1 Department of Obstetrics and Gynecology, Chang Gung Memorial Hospital (Linkou) and Chang Gung University College of Medicine, 333 Taoyuan, Taiwan
2 Department of Obstetrics and Gynecology, New Taipei Municipal Tucheng Hospital, Tucheng District, 236 New Taipei City, Taiwan
†These authors contributed equally.
Academic Editors: Giovanni Larciprete and Michael H. Dahan
Abstract
Background: We present two patients who suffered from endometritis as a result of a foreign body reaction to an anti-adhesive barrier positioned during hysteroscopic surgery. Case: The first case—who had previously undergone hysteroscopic lysis of intrauterine adhesions—presented with persistent abdominal pain and vaginal discharge. Ultrasound revealed an irregularly shaped strip of hyperechoic lesion. On diagnostic hysteroscopy, a foreign body presenting as a flattened bundle was observed and identified as the anti-adhesive barrier positioned during her previous surgery. The second patient—who had previously undergone laparoscopic surgery and hysteroscopic polypectomy—presented with abdominal pain in the left lower quadrant. Ultrasound revealed an intrauterine hyperechoic avascular lesion, while hysteroscopy identified a piece of crumpled plastic wrap. Both patients showed clinical improvement after removal of the extraneous material. Conclusion: Intrauterine positioning of anti-adhesive barriers during hysteroscopic surgery can give rise to endometritis as a result of foreign body reactions.
Keywords
- Endometritis
- Foreign body reaction
- Anti-adhesive barrier
- Intrauterine adhesions
- Case report
Anti-adhesive barriers (AABs) are extensively being used in different types of surgery to reduce post-operative adhesion formation. Among the currently available barriers, the clinical utility of Seprafilm® (Genzyme, Cambridge, MA, USA)—a bioresorbable membrane consisting of carboxymethylcellulose and chemically modified sodium hyaluronate—has been repeatedly investigated in a number of surgical specialties [1, 2]. A prospective study has also shown that Seprafilm® can be successfully applied in the uterine cavity for reducing the risk of adhesions following hysteroscopic surgery [3]. The use of AABs, however, is not without complications—with inflammatory reactions to Seprafilm® being sporadically reported after bowel surgery [4, 5].
Here, we describe two patients who suffered from endometritis as a result of a foreign body reaction to a membranous AAB positioned during a previous hysteroscopic surgery. The study was approved by the institutional review board and ethics committee of the Chang Gung Medical Foundation (IRB No.: 202000239B0) (blinded for review) and a waiver of consent was granted.
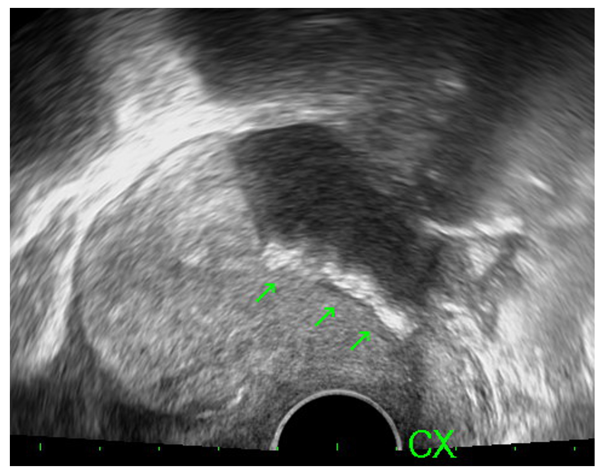
The first patient was a 32-year-old woman, gravida 3, para 2, who presented with persistent abdominal pain and malodorous vaginal discharge after surgery for three months. She had previously undergone hysteroscopic lysis of intrauterine adhesions at another hospital. Ultrasound revealed an irregular strip of hyperechoic lesion (length: 2.92 cm) located in the mid-portion of the uterine cavity and extending into the isthmus (Fig. 1). On diagnostic hysteroscopy, a foreign body presenting as a flattened bundle was seen within the uterine cavity (Fig. 2A). An operative hysteroscopy was performed to remove the extraneous material, which had a folded, multi-layered, film-like appearance (Fig. 2B). Her history revealed that a membranous AAB was applied in the uterine cavity during her previous surgery. Pathology confirmed chronic endometritis caused by a foreign body cell reaction with plasma cell infiltration in the endometrial tissue. The patient received postoperative metronidazole 500 mg every 12 hours for 3 days and was asymptomatic at 6-month follow-up.
Fig. 1.Ultrasound revealed an irregularly shaped strip of hyperechoic lesions (length: 2.92 cm) located in the mid-portion of the uterine cavity and extending into the isthmus.
