1 Department for Women’s Health Care, Health Center Raska, 36350 Raska, Serbia
2 Institute of Genetics Faculty of Medical Sciences, University of Kragujevac, 34000 Kragujevac, Serbia
3 Department for Biology and Ecology, Faculty of Science, University of Kragujevac, 34000 Kragujevac, Serbia
4 The Obstetrics and Gynaecology Clinic Narodni Front, 11000 Belgrade, Serbia
5 Clinic for Gynecology and Obstetrics, University Clinical Center of Serbia, 11000 Belgrade, Serbia
6 Department of Pathological-anatomical Diagnostics, University Clinical Center Kragujevac, 34000 Kragujevac, Serbia
7 Department of Obstetrics and Gynecology, Faculty of Medicine, University of Kragujevac, 34000 Kragujevac, Serbia
Abstract
Background: Coatomer protein complex subunit
Keywords
- endometrial carcinoma
- apoptosis
- Bcl-2
- COPB2 (Coatomer protein complex subunit β2)
- quantitative PCR (quantitative polymerase chain reaction/qPCR)
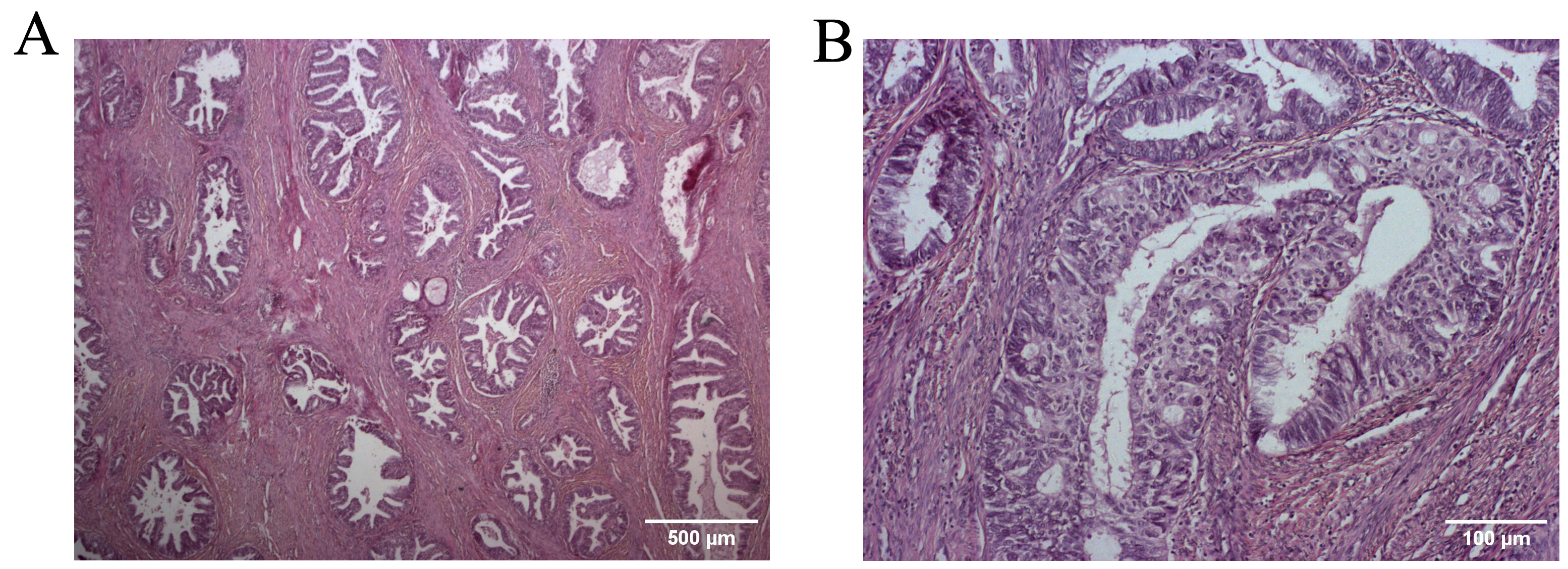
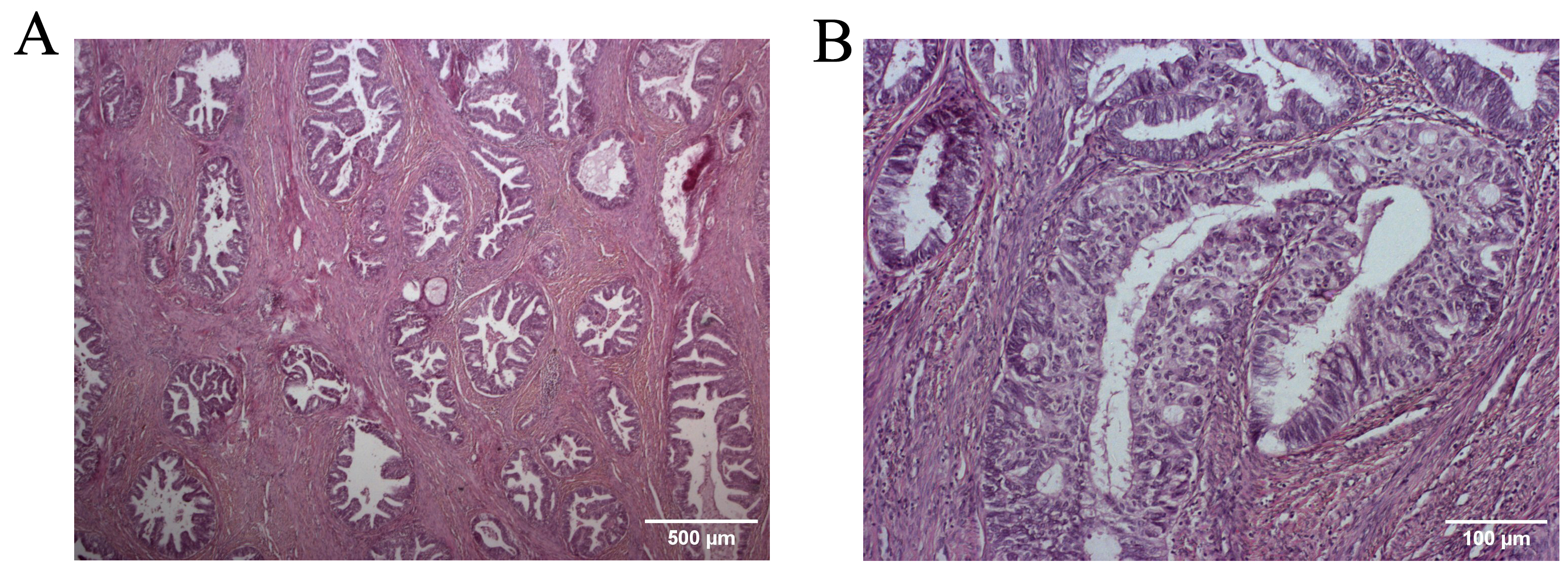
Endometrial carcinoma (EC) is the most common malignant tumor of the female genital organs [1]. In the last year, Europe alone recorded over 130,000 cases of women afflicted by this condition. Roughly 5% of these cases were aged 44 or younger, underscoring the tumor’s prevalent impact on older women [2]. Gynecological examinations are less frequent among women in less developed countries. For this reason, women report only when irregular bleeding or pain in the lower abdomen and back occurs [2]. The diagnosis of EC is made on the basis of pathohistological analysis of tissue obtained after exploratory curettage (Fig. 1A,B).
Fig. 1.
Histological picture of endometrial carcinoma (EC) on
microscopic magnification 25
Treatment success is correlated with stage of the disease, histological grade and type of tumor; accordingly, timely detection of this disease is critical [3]. Toward this end, a transvaginal ultrasound examination and doppler flow are performed [3, 4, 5] (Fig. 2). Other than this method, there currently exists no sufficient screening technique or specific laboratory analysis to establish a diagnosis of endometrial cancer prior to the onset of symptoms.
