1 Dobney Hypertension Centre, School of Biomedical Science – Royal Perth Hospital Unit, University of Western Australia, 6009 Crawley, WA, Australia
2 Department of Molecular Ophthalmology, University of Western Australia, 6009 Crawley, WA, Australia
3 Dobney Hypertension Centre, School of Medicine – Royal Perth Hospital Unit, University of Western Australia, 6009 Crawley, WA, Australia
4 Department of Cardiology, Royal Perth Hospital, 6000 Perth, WA, Australia
5 Department of Nephrology, Royal Perth Hospital, 6000 Perth, WA, Australia
†These authors contributed equally.
‡These authors contributed equally.
Academic Editor: Riccardo Nevola
Abstract
Background: Diabetic retinopathy (DR) is a major cause of blindness globally. Sodium Glucose Cotransporter-2 (SGLT2) inhibitors have been demonstrated to exert cardiorenal protection in patients with diabetes. However, their potential beneficial effect on DR is less well studied. The aim of the present study was to determine the effects of the SGLT2 inhibition with Dapagliflozin (DAPA) on DR in well-characterised DR mouse models and controls. Methods: Dapagliflozin was administered to mice with and without diabetes for 8 weeks via their drinking water at 25 mg/kg/day. Urine glucose levels were measured weekly and their response to glucose was tested at week 7. After 8 weeks of treatment, eye tissue was harvested under terminal anaesthesia. The retinal vasculature and neural structure were assessed using immunofluorescence, immunohistochemistry and electron microscopy techniques. Results: Dapagliflozin treated DR mice exhibited metabolic benefits reflected by healthy body weight gain and pronounced glucose tolerance. Dapagliflozin reduced the development of retinal microvascular and neural abnormalities, increased the beneficial growth factor FGF21 (Fibroblast Growth Factor 21). We highlight for the first time that SGLT2 inhibition results in the upregulation of SGLT1 protein in the retina and that SGLT1 is significantly increased in the diabetic retina. Conclusions: Blockade of SGLT2 activity with DAPA may reduce retinal microvascular lesions in our novel DR mouse model. In conclusion, our data demonstrates the exciting future potential of SGLT1 and/or SGLT2 inhibition as a therapeutic for DR.
Keywords
- diabetic retinopathy
- diabetes
- Akimba
- mouse models
- sodium glucose cotransporters
- SGLT2 inhibitors
- SGLT1
- Dapagliflozin
- Sotagliflozin
- retinal vasculature
Diabetes mellitus is a chronic metabolic disease characterised by hyperglycemia that accounts for 9.9% of the all-cause mortality worldwide, with approximately five million deaths attributable to diabetes mellitus in 2017 alone [1]. The impact of diabetes mellitus on quality of life is amplified by macrovascular and particularly microvascular complications associated with the disease. The most common complications in diabetes mellitus is diabetic retinopathy (DR) which is the leading cause of preventable vision loss in working-age adults [2]. Clinically, DR has two principal stages [3, 4]. The initial non-proliferative DR (NPDR) phase is characterised by retinal microvascular changes such as pericyte loss, basement membrane thickening, formation of microaneurysms and intraretinal microvascular abnormalities. The more serious proliferative DR (PDR) stage is characterised by the development of new blood vessels (neovascularisation) on the surface of the retina. This in turn leads to fibrovascular changes and tractional retinal detachment, a common cause of associated blindness [5]. Persistent hyperglycemia, hypertension, microalbuminuria and renal disease are all risk factors associated with the development of DR [6, 7, 8]. The two major pillars of DR treatment are anti-angiogenic agents and laser photocoagulation. However, with the transient effects of the anti-angiogenic agents and their inefficacy in a third of patients, alongside the detrimental side effects of mild vision loss and reduced night vision with laser therapy [5], it is necessary to develop more effective therapies and identify novel therapeutic targets for DR. New therapeutic approaches that adopt a holistic view for the treatment of DR beyond regulating glucose homeostasis are warranted.
The entry of glucose into cells is regulated by facilitative glucose transporters (GLUTs) and sodium-dependent glucose cotransporters (SGLTs). Of SGLTs, SGLT1 and SGLT2 are frequently investigated in a range of disease settings [9], as they play key roles in the transport of glucose and sodium across the brush border membrane of intestinal and renal cells [10]. SGLT2 inhibitors have been developed based on the anti-diabetic action initiated by inhibiting renal glucose reabsorption thereby increasing urinary glucose excretion [11]. As demonstrated by several large-scale clinical trials, SGLT2 inhibitors are now recognised to be capable of altering a range of metabolic and biochemical parameters thereby exerting cardio-renal protection in diabetic and non-diabetic individuals [12, 13].
