicle (Aa,Ca), sham+BF-7® (Ae,Ce),
tFI/R+vehicle (Ab–Ad,Cb–Cd) and tFI/R+ BF-7® (Af–Ah, Cf–Ch)
groups at five, 15) and 30 days after tFI/R. In all tFI/R groups, NeuN-neurons
are hardly observed and numerous FJB-cells are detected in the stratum pyramidale
(SP). SO, stratum oriens; SR, stratum radiatum. Scale bar = 100
In all sham groups, FJB-cells were not observed in the CA1 field (Fig. 4Ca,Ce). In the tFI+vehicle and tFI/R+BF-7® groups, numerous
FJB-cells were detected (about 75 cells/250
Based on the results of NeuN immunohistochemistry and FJB histofluorescence, the administration of BF-7® did not affect tFI/R-induced neuronal death in the hippocampal CA1 field.
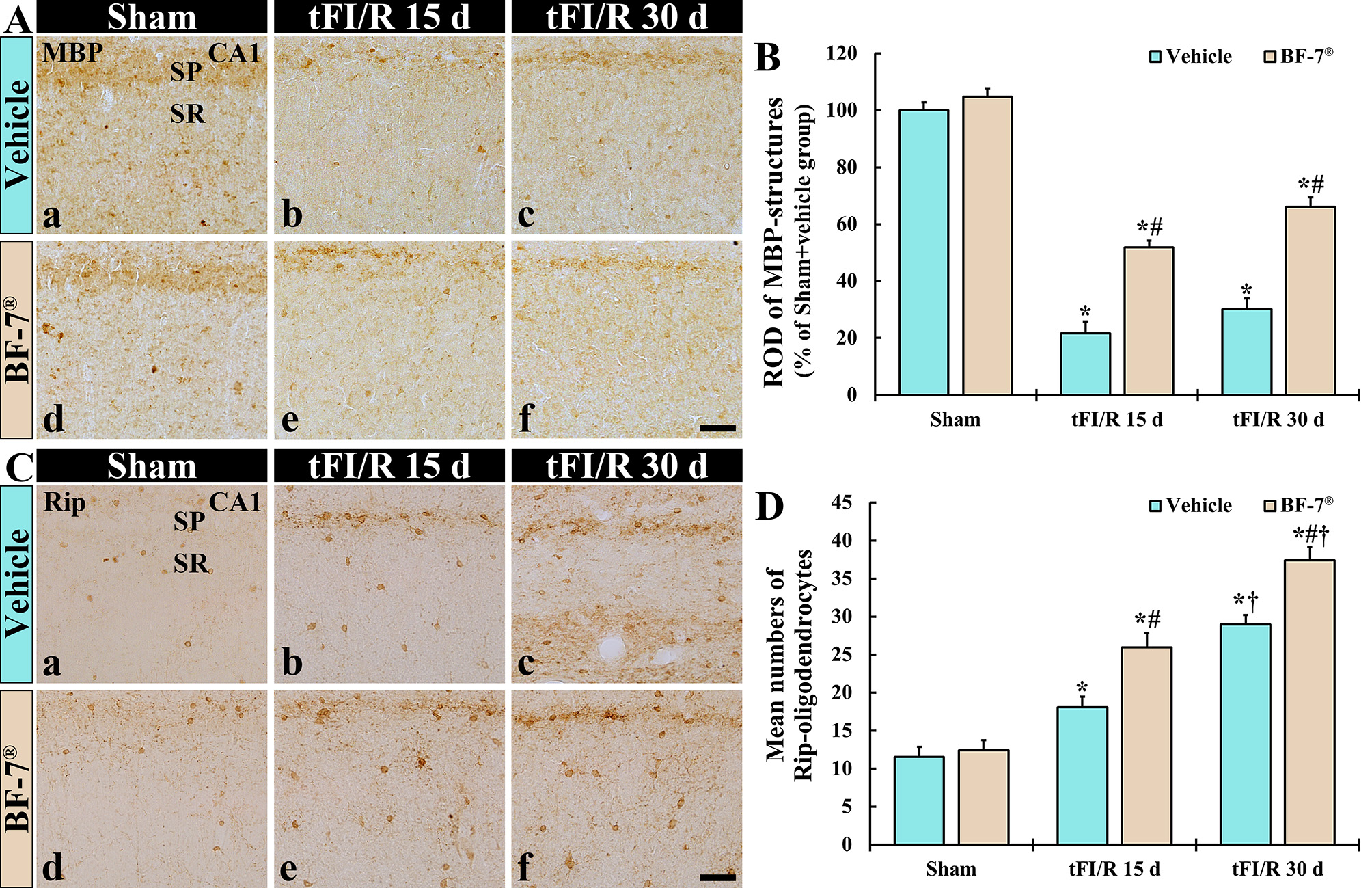
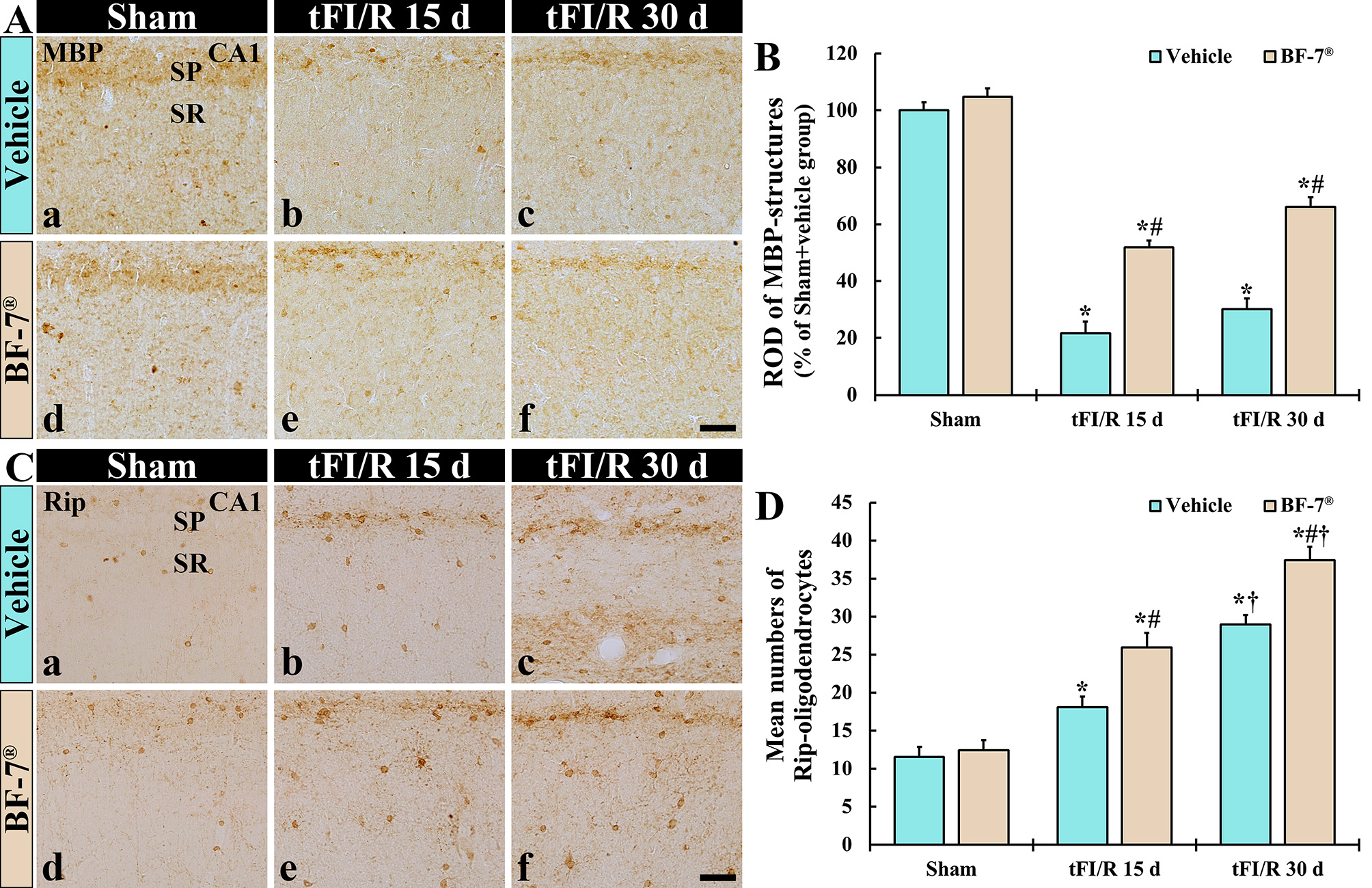