Fig. 2.Transvaginal ultrasound endometrial carcinoma the International Federation of Gynecology and Obstetrics (FIGO) IA (Dr Branko Andrić, Department for Women’s Health Care, Health Center Raska, Raska). 1Dist: 48.2 mm (distended uterine cavity), 2Dist: 89.1 mm (uterus length), 3Dist: 16.1 mm (carcinoma endometrii), 4Dist: 7.9 mm (carcinoma endometrii).
Numerous cell mechanisms prevent the formation of malignant cells in the body.
In addition to DNA repair mechanisms, apoptosis processes can lead to the
destruction of potentially malignantly altered cells, which are mediated by the
Bcl-2 gene family [6, 7, 8]. Several studies have examined the expression
of the Bcl-2 gene family, showing low expression of the Bcl-2
gene, especially in the initial stages of endometrial cancer [9, 10]. Numerous
intracellular modulators also play an important role. Among them, COPI (Coatomer
protein complex I) participates in the transport of proteins between the
Endoplasmic reticulum and the Golgi apparatus. The main subunit of this complex
is COPB2 (Coatomer protein complex subunit
The research was conducted as a retrospective clinical experimental study from 2019 to 2022 on female patients treated at the Gynecology and Obstetrics Clinic in Clinical Center Kragujevac, Serbia. Tissue sections obtained from exploratory curettage and surgical procedures were collected with patients’ informed consent, following the principles of the Helsinki Declaration and World Health Organization recommendations for human material experiments. The Ethics Committee also granted approval for the study.
Female patients were divided into two groups:
Group I: 40 patients in whom EC was diagnosed as part of the experimental group, and Group II: 20 patients in whom cancer or atypical hyperplasia of the endometrium was excluded histopathologically. The majority of patients with EC were stage I (29 patients), while only 11 were IIA (the International Federation of Gynecology and Obstetrics (FIGO)). Pathohistological examination of lymph nodes did not reveal the presence of metastases in any patient. Inclusion criteria for participation in the study were: signed informed consent of the patient, pathohistological confirmation of EC for the experimental group or normal endometrial tissue for the control group. Exclusion criteria were the existence of other malignant disease in the patient whose treatment was still ongoing, as well as the pathohistological determination of atypical hyperplasia of the endometrial tissue.
We stored the sample (endometrial tissue) in liquid nitrogen under adequate conditions at the Kragujevac Clinical Center, Department for Gynecology and Obstetrics. We examined the expression of the COPB2 and Bcl-2 gene in endometrial tissue cells of these two groups of patients. Genetic processing of the material was carried out at the Faculty of Science in Kragujevac. After thawing the tissue using reverse transcription quantitative PCR (quantitative polymerase chain reaction, qPCR), we determined the expression of the COPB2 and Bcl-2 gene from endometrial tissue cells. For Ribonucleic acid (RNA) isolation, we used RNA Extracol (EURx, Gdansk, Poland) according to the manufacturer’s instructions. The concentration of each sample was measured on a Eppendorf BioPhotometer Plus (Eppendorf, Hamburg, Germany). An absorbance ratio ranging from 260 to 280 nm, falling between 1.8 and 2.0, indicated the presence of pure RNA. Pure RNA samples were stored at –80 °C until the analysis was started [18]. Reverse transcription (RT-PCR) was then performed [19]. The following equipment and materials were used: First Strand cDNA Synthesis Kit (Thermo Scientific, Waltham, MA, USA) according to the manufacturer’s instructions and 1 µL of isolated RNA with a concentration of 1 µg/µL. The Eppendorf Mastercycler gradient PCR apparatus was employed for the experiments. The collected DNA samples were stored at –80 °C. For gene expression analysis, we used the AMPLIFYME SG Universal Mix kit (Blirt, Gdansk, Poland), which we used according to the manufacturer’s instructions to make the reaction mixture. To prepare the reaction mixture, we incorporated a pair of primers and dyes (Rox Low). We used complementary DNA as the starting molecule; 1 µL of complementary DNA was added to the PCR reaction [20]. PCR plates with complementary DNA and reaction mixture were placed in the Applied Biosystems 7500 Fast Real-Time PCR Systems apparatus according to the manufacturer’s instructions. The obtained results were analyzed with the Applied Biosystems 7500 software 2.3 (Thermo Fisher Scientific, Waltham, MA, USA). Relative quantification of COPB2 and Bcl-2 gene expression was obtained in relation to the expression of GAPDH (“housekeeping gene”) in the same sample as the control [21].