SGLT1 is mainly responsible for glucose absorption in the small intestine and for reabsorption of the part of the glucose load filtered in the kidney. Therefore, in addition to SGLT2 inhibition, SGLT1 inhibition is considered an additional target to achieve maintenance of good glycaemic control and improvement of renal dysfunction [14, 15]. Interestingly and importantly in the context of DR, expression of SGLT1 and SGLT2 has recently been reported in the eye and the retina by us and others [16, 17, 18]. Given the encouraging findings from clinical studies in regards to SGLT2 inhibitor mediated protection from microvascular disease, specifically in the kidney, it appears plausible that similar benefits may extend to the retinal microvasculature. Relevant investigations are therefore warranted to establish a potential role of this therapeutic approach for DR. Here, we used SGLT2 inhibition in mouse models with retinal and neural damage associated with retinopathy and DR [19, 20, 21].
As model systems, we utilized the Kimba, Akita and Akimba mouse models. The Kimba mouse model (trVEGF029) transiently overexpresses human vascular endothelial growth factor in photoreceptors and demonstrates neovascular changes associated with DR without a hyperglycemic background [22]. These DR associated changes occur at the age of 3–4 weeks postnatally [19, 22]. The Akita (Ins2Akita) mouse is a naturally occurring diabetic model that carries a dominant mutation in the insulin 2 gene. Male heterozygous Akita mice develop hyperglycaemia as early as 4 weeks of age and demonstrate some mild features of DR after 12 weeks of age [20]. By crossing Akita and Kimba mice, the Akimba (Ins2AkitaVEGF+/–) mouse model is generated, which combines the retinopathy features of the Kimba mouse with the hyperglycaemic background of the Akita mouse [21]. The Akimba mouse model displays hallmark retinal microvascular and neural abnormalities representative of human DR including microaneurysms, tortuous vessels, venous beading, vasodilation, capillary non-perfusion, increased retinal vascular leakage, edema, neovascularization, retinal layer alterations and thinning [21, 23, 24, 25]. Some of these features develop in 8 to 9-week-old young Akimba mice (microaneurysms, severe capillary nonperfusion, haemorrhages, vascular leakage and tortuous retinal vessels) [21, 24]. This model is a highly relevant model for the study of retinal vascular disease and in our study, we investigated ~7-week-old animals with the aim of evaluating the effect of DAPA in the prevention or slowing of the development of DR.
Using the Wizard Genomic DNA Purification Kit (catalogue #A1120, Promega, Madison, WI, USA) DNA was isolated from tail clippings. Genotyping of Kimba mice was carried out as described previously [22, 25]. As described by Vagaja et al. [26] Akita mice were genotyped for the Ins2 gene. Akimba mice were genotyped by using protocols for both Kimba and Akita mice.
All experimental and animal handing activities were performed at the Royal Perth Hospital animal holding facility or the Harry Perkins Institute for Medical Research animal holding facility (Perth, Western Australia, Australia) in accordance with the guidelines of institutional Animal Ethics Committee and ARVO statement for the Use of Animals in Ophthalmic and Vision Research. Animal ethics was approved by both the Royal Perth Hospital Animal Ethics Committee (R537/17-20; approved: 15/08/17) and Harry Perkins Institute for Medical Research Animal Ethics Committee (AE141/2019; approved: 12/02/19). Specific pathogen-free ~7-week-old male C57BL6/J, Kimba, Akita and Akimba mice were obtained from the Animal Resources Centre (Perth, Western Australia, Australia).
Mice were housed under a 12-hour light/dark cycle, at 21
In a separate set of experiments, Akimba mice were treated with the SGLT2 inhibitor Empagliflozin (EMPA; catalogue #H-020496, Ark Pharma Scientific Limited, China; 25 mg/kg/day) or vehicle for a period of 8 weeks via drinking water. Drinking water containing the inhibitor or vehicle was freshly prepared and replenished on a weekly basis. At the end of week 8, mice were euthanized and eye tissue was processed for histological analysis of SGLT1 protein expression.
Glucose tolerance testing (GTT) was performed at the end of 7 weeks of treatment after 5 hours of fasting. Blood glucose levels were measured before (0 minutes) and 15, 30, 45, 60 and 90 minutes after intraperitoneal administration of 25% glucose solution at 1 g/kg body weight. All GTT test results higher than 33.3 mmol/L could not be determined due to glucometer limitations and were plotted as 33.3 mmol/L.