In both sham groups, MBP-structures, which covers axons, were distributed throughout all layers in the CA1 field (Fig. 5Aa,Ad). In the tFI+vehicle group, the density of MBP-structures was significantly decreased when compared with that in the sham+vehicle group (ROD: about 22% at 15 days and about 30% at 30 days after tFI/R versus sham+vehicle group) (Fig. 5Ab,Ac,B). However, in the tFI/R+BF-7® group, the density of MBP-structures was significantly increased when compared with that assessed in the corresponding time tFI/R+vehicle group (ROD: about 52% at 15 days and about 66% at 30 days after tFI/R versus sham+vehicle group) (Fig. 5Ae,Af,B).
Fig. 5.Changes in myelination and oligodendrocytes in the hippocampal
CA1 field following BF-7® treatment. (A,B)
Immunohistochemistry for MBP (A) and Rip (C) in the CA1 field of the sham+vehicle
(Aa,Ca), sham+BF-7® (Ad,Cd), tFI/R+vehicle (Ab,Ac,Cb,Cc) and tFI/R+BF-7® (Ae,Af,Ce,Cf) groups at 15 and 30
days after tFI/R. In the tFI/R+vehicle group, the density of MBP-structures and
the numbers of Rip-oligodendrocytes are significantly low and high, respectively,
when compared with the sham+vehicle group. In the tFI/R+BF-7®
group, the density of MBP-structures and the numbers of Rip-oligodendrocytes are
significantly high, respectively, when compared with the tFI/R+vehicle group. SP,
stratum pyramidale; SR, stratum radiatum. Scale bar = 100
In all sham groups, Rip-oligodendrocytes, which are responsible for myelination
of nerves, were obviously observed in the CA1 field: they were scattered
throughout all hippocampal layers (Fig. 5Ca,Cd). In the tFI/R+vehicle group,