Primer sequence used in qPCR was as follows: GAPDH forward
5
Analysis of the normality of data distribution was performed using the Shapiro-Wilk test, given that there were 40 patients in the group with EC and 20 in the control group, or fewer than 50 in both cases. As part of the descriptive statistical analysis, we determined the minimum and maximum value as well as the average value and standard deviation for the variables related to protein and gene expression for all measurements.
Based on the results of the analysis of the normality of the data distribution,
the Mann-Whitney U test was used for the analysis of these variables. Using this
test, we determined that there is a statistically significant difference
(p
| Sample | N | Mean | Std. Deviation | Std. Error Mean | |
| Bcl2 | Carcinoma | 40 | 0.015 | 0.023 | 0.004 |
| Normal | 20 | 0.054 | 0.097 | 0.022 | |
| COPB2 | Carcinoma | 40 | 0.018 | 0.025 | 0.004 |
| Normal | 20 | 0.065 | 0.043 | 0.010 | |
COPB2, Coatomer protein complex subunit
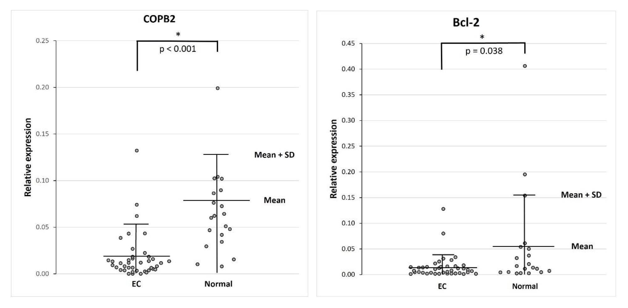
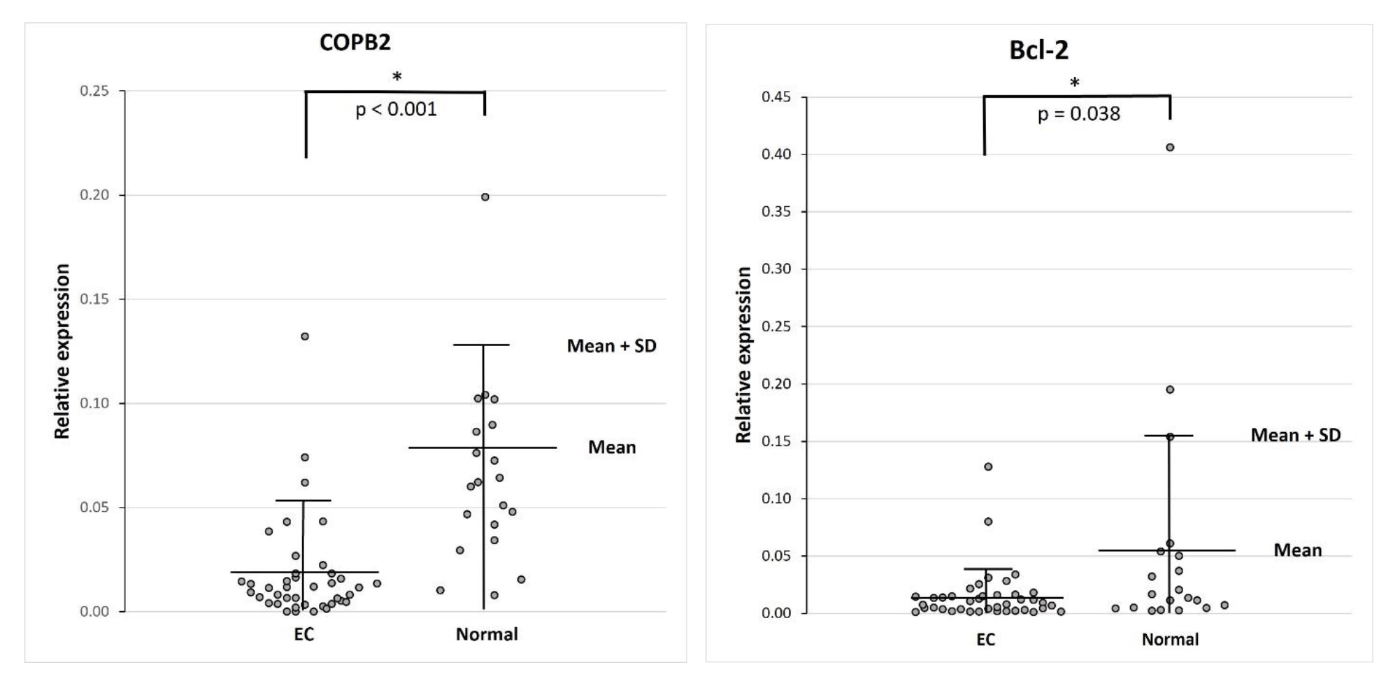
Fig. 3.Scatter plot figures: Relative expression of COPB2 and
Bcl-2 (EC-endometrial cancer, Normal patients without carcinoma).
COPB2, Coatomer protein complex subunit
By analyzing the expression of the COPB2 gene in endometrial tissue (measurement performed in two replicates), we obtained values indicating decreased relative expression of this gene in malignantly altered endometrial cells: COPB2 (0.18). The values obtained in both repetitions in the control group with normal tissue indicated a higher relative expression of COPB2 (0.65). The values we obtained for the relative expression of Bcl-2 were similar: relative expression of Bcl-2 (0.15) in patients with EC and Bcl-2 (0.54) in the control group.
Receiver operating characteristic (ROC) curve was used to test the diagnostic
potential of COPB2 and Bcl-2 gene expression for discrimination