At the end of the experiment, mice were fasted for 5 hours with free access to treatment water. Animals were deeply anesthetized using isoflurane inhalation. Blood samples were collected using cardiac puncture and placed on ice immediately. Fasting blood glucose was measured using the Accu-Chek Performa blood glucose monitoring system (product ID: 2581627, Roche Diagnostics, North Ryde, Australia). Blood samples were centrifuged, serum collected and stored at –80 °C. Eyes were enucleated and cleaned to remove all muscle and connective tissue. The right eye was collected into 10% buffered paraformaldehyde for histology while the left eye was fixed in ice-cold 10% buffered paraformaldehyde for 2 hours at 4 °C in preparation for retinal vascular assessment. The optic nerve tissue was collected into glutaraldehyde and was processed to obtain semi-thin transverse sections for electron microscopy.
Retinal flat mounts were prepared and analyzed with modification to a previously
published method [27]. In brief, fully dissected retinas from the left eye were
washed twice in 1
Enucleated eyes were fixed in 4% paraformaldehyde for 24 hours, placed in 70%
ethanol overnight, followed by wax embedding and collection of 5
For GFAP immunohistochemistry, 5
Retinal whole-mounts were imaged from the vitreous side using the inverted
fluorescent microscopic system Nikon Eclipse Ti (Nikon, Tokyo, Japan) with a
digital camera CoolSNAP HQ2 (Photometrics, Tucson, AZ, USA) linked to a computer
running the image analysis software ‘NIS-Elements Advanced Research’ V4.0 (Nikon,
Tokyo, Japan). Overlapping high-resolution images of the entire retinas were
captured using the 4
Brightfield imaging of retinal sections stained with H&E, SGLT1 or GFAP were conducted using the microscopic system Nikon Eclipse Ti (Nikon, Tokyo, Japan) with a digital camera CoolSNAP HQ2 (Photometrics, Tucson, AZ, USA) linked to a computer running the image analysis software ‘NIS-Elements Advanced Research’ (Nikon, Tokyo, Japan).
H&E-stained retinal sections were scanned for overall gross anatomy followed by
morphometric analysis. Morphometric measurements included counting the cells in
the ganglion cell layer. Retinal ganglion cells were quantified by counting
ganglion cells in a 100
Retinal sections were screened for GFAP expression in Müller cells across the length of each retinal section. Müller cell projections spanning beyond the ganglion cell layer were considered for Müller cell gliosis. Each retinal section was screened in the mid retinal region in a linear manner. At least two retinal sections per eye was assessed.
The mean SGLT1 staining intensity score of stained retinal sections was calculated in counterstained retinal tissue. The SGLT1 staining intensity for each mouse retina was scored on a scale of 0–3 (0 = no staining; 1 = low; 2 = intermediate; 3 = high).
Left and right optic nerves from Akimba mice were processed for ultrastructural studies. Tissues were initially fixed in 2.5% glutaraldehyde at room temperature for 24 hours and then rinsed in cacodylate buffer. Optic nerve preparations were post-fixed in 1% osmium tetroxide, dehydrated through graded Alcohols and Propylene Oxide and infiltrated with epoxy resin on a Lynx tissue processor. Semi-thin sections were obtained and stained with toluidine blue for screening regions of the tissue block face to obtain ultra-thin sections of optic nerve tissue. Ultra-thin sections were obtained at 100 nm and stained with uranyl acetate and Reynold’s Lead citrate. Sections were imaged using a JEOL 1200EX Transmission Electron Microscope at 120 kV (JEOL, Tokyo, Japan). A series of images were obtained from the outer edge and from the middle of the cross sectioned optic nerve tissue representing the ‘outer’ and ‘inner’ regions, respectively. The frequency of axons with structural anomalies such as interrupted axonal flow, accumulation of mitochondria, dense tubular lamellae and multi vesicular bodies was assessed in axonal profiles.
Serum was analyzed for Fibroblast Growth Factor 21 (FGF21) using the Duoset human FGF21 enzyme-linked immunosorbent assay (ELISA) kit (Cat# DY2539, R&D systems, Inc., Minneapolis, MN, USA) according to the manufacturer’s respective instructions.
All morphometric data were analyzed using two-tailed Student’s t-test
and p
Both C57BL/6 (WT) and Kimba models lack the hyperglycemic background and hence
acts as an internal control for the effectiveness of the SGLT2 inhibitor DAPA
used in this study. Prior to treatment, urine glucose testing via dipstick method
showed 0 mmol/L glucose in both C57Bl/6 and Kimba strains and
Fig. 1.SGLT2 inhibition with DAPA promotes glucosuria in non-diabetic
wild-type C57BL/6 and Kimba mice. Representative image of glucose levels in the
urine in (A) wild-type C57BL/6 and (B) Kimba mice treated with vehicle or DAPA
(25 mg/kg); Blue = 0 mmol/L glucose, Dark brown
Over the 8 weeks of treatment, non-diabetic C57BL/6 (WT) and Kimba mice gained weight at similar rates irrespective of treatment (Fig. 2A,C). Diabetic Akita and Akimba mice typically show poor weight gain, a hallmark of the failure to thrive phenotype in these animals. At the end of 8 weeks of treatment both Akita and Akimba mice receiving DAPA exhibited significantly increased body weight gain when compared to their counterparts receiving vehicle (Fig. 2B,D).
