- Academic Editors
-
-
-
Continuous advancements in comprehensive tumor treatment strategies have significantly improved survival rates of patients. The ovary is a crucial organ essential for maintaining women’s quality of life and fertility. Safeguarding ovarian function during radiotherapy for cervical cancer has become a prominent focus of current clinical research. The aim of this study is to explore the key factors involved in ovarian protection during radiotherapy for cervical cancer.
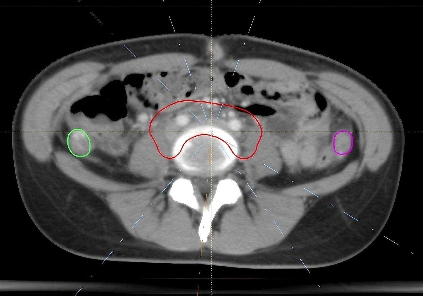
This study involved a comprehensive analysis of literature from 2015 to 2024 on ovarian function preservation during radiotherapy for cervical cancer, to identify technical trends. Additionally, patient data from Zhejiang Cancer Hospital from 2011 to 2018 was collected, focusing on patients who underwent radiotherapy to preserve ovarian function. Specifically, data from 10 patients with IA–IIB stage cervical cancer who underwent bilateral ovarian transposition (OT) and radiotherapy at our hospital between 2016 and 2018 was analyzed. Intensity-modulated radiation therapy (IMRT), volumetric modulated arc therapy (VMAT), and helical tomotherapy (HT) radiotherapy plans will be design for these patients to evaluate strategies for optimal ovarian protection. The optimal radiotherapy plan was determined through comparisons of dosimetric parameters.
(1) A literature review indicated that only 24 detailed reports on ovarian protection during cervical cancer radiotherapy have been published in the past 10 years. It has been established that ovarian protection presents a positive significance for cervical cancer patients, with OT being a necessary condition. Nevertheless, no standardized unified dose limit for ovarian radiation has been established. (2) After screening, a total of 77 patients with complete follow-up data from 2011 to 2018 were selected for the study. Following serum hormone level tests, 73 patients presented normal ovarian function prior to radiotherapy, while 4 demonstrated signs of impaired function. Three months after radiotherapy, 26 patients maintained normal ovarian function, 13 exhibited impaired function, and 38 showed a decline in function. One year later, 45 patients maintained normal ovarian function, 13 had impaired function, and 19 experiences further deteriorated function. The overall success rate amounted to 75.3%, and favorable clinical outcomes were observed. (3) Compared to IMRT and VMAT, HT reduced the maximum dose (Dmax) of the right ovary and demonstrated dosimetric advantages in terms of Dmax of the planning target volume (PTV), as well as in 30 Gy (V30) and 40 Gy (V40) of the bladder, and Dmax of the spinal cord. These differences were statistically significant. Compared with HT, IMRT and VMAT had advantages in the minimum dose (Dmin) of PTV and the mean dose (Dmean) of the left femoral head, and the differences were statistically significant. Compared with VMAT, most dosimetric results of IMRT were similar and the differences were not statistically significant, but IMRT had an advantage in the conformity index (CI) of PTV (p = 0.016).
Following receiving a certain radiation dose, the ovaries may undergo a temporary functional decline or even complete failure. The key to protecting the ovarian function during cervical cancer radiotherapy lies in successful OT, precise delineation of ovarian tissue, determination of dose limits for patients across different age groups, as well as the application of HT and specialized IMRT techniques.