of cancer from noncancer patients. Expression of Bcl-2 gene as area
under the curve was 0.666, a result that was statistically significant
(p = 0.038) (Fig. 4). For expression of COPB2 gene, the area
under the curve was 0.878, and this result was statistically significant
(p
Fig. 4.ROC curves for the Bcl-2 to discriminate cancer from noncancer patients: AUC = 0.666, p = 0.038, sensitivity = 77.5%, specificity = 50.0%. ROC, Receiver operating characteristic; AUC, area under the curve.
Fig. 5.
ROC curves for the COPB2, to discriminate cancer from
noncancer patients, AUC = 0.878, p
Numerous factors can lead to endometrial cancer. Several studies have tried to determine the influence of certain molecular changes depending on the patient’s phenotype (Body mass index (BMI), age), which proved to be an important factor [22]. Changes at the level of intracellular mechanisms of regulation of cell growth and differentiation clearly affect the process of malignancy. COPB2 was first discovered in 1993 by the Stenbeck et al. [23] as the main subunit of COPI. In the work that was carried out in vitro, on mice, the importance of reduced expression of COPB2 on stopping cell growth and further development of malignant disease was examined. A connection has been demonstrated between high expression of COPB2 and the development of gastric cancer [24]. The same study also confirmed that COPB2 may be considered a valuable gene therapy target for the treatment of gastric cancer [16]. In addition to laboratory research under in vitro conditions, several clinical studies were also conducted. In the research by Sudo et al. [24], COPA knockdown induced apoptosis and suppressed tumor growth in vitro conditions on mice. Wang et al. [12] found that COPB2 staining was markedly stronger in colon cancer tissues than in normal tissues. These results indicate that COPB2 may be involved in the pathogenesis of human colon cancer [12].