Fig. 2.Effect of SGLT2 inhibition on body weight in
non-diabetic and diabetic mice treated with DAPA. Graphs show the normalized
body weight percentage during 8 weeks of treatment with DAPA or vehicle in (A)
wild-type C57BL/6, (B) Akita, (C) Kimba and (D) Akimba mice. *p
Following 8 weeks of treatment, there was no difference in the fasting blood
glucose levels of C57BL/6 mice (WT) receiving either vehicle (14.4
Fig. 3.Effect of SGLT2 inhibition on blood glucose in non-diabetic and
diabetic mice treated with DAPA. Graphs show fasting blood glucose levels after
8 weeks of treatment with DAPA or vehicle in (A) wild-type C57BL/6, (B) Akita,
(C) Kimba and (D) Akimba mice. *p
As shown in Fig. 4, a GTT was performed to evaluate glucose tolerance 7 weeks after DAPA treatment. When compared to Kimba mice treated with vehicle, treatment with DAPA significantly decreased average blood glucose levels 30 minutes after glucose challenge (Fig. 4A). This significant decrease continued up to 90 minutes after glucose challenge. However, in Akimba mice treated with DAPA, the average blood glucose levels were significantly lower prior to glucose challenge (0 minutes) and continued to be lower than vehicle treated mice during the course of 90 minutes after glucose challenge (Fig. 4B).
Fig. 4.SGLT2 inhibition with DAPA reduced glucose intolerance in
diabetic Akimba mice. Blood glucose was measured at 0, 15, 45, 60, and 90
minutes after glucose challenge in (A) non-diabetic Kimba and (B) diabetic Akimba
mice. *p
Upon fluorescent microscopic examination, there were no discernable differences
in the retinal vasculature of vehicle or DAPA treated C57BL/6J (WT) and Akita
mice (Supplementary Fig. 1). Furthermore, retinal vascular abnormalities
such as capillary dropouts or microaneurysms indicative of diabetic retinopathy
were absent in both groups of diabetic Akita mice (Supplementary Fig.
1C,D). In both models with retinopathy (Kimba) and DR (Akimba), the development
of retinal vascular lesions was evident as previously published [16, 21, 22, 23, 25].
Therefore, the number of vascular lesions were counted in Kimba and Akimba mice
to determine the effect of SGLT2 inhibition on the retinal vascular features.
There was no appreciable difference between the number of lesions in Kimba mice
receiving DAPA (32.3
Fig. 5.Treatment with DAPA reduced retinal microvascular
lesions in diabetic Akimba mice. Representative areas of isolectin-B4 and Cy-3
stained vasculature from (A) Kimba and (B) Akimba mice treated with vehicle or
DAPA. Quantification of retinal vascular lesions in (C) Kimba and (D) Akimba mice
treated with vehicle versus DAPA. A reduced numbers of retinal microvascular
lesions (yellow arrows) were observed in (D) Akimba mice treated with
DAPA when compared to vehicle treated mice. *p
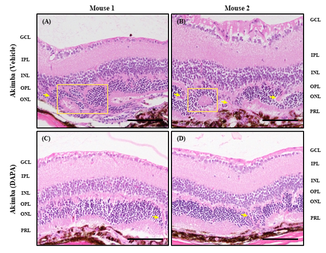
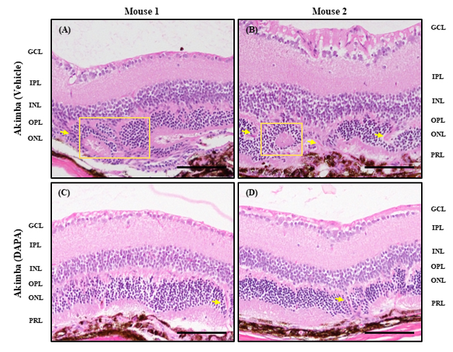
The complex pathology of DR affects both vascular and neural tissue. The characteristics of neurodegeneration are well-described in animal models of DR [28]. We examined the neural retina in each group by H&E staining and observed that in vehicle treated Akimba mice (Fig. 6A,B), retinal cells appeared disorganised, intercellular space increased and retinal capillaries often penetrated the generally avascular outer retinal layers (Fig. 6A,B: yellow arrows). In particular, rosette formations (Fig. 6A,B: yellow boxes) was noted in 40% of the vehicle treated mice. In contrast, DAPA treatment preserved the well-structured, intact and tightly arranged manner of plexiform and nuclear layers and minimised abnormal blood vessel transgression which causes damage to the outer layers of the retina (Fig. 6C,D).