Fig. 2.Diagnostic hysteroscopy. (A) On hysteroscopy, a foreign body presenting as a flattened bundle was seen within the uterine cavity. (B) Gross morphology of the removed specimen.
The second patient, a 35-year-old woman (gravida 3, para 2), presented with abdominal pain in the left lower quadrant for one month. She was previously treated at a regional hospital six weeks ago with laparoscopic surgery and hysteroscopic polypectomy for a tubo-ovarian abscess and an endometrial polyp, respectively. She had evidence of cervical motion tenderness and mildly elevated C-reactive protein levels (7.44 mg/L). Ultrasound revealed an irregular hyperechoic avascular lesion (size: 0.96 cm) located at the isthmus (Fig. 3). Office hysteroscopy identified the presence of a piece of crumpled plastic wrap (Fig. 4). Histologically, the proliferative-phase endometrium shows scattered plasma cells and neutrophils in the stroma and infiltration of neutrophils into the surface epithelium. Acute and chronic endometritis caused by a previously positioned membranous AAB was confirmed. Metronidazole 500 mg every 12 hours for 3 days was prescribed and she had no specific urogenital complaints for the next 12 months.
Fig. 3.Ultrasound revealed an irregular hyperechoic avascular lesion (size: 0.96 cm) located at the isthmus.
Fig. 4.Office hysteroscopy identified a piece of crumpled plastic wrap at the isthmus.
Wrapping or covering surgical surfaces with AABs physically avoids their direct contact with surrounding normal tissues, ultimately reducing the risk of post-operative adhesions and related complications [2]. The positioning of AABs within the uterine cavity may be clinically useful to prevent the recurrence of intrauterine adhesions following hysteroscopic adhesiolysis [3]—either alone or in combination with high-dose estrogen [6]. While both membranous and liquid barriers have been proposed to prevent endometrial synechiae, their intrauterine application remains problematic. Liquid barriers can leak from the cervical orifice, whereas membranous barriers do not fit through the narrow endocervical canal without losing their volume and/or structural integrity. In this scenario, the use of multiple layers of folded sheets may be helpful to reduce both size and volume. Unfortunately, this approach also results in the thickening of the membrane barrier, which may lead to a delayed absorption and act as a potential source of infection.
The two patients described in the current report had AABs positioned in the uterine cavity following hysteroscopic surgery. However, the exact commercial products that gave rise to the foreign body reaction were not identifiable. A randomized prospective study has previously shown that Seprafilm® is safe and effective in preventing and mitigating endometrial and endocervical synechiae after suction evacuation owing to incomplete, missed, or recurrent abortion [3]. While no adverse reactions (including fever, pelvic pain, vaginal discharge, or hemorrhage) following intrauterine Seprafilm® positioning were observed [3], this product can sporadically induce an inflammatory response following bowel surgery [4, 5]. SurgiWrap® (MAST Biosurgery Inc., San Diego, CA, USA)—another AAB consisting of a polylactic film—has not been extensively studied in the prevention of intrauterine adhesions [7]. While Seprafilm® turns into a hydrophilic gel within 24 hours from application and provides a protective scaffold for reepithelization for up to seven days [8], SurgiWrap® creates an impermeable sheet between opposing soft tissues and retains a significant tensile strength for 6-8 weeks before being reabsorbed in 24 weeks [9]. Because the uterine environment is not aseptic, special attention to prevent infections should be paid when AABs are applied in the uterus.
Clinicians should be aware that the positioning of AABs during hysteroscopic surgery can give rise to a foreign body reaction. Delayed absorption caused by improper or off-label intrauterine use of a barrier product may potentially lead to severe clinical manifestations—including endometritis or peritonitis. Office hysteroscopy can be used to achieve a rapid diagnosis in suspected cases presenting with abdominal pain and/or vaginal discharge.
CJW and CHW—Management of the case and preparing the manuscript. ASC, KYW, YSL—Management of the case and critical appraisal and review of the manuscript. All authors read and approved the final manuscript.
Ethics approval of this study was given by the Institutional Review Board of Chang Gung Memorial Hospital (202000239B0). Informed consent was obtained from all subjects involved in the study.
We would like to express our gratitude to Angel Chao who helped us during the writing this manuscript. The authors thank Jung-Erh Yang and Hui-Chin Liao for excellent technical assistance. We thank all the peer reviewers for their opinions and suggestions.
This work had no commercial funding. The Chang Gung Medical Foundation supported the article-processing charges (CMRPG3H0711 and CMRPG3K0541).
The authors declare no conflict of interest.