Increased expression of COPB2 in malignant prostate cells has also been researched. The results show that COPB2 expression was higher in cancer tissues than in normal tissues. To determine the clinical significance of COPB2 protein, Mi Y et al. [14] found that high expression of COPB2 was associated with a low 5-year survival rate. In a study comparing COPB2 expression values in normal vs. tumor breast tissue, which is a predominately estrogen-dependent malignancy, it was concluded that elevated COPB2 expression values are also important for the existence of metastatic changes in breast cancer [17]. In light of the previous research, we hypothesized that such elevated expression could be the basis of tumorigenesis.
The importance of the Bcl-2 gene family in the process of apoptosis has already been proven by numerous works and clinical trials. There are numerous published works that examined the expression of Bcl-2 in patients with EC [6, 7, 8]. Although high expression of the Bcl-2 gene was found in the advanced stages of EC, that is not so in the early stages, where expression tends to be lower [9, 10]. Considering the importance of Bcl-2 for the process of apoptosis and tumorigenesis, the expression values of the Bcl-2 gene served as a comparative parameter, since the expression of COPB2 in cells of the endometrium in patients with initial stages of EC has yet to be determined.
Accordingly, we collected endometrial tissue samples from 40 patients with EC (FIGO I and IIA) and 20 patients in whom the presence of this disease was ruled out. Our primary focus was on assessing the expression of COPB2 and Bcl-2 in endometrial cells, specifically in patients at the early stages of the disease, without distant metastases or metastases in lymph nodes. From a total of 40 patients (experimental group), most were FIGO I. In earlier studies, patients with increased expression of the COPB2 gene in other cancer cells had advanced stages of the cancer.
The expression of the gene for Bcl-2 in this case should have served us for comparison, considering that the importance of Bcl-2 in apoptosis processes has long been proven. ROC curve showed the diagnostic potential of COPB2 and Bcl-2 gene expression (Figs. 4,5). As discussed, this regulatory mechanism plays a major role and can be used as a prognostic parameter for the existence of metastases, survival rate or as a target for gene therapy [14, 17, 25]. Our results suggest that the presence of elevated expression of COPB-2 in endometrial cells could indicate the presence of metastases in endometrial carcinoma, which has already been proven in other malignancies.
Expression values of COPB-2 and Bcl-2 genes in the initial stages of endometrial cancer that we obtained showed a low level of expression. Also, diagnostic potential in segregation of cancer from non- cancer patients is achieved through expression of these two genes, with COPB2 being more specific biomarker. The results obtained from this study have paved the way for further research, offering potential for new insights in the realms of EC diagnosis, clinical staging, and novel treatment approaches.
All data generated or analyzed during this study are included in this published article.
BA, PA, DC designed the research study. BA, PA, DM, BM, DSl, MS performed the research. SB and DC provided help and advice on the gene expression. NK and DSr analyzed the data. All authors contributed to editorial changes in the manuscript. All authors read and approved the final manuscript. All authors have participated sufficiently in the work and agreed to be accountable for all aspects of the work.
All subjects gave their informed consent for inclusion before they participated in the study. The study was conducted in accordance with the Declaration of Helsinki, and the protocol was approved by the Ethics Committee of Clinical Center Kragujevac, Serbia (approval number: 01/19/1438).
We would like to express our gratitude to all those who helped us during the writing of this manuscript.
This research received no external funding.
The authors declare no conflict of interest.
References
Publisher’s Note: IMR Press stays neutral with regard to jurisdictional claims in published maps and institutional affiliations.