Fig. 6.Treatment with DAPA improved retinal neural damage in diabetic
Akimba mice. Light micrographs of H&E stained retinal sections of Akimba mice
treated with vehicle (A,B) or DAPA (C,D). Akimba mice treated with vehicle
showing increased number of blood vessels transgressing the normally blood
vessel-free photoreceptor cell layers (A–D; yellow arrows) and rosette
formation (A,B; yellow boxes). Treatment with DAPA reduced retinal
neural damage (C,D). n = 3–4 mice per group. GCL, ganglion cell layer; IPL,
inner plexiform layer; INL, inner nuclear layer; OPL, outer plexiform layer; ONL,
outer nuclear layer; PRL, photo receptor layer. Scale bar: 50
Neurodegeneration characterised by loss of neural cell populations accompanying
thinning and alterations of retinal layers are well documented [29]. Measurements
of mid-retinal thickness in non-diabetic C57B6/J (Wild-Type; WT) and diabetic
Akimba mice treated with vehicle or DAPA are shown in Fig. 7. Overall, the
retinal thickness in WT mice with or without SGLT2 inhibitor treatment appeared
normal (Fig. 7A) and did not show any significant difference when measured (Fig. 7B). When compared to WT mice, the retinal thickness was significantly reduced in
diabetic Akimba mice regardless of treatment (WT vs Akimba (Vehicle) Full retina,
INL (inner nuclear layer), ONL (outer nuclear layer); *p
Fig. 7.Treatment with DAPA preserved retinal nuclear layers in diabetic
Akimba mice. Thickness of the total retina, outer nuclear layer and inner
nuclear layer was performed in the mid retina of non-diabetic C57B6/J WT (A,B)
and diabetic Akimba mice (C,D) treated with Vehicle or DAPA. *p
Gliosis of Müller cells can be present in various retinal pathologies and is a distinct feature of DR [30]. Reactive Müller cells are characterised by the expression of GFAP in the fine projections of Müller cells spanning across the neural retina indicating the gliosis process [31]. In vehicle treated Akimba mice, radial Müller cell projections indicating gliosis of Müller cells were noted (Fig. 8A,B; black closed-arrows), while the GFAP expression in DAPA treated mice were limited to astrocytes and the endfeet of Müller cells (Fig. 8C and D; black open-arrows) located in the NFL and GCL.
Fig. 8.Müller cell gliosis in the mid-retinal region was reduced
with DAPA treatment in Akimba mice. Paraffin sections were stained for GFAP
expression and visualised in the Müller cell projections spanning across
retinal layers in the mid-retinal region. Vehicle treated Akimba mice (A,B)
showed Müller cell gliosis (black closed-arrows) while DAPA treated
mice (C,D) showed GFAP expression confined to astrocytes and
Müller cell end-feet (black open-arrows). Data represented from n =
5 mice per group. DAPA, Dapagliflozin; NFL, Nerve fiber layer; GCL, ganglion cell
layer; INL, inner nuclear layer and ONL, outer nuclear layer. Scale bar: 100
Transmission electron microscopic analysis of Akimba optic nerves showed myelinated fibers forming axonal bundles. The axoplasms of the fibers were light and contained mitochondria, microtubules, and neurofilaments. In both inner and outer optic nerve regions, DAPA treated mice (Fig. 9B,D) showed more compact bundles of myelinated fibres when compared to vehicle treated mice (Fig. 9A,C). Furthermore, thinly myelinated fibers, nude axons and collapsed myelin sheaths were observed more frequently in Akimba mice receiving the vehicle compared to Akimba mice receiving DAPA. Overall, DAPA treatment resulted in a more stable architecture of the optic nerve.