the numbers of Rip
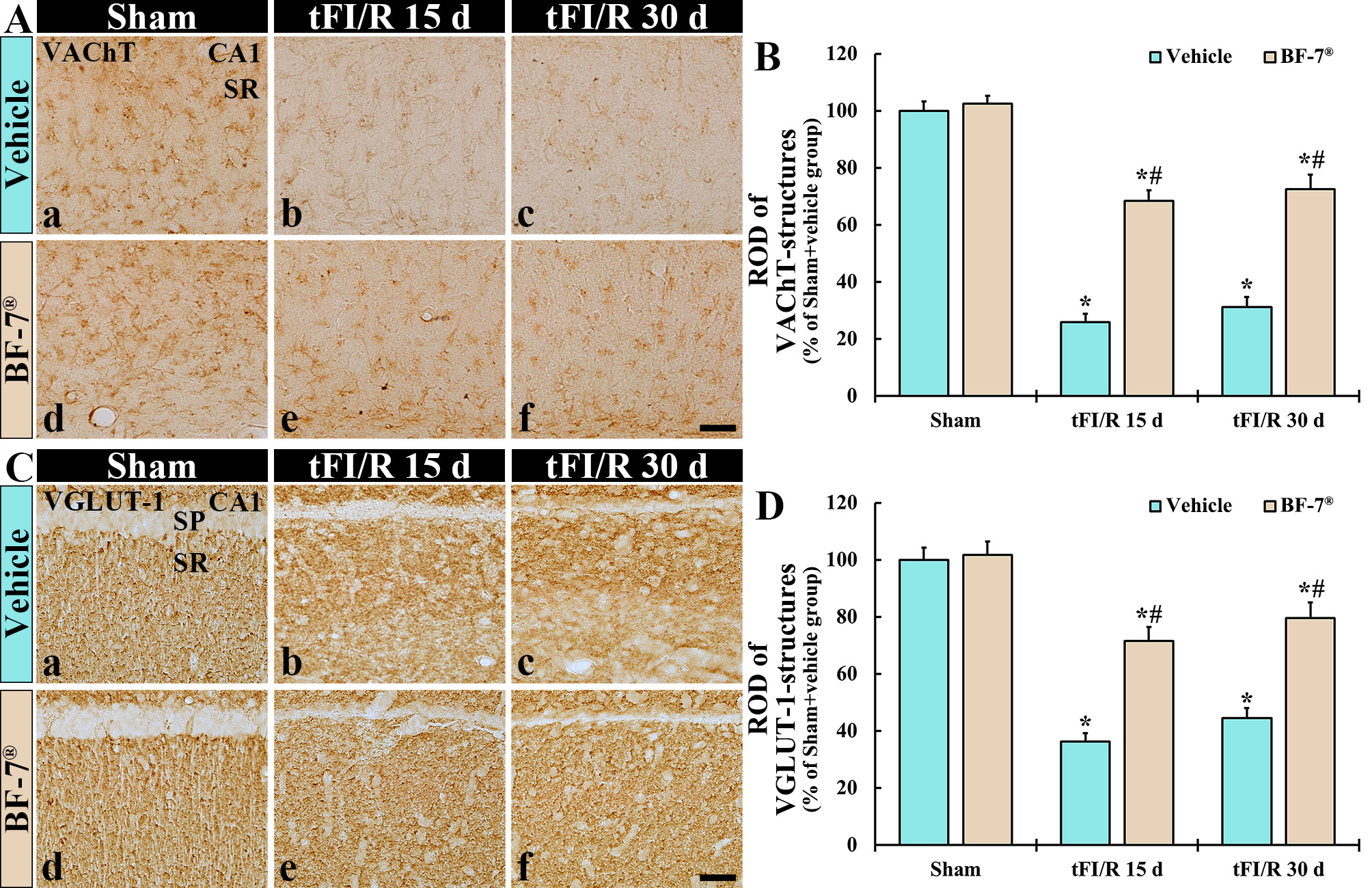
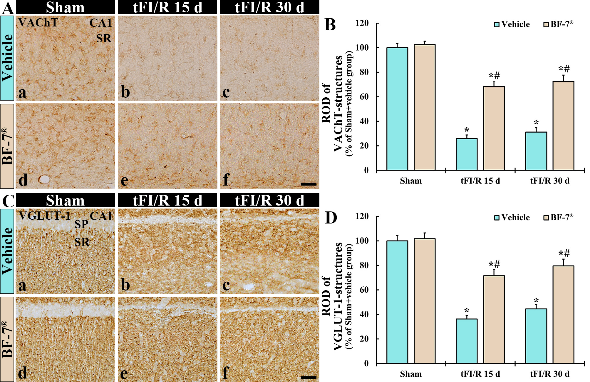
In both sham groups, VAChT-structures (responsible for loading acetylcholine into secretory organelles in neurons) were fundamentally observed in all layers of the CA1 field (Fig. 6Aa,Ad). In the tFI/R+vehicle group, VAChT-structures were significantly reduced when compared with those of the sham+vehicle group (ROD: about 26% at 15 days and about 31% at 30 days after tFI/R versus sham+vehicle group) (Fig. 6Ab,Ac,B). On the other hand, in the tFI/R+BF-7® group, VAChT-structures were significantly increased when compared with those measured in the corresponding time tFI/R+vehicle group (ROD: about 68% at 15 days and about 73% at 30 days after tFI/R versus sham+vehicle group) (Fig. 6Ae,Af,B).