Fig. 9.Treatment with DAPA improved optic neuropathy in diabetic Akimba
mice. Transmission electron microscopy of the inner (A,B) and outer (C,D)
regions of the optic nerve of Akimba mice treated with vehicle (A,C) or DAPA
(B,D) for 8 weeks. Key features; thinly myelinated fibers (blue arrows)
and nude axons (red arrows). Scale bar 1
Diabetic Akita mice (Fig. 10A) treated with DAPA (59.8
Fig. 10.Treatment with DAPA increased the beneficial growth factor
FGF21 in diabetic Akita and Akimba mice. Graphs show FGF21 levels after 8 weeks
of treatment with DAPA or vehicle in (A) Akita and (B) Akimba
mice. *p
Our recent studies show that diabetic Akimba mice have increased SGLT2 expression in the eye compared to non-diabetic Kimba mice [16]. The SGLT family member, SGLT1, is an integral membrane protein responsible for the mechanism of active glucose transport and it may be expressed in the eye/retina [17, 32]. We then asked the question whether SGLT2 inhibition may result in SGLT1 upregulation to act as a compensatory mechanism. Interestingly, when compared to vehicle treated mice (Fig. 11A,B), inhibition of SGLT2 with either EMPA (Fig. 11C,E) or DAPA (Fig. 11D,F) increased SGLT1 in the retinas of diabetic Akimba mice. The overall SGLT1 expression was confined to the plexiform layers of the retina. It was consistently observed that the increased intensity of SGLT1 in the EMPA (Fig. 11C) and DAPA (Fig. 11D) treated groups were mainly limited to the inner and outer plexiform layers where the neuronal synaptic contacts occur in the retina.
Fig. 11.SGLT2 inhibition promoted over expression of SGLT1 protein
levels in the retinas of diabetic Akimba mice. Light micrographs of SGLT1
stained retinal sections of (A,B) Akimba vehicle, (C) Akimba EMPA and (D) Akimba
DAPA treated mice. Graphs show SGLT1 levels after 8 weeks of treatment in Akimba
mice with vehicle versus (E) EMPA or (F) DAPA mice. *p
Using a novel immunohistochemistry method, we have demonstrated for the first time that SGLT1 protein levels are significantly increased in the retinas of diabetic Akimba mice (Fig. 12B,C) when compared to non-diabetic Kimba mice (Fig. 12A,C). When compared to non-diabetic Kimba mice, the diabetic Akimba mice displayed increased SGLT1 expression which was confined to the nerve fiber, inner plexiform, outer plexiform and photoreceptor layers (Fig. 12B). This phenomenon appears to not only be confined to the retina. When compared to C57BL/6J (WT) mice, type 1 diabetic Akita mice also showed increased SGLT1 expression in pancreatic islet cells (Fig. 13).
Fig. 12.Diabetic retinopathy promotes retinal SGLT1 protein expression
in diabetic Akimba mice. Light micrographs of SGLT1 stained retinal sections of
(A) non-diabetic Kimba and (B) diabetic Akimba mice treated
with vehicle. (C) Graph shows SGLT1 levels after 8 weeks of vehicle treatment in
Kimba vs Akimba mice. ***p
Fig. 13.Increased SGLT1 expression in the pancreata of diabetic Akita
mice. (A) Quantitation of SGLT1 positive islet cells; intensity scale (0 = no
staining; 1 = low staining; 2 = intermediate staining; 3 = high intensity).
Representative image of (B) SGLT1immunohistochemistry in the islet cells of
diabetic Akita mice (red arrows: brown SGLT1 positive cells).
***p
Given that SGLT2 inhibition results in SGLT1 upregulation, we sought to assess the effect of dual SGLT1 and 2 inhibition on SGLT1 expression with Sotgliflozin (SOTAG) in diabetic Akimba mice. Interestingly, when compared to vehicle treated Akimba mice (Fig. 14A), SOTAG treated mice showed a significant increase in the SGLT1 protein level (Fig. 14B,C). The increased SGLT1 protein expression in SOTAG treated Akimba mice was predominantly observed in the inner plexiform layer (Fig. 14B).
Fig. 14.Dual inhibition of SGLT1 and 2 with SOTAG upregulates SGLT1
protein levels in the retinas of diabetic Akimba mice. Light micrographs of
SGLT1 stained retinal sections of (A) Akimba Vehicle and (B) Akimba
SOTAG treated mice. (C) Graph shows SGLT1 levels after 8 weeks of treatment in
Akimba mice with vehicle versus SOTAG. *p
Diabetes is one of the fastest growing chronic metabolic diseases globally and the leading cause of preventable blindness. As such, therapies effectively tackling underlying cardiovascular and renal complications and the related ophthalmic conditions like DR are urgently required. There have been studies conducted on the effect of SGLT2 inhibitors such as EMPA [33] and Ipragliflozin [34] for the treatment of DR in diabetic rodents. However, there is limited data from either animal models or clinical trials regarding the effects of SGLT2 inhibition on DR in type 1 diabetes [16]. In addition to our findings, a single study [35] has reported the protective effects of the SGLT2 inhibitor DAPA on DR in the setting of type 1 diabetes. Interestingly, our group is the first to uncover DAPA mediated reductions in retinal microvascular lesions in type 1 diabetic mice.
As expected, the normalized weight gain of non-diabetic WT and Kimba mice were similar in both DAPA and vehicle treated groups. The failure to thrive phenotype indicated by poor weight gain is a hallmark feature of uncontrolled type 1 diabetes in mice [20, 36, 37, 38]. The significant weight loss and muscle waste is possibly due to catabolic effects (accelerated protein catabolism and diminished protein synthesis) of insulin deficiency, as well as volume depletion associated with the osmotic diuresis in type 1 diabetes [36]. This may have a significant impact on subsequent survival of animals in long-term studies. Interestingly, this was circumvented with DAPA, where both diabetic Akita and Akimba mice with DAPA treatment exhibited an increase in weight gain post 3 weeks of treatment when compared to vehicle treated mice. Therefore, it is promising that DAPA prevents the weight loss associated with type 1 diabetes (Fig. 2). Furthermore, all mice exhibited normal behavior and showed no weight loss due to SGLT2 inhibition suggesting that SGLT2 inhibition does not promote detrimental side effects. Interestingly, we have previously shown that SGLT2 inhibition promotes sympathoinhibition in type 1 diabetic mice and as mice treated with DAPA do not lose weight, this indicates that sympathoinhibition is not associated to weight changes [39].
Similar to other SGLT2 inhibitor studies conducted in type 1 diabetic mice [40, 41] the glucose-lowering effects of DAPA treatment was evident by the significant reduction in fasting blood glucose levels in both Akita and Akimba (DAPA) mice in comparison to their vehicle treated counterparts (Fig. 3). It is clear from studies by Han et al. [42] that DAPA reduces glucose levels by being markedly more active at inhibiting SGLT2 compared to SGLT1. In fact, DAPA is 207 time more potent at reducing SGLT2 compared to SGLT1.
A large number of clinical studies have reported that DAPA and a range of other SGLT2 inhibitors, reduce the risk of major adverse cardiovascular events and prevent the progression of kidney diseases [43], suggesting that SGLT2 inhibition may exert beneficial effects on both macro- and micro-vascular complications in diabetic patients. A recent study showed that the treatment of type 2 diabetic patients with SGLT2 inhibitors EMPA or DAPA slowed the progression of DR in comparison with sulfonylurea, which occurs independently of its effect on glycemic control [44]. In addition, SGLT2 inhibitors might be associated with lowering the risk of DR compared with DPP4 inhibitors [45].
As characterised previously [21], the Akimba mouse showed characteristic retinopathic changes which were associated with the retinal vasculature and the neural structure. Our investigations further add to the growing body of evidence associated with the beneficial role of SGLT2 inhibitors by demonstrating the protective effect of DAPA on retinal vascular and neural architecture (Figs. 5,6,7,8). In diabetic rats, treatment with DAPA reduced retinal capillary dilation, arteriole remodelling, retinal hypertrophy and ganglion cell degradation [46]. A separate study in diabetic rats showed ipragliflozin prevented irregularity of the retinal outer nuclear layer [34]. In addition, it has been shown that the SGLT2 inhibitor EMPA significantly attenuated early manifestations of non-proliferative DR, such as retinal microaneurysms and showed relatively normal overall retinal thickness in db/db mice. However, the nerve fiber and ganglion cell layers were disorganized in these animals [33]. Furthermore, in diabetic db/db mice, DAPA effectively reduced the formation of acellular capillaries and improved the electroretinogram response [47]. Hu et al. [35] demonstrated in STZ-induced diabetic mice that DAPA treatment improved the thickness of the inner nuclear and outer nuclear layers of the neural retina by reducing apoptosis. Our findings demonstrate that DAPA played a similar role in reducing DR associated early retinal microvascular lesions (Fig. 5), decreased morphological modifications occurring in the outer neural layers (Fig. 6) and preserved the overall retinal thickness (Fig. 7). As shown by many studies using SGLT2 inhibitors [33, 34, 45, 46, 47, 48, 49], the DR associated protective effects of DAPA in Akimba mice is potentially mediated by the improvement in long-term glycaemic control (8 weeks). However, recent studies have shown DAPA induced reductions in oxidative stress [46] and inflammation [46, 47] improved retinal vascular and neural pathology in DR. Therefore, future studies should be carried out in the Akimba model to establish the role of oxidative stress and inflammation mitigated by SGLT2 inhibition.