Fig. 6.Changes in cholinergic and glutamatergic neurotransmission in
the hippocampal CA1 field following BF-7® treatment. (A,C)
Immunohistochemistry for VAChT (A) and VGLUT-1 (C) in the CA1 field of the
sham+vehicle (Aa,Ca), sham+BF-7® (Ad,Cd), tFI/R+vehicle
(Ab,Ac,Cb,Cc) and tFI/R+ BF-7® (Ae,Af,Ce,Cf) groups
at 15 and 30 days after tFI/R. In the tFI/R+vehicle group, VAChT and
VGLUT-1-structures are reduced after tFI/R. In contrast, in the tFI/R+
BF-7® group, VAChT and VGLUT-1-strutures are significantly
increased at 15 and 30 days after tFI/R compared to the tFI/R+vehicle group. SP,
stratum pyramidale; SR, stratum radiatum. Scale bar = 100
In all sham groups, VGLUT-1-structures (associated with the membranes of synaptic vesicles and functions in glutamate transport) were easily identified in the CA1 field; the structures were not located in the SP (Fig. 6Ca,Cd): In the tFI/R+vehicle group, VGLUT-1-strutures were significantly reduced when compared with those of the sham+vehicle group (ROD: about 36% at 15 days and about 45% at 30 days after tFI/R versus sham+vehicle group) (Fig. 6Cb,Cc,D). However, in the tFI/R+BF-7® group, VGLUT-1-structures were significantly higher than those evaluated in the corresponding time tFI/R+vehicle group (ROD: about 72% at 15 days and about 80% at 30 days after tFI/R versus sham+vehicle group) (Fig. 6Ce,Cf,D).
Researchers have established a gerbil model of tFI/R in order to investigate the mechanisms of tFI/R-induced neuronal death and search its neuroprotective and/or therapeutic materials because the model has simple surgical procedure and high reproducibility [22, 23, 28, 29]. In the model, selective neuronal loss is triggered in the CA1 field of the hippocampus at four to five days after tFI/R, and the death is termed as “delayed neuronal death” [9, 30]. It has been well acknowledged that the hippocampus plays pivotal roles in memory and learning, thus, the loss of pyramidal neurons (as principal cells in the hippocampus) due to tFI/R injury leads to changes in behavioral outcomes [7, 23, 31, 32, 33].
Previous studies on materials possessing beneficial properties against ischemia and reperfusion injury-induced cognitive dysfunction have shown that behavioral improvement including learning and spatial memory functions in rodent models of ischemic stroke is accomplished [2, 4, 34, 35]. For example, Yan et al. [35] have reported that treatment with dimethyl fumarate (an FDA-approved therapeutic for multiple sclerosis) to rats with chronic cerebral hypoperfusion injury can improve cognitive impairment possibly via alleviating oxidative stress damage and neuroinflammation, and inhibiting ferroptosis of neurons in the hippocampus. Our present findings in the PAT and BMT showed that therapeutic treatment with BF-7® containing alanine and tryptophan (24% and 8%, respectively) as major ingredients apparently improved the impairment of learning and spatial memory functions following tFI/R. When we observed the hippocampus using CV staining, NeuN immunohistochemistry and FJB histofluorescence, pyramidal neurons (as principal cells) located in the hippocampus of the tFI/R group died in the CA1 field alone; pyramidal neurons of the CA2/3 field survived. In the tFI/R+ BF-7® group, the administration of BF-7® failed to reserve CA1 pyramidal neurons. In contrast, it has been demonstrated that pretreatment with BF-7® before tFI/R in gerbils confers neuroprotective effect (survival of CA1 pyramidal neurons) against tFI/R [20]. It is considered that the difference in neuroprotective consequence against tFI/R is attributed to the time of BF-7® administration (pretreatment or posttreatment). Furthermore, it is very important to select the time (immediately or late) of therapeutic drug administration after ischemia and reperfusion. In our current study, we administrated BF-7® for 25 days from 5 days after tFI/R when the CA1 pyramidal neuronal death could not be had already occurred.
In this study, MBP-structures (as myelin sheath) were significantly reduced in the tFI/R+vehicle group, but, in the tFI/R+ BF-7® group, MBP-structures were significantly increased when compared with the tFI/R+vehicle group. In addition, BF-7® administration after tFI/R significantly increased the proliferation of Rip-structures (as oligodendrocytes) as compared with the tFI/R+vehicle group. It has been accepted that loss of myelin sheath, which is attributed to diverse pathological processes in the central nervous system, delays axonal conduction and may arrest neurotransmission, passing through the demyelinated segments [36]. Axons lost myelin sheath by injuries undergo remyelination in order to recover neural functions which can be facilitated by newly produced oligodendrocytes [36, 37]. Accumulating experimental data have shown that amelioration of cognitive dysfunctions induced by ischemic insults is attributed to promoted remyelination and proliferation of oligodendrocytes. For instance, administration of quercetin (a flavonoid abundantly contained in various plants) improves cognitive impairment following brain injury induced by cerebral hypoxia-ischemia in neonatal rats through promoting remyelination and proliferation of oligodendrocyte progenitor cells [15]. In addition, it has been reported that treatment with melatonin (a lipophilic hormone secreted from pineal body) after tFI/R in gerbils significantly improves tFI/R-induced cognitive impairment, accompanied by improved remyelination and proliferation of oligodendrocytes [2].
Finally, VAChT (as a cholinergic transporter) and VGLUT-1 (as a glutamatergic synapse) were examined by immunohistochemistry in the tFI/R+vehicle and tFI/R+ BF-7® groups: therapeutic treatment with BF-7® significantly restored VAChT- and VGLUT-1-structures in the CA1 field when compared with the tFI/R+vehicle group. in the hippocampus with ischemic injury. A study has reported that regulating cholinergic and glutamatergic levels in the hippocampus may bring beneficial effects on cognitive dysfunctions induced by ischemic insult in rats [17]. Especially, Sun et al. [38] have shown that treatment with Dl-3-n-butylphthalide (a major ingredient derived from seeds of Apium graveolens (L.)) ameliorates memory function by increase of VAChT in a rat model of vascular dementia. Additionally, it has been reported that treatment with COG-up®, (a combined extract of Erigeron annuus (L.) Pers and Brassica oleracea Var.) improves tFI/R-induced cognitive impairment in gerbils via increasing VGLUT-1 [4].
The results of behavioral tests obviously showed that tFI/R-induced learning and spatial memory impairment was apparently improved by therapeutic treatment with BF-7® after tFI/R. However, therapeutic treatment with BF-7® did not protect or alleviate tFI/R-induced death of hippocampal CA1 neurons. Instead, our current findings revealed that treatment with BF-7® promoted remyelination and proliferation of oligodendrocytes. Moreover, treatment with BF-7® increased glutamatergic and cholinergic neurotransmissions. Based on the present results, we strongly suggest that BF-7® can be utilized for improving cognitive impairment following ischemia and reperfusion injury or ischemic stroke, as an additive for medicines and health/functional foods, promising that it can eventually contribute to improving national health.
The data presented in this study are available on request from the corresponding authors.
T-KL, J-WL, DWK and J-CL conducted experiments and data analysis. S-SK, J-DK, SH, SYC and YHK performed data curation and validation. T-KL and S-SK wrote the manuscript (original draft). M-HW wrote the manuscript (review and editing). M-HW and YHK supervised and administrated the project. S-SK, J-DK and SYC carried out funding acquisition.
All experimental processes using the animals adhered to the guidelines described in the “Current International Laws and Policies” a part of the “Guide for the Care and Use of Laboratory Animals”. Approval for the experimental protocols was sanctioned (approval no., KW-200113-1; approval date, 18th Feb. 2020) by Institutional Animal Care and Use Committee (IACUC) of Kangwon National University (Chuncheon, Republic of Korea).
Not applicable.
This work was supported by the Technology development Program (S3212784) funded by the Ministry of SMEs and Startups (MSS, Korea), and by Basic Science Research Program through the National Research Foundation (NRF) of Korea funded by the Ministry of Education (NRF-2020R1F1A1062633 and NRF-2019R1A6A1A11036849).
For declaring the conflict of interest, I inform that all authors of the present study have made a partnership with Famenity Co., Ltd., which produced the BF-7® used in this study.