Another classical feature of retinal neurodegeneration is glial activation. We have shown that administration of DAPA decreased glial activation indicated by reduced GFAP expression in the Akimba mouse retina (Fig. 8). Comparable to our findings, Hanaguri et al. [48] showed that tofogliflozin treatment also prevented Müller cell gliosis. Hyperglycaemia induced retinal hyperoxia is a well-established mechanism of retinal Müller cell activation. Furthermore, Müller cell activation can dysregulate retinal blood flow, compromise retinal barrier function and initiate deleterious inflammatory process with the release of proinflammatory cytokines. The beneficial effect of SGLT2 inhibition on retinal glial cells may potentially lead to the recovery of the diabetes-induced retinal damage via improved glycaemic control and inflammation [33, 48]. Taken together, large-scale prospective clinical studies are warranted to examine the effect of SGLT2 inhibition on the prevention of development and progression of DR.
Fibroblast Growth Factor 21 (FGF21) is a major metabolic regulator which has
been shown to be elevated in various metabolic disturbances including type 2
diabetes and metabolic syndrome [50]. The rise in circulating FGF21 levels in
type 2 diabetes and obese patients is due to its compensatory and protective role
[50, 51]. FGF21 has been studied extensively in diabetes and obesity and has been
shown to decrease blood glucose and plasma insulin levels, as well as improving
the lipid profile, which signifies its potential in treating type 2 diabetes.
FGF21 has also been shown to act in an autocrine manner in order to protect the
quality and function of the pancreatic
A burning question for the field is whether SGLT2 inhibition promotes compensatory SGLT1 upregulation [58]. To the best of our knowledge, a single study suggests that SGLT1 activity is increased with SGLT2 inhibition. According to Rieg et al. [59], during SGLT2 inhibition, the glucose load to the SGLT1-expressing S2/S3 segments of the proximal tubule is enhanced and a compensatory increase in SGLT1 mediated transport occurs. In our current study, we showed that both DAPA and EMPA promoted an upregulation of SGLT1 protein in the retina of diabetic Akimba mice (Fig. 11). Interestingly, EMPA promoted the largest SGLT1 elevation. It is critical for further studies to be conducted to substantiate these findings and to explore whether combined SGLT1 and 2 inhibition may be even more beneficial both in terms of achieving glucose control and providing protection from microvascular damage.
In this context, our study is highly novel as we are the first to show that dual SGLT1 and 2 inhibition with SOTAG significantly increased SGLT1 expression in the diabetic retina (Fig. 14). Together with our demonstration of elevated retinal expression of SGLT1 in the type 1 diabetic Akimba mice compared to their non-diabetic parental Kimba mice (Fig. 12) it is pertinent to consider sole SGLT1 therapy in the future for the prevention or reduction of the severity of DR.
In conclusion, our study is the first to show that DAPA administered to type 1 diabetic Akimba mice not only increases beneficial FGF21 levels but also improves retinal structure and reduces the number of microvasculature lesions. Further research is needed to determine how the dual SGLT1 and 2 inhibitor SOTAG affects retinal health.
The datasets used and/or analyzed during the current study are available from the corresponding author on reasonable request.
Conceptualization—LYH, VBM, MPS and EPR; formal analysis—LYH, JRM, WEO and VBM; funding acquisition—LYH, VBM and MPS; investigation—LYH, JRM, WEO, VBM and MPS; writing-original draft—LYH, JRM and VBM; writing-review and editing—LYH, JRM, WEO, MPS, EPR and VBM. All authors have read and agreed to the published version of the manuscript.
Animal ethics was approved by both the Royal Perth Hospital Animal Ethics Committee (R537/17-20; approved: 15/08/17) and Harry Perkins Institute for Medical Research Animal Ethics Committee (AE141/2019; approved: 12/02/19).
We thank Dr. Aaron Magno (University of Western Australia, Western Australia) and Ms. Moira Hibbs (Research Centre, Royal Perth Hospital, Western Australia) for technical assistance. Authors thank Animal Resources Centre (Murdoch, Western Australia) and the Bioresources, Harry Perkins Institute of Medical Research (Nedlands, Western Australia) for providing animal care services. We also thank Dr. Anmol Rijhumal, Mr. Bob Mirzai and Mr. Terry Kop (Anatomical Pathology, PathWest Laboratory Medicine, Fiona Stanley Hospital, Murdoch, Western Australia) for assisting with GFAP immunohistochemistry.
This study was funded by the Royal Perth Hospital-Research Foundation WA (VM2018), Diabetes Australia Research Program (Y20G-MATV), Diabetes Research WA (DRWA-LHerat-2020) and Raine Medical Research Foundation, WA (Raine-LHerat-2020).
The authors declare no conflict of interest.
Supplementary material associated with this article can be found, in the online version, at https://doi.org/10.31083/j.fbl2712321.














