1 Department of Ultrasound, Xijing hospital, Fourth Military Medical University, 710032 Xi’an, Shaanxi, China
Academic Editor: Zhonghua Sun
Abstract
The unilateral absence of pulmonary artery (UAPA) is a rare congenital cardiovascular malformation, which is asymptomatic and easy to be ignored in early stage. A large number of complications may occur in the later stage. Therefore, early diagnosis and treatment is of great significance. The imaging data of 49 patients with UAPA discovered and confirmed clinically by the echocardiography in our hospital are analyzed. The results show that left pulmonary artery absence is more common (55%) and most of them are associated with other cardiovascular malformations (92%). Atrial septal defect and patent foramen ovale were most common in 56%. In which the absence of isolated pulmonary artery was 8% (4/49), and the absence of right pulmonary artery was 75% (3/4). Especially in the patients with tetralogy of Fallot, 77% (5/9) of them miss the diagnosis of UAPA. This suggests that doctors and sonographers should pay attention to the development of pulmonary artery bifurcation and left and right branches in multi-section, and strengthen the scanning of short axis section of high large artery.
Keywords
- Unilateral absence of pulmonary artery
- Echocardiography
- Image feature
- Pulmonary hypertension
- Vascular malformation
Unilateral absence of pulmonary artery (UAPA) is also known as unilateral pulmonary artery proximal interruption or unilateral absence of intrapericardial segment of pulmonary artery, which is a rare congenital pulmonary vascular dysplasia [1]. The early clinical manifestations of UAPA are lack of specificity [2]. The symptoms are not typical, often with repeated pulmonary infection, hemoptysis, dyspnea, and easy to miss diagnosis and misdiagnosis [3].
CT angiography (CTA) has a unique advantage in displaying the abnormal course and spatial orientation of the peripheral blood vessels of the heart and arterial system, it can show that the beginning of the pulmonary artery branch on the affected side is the blind end [4, 5, 6, 7]. But it has some limitations in the direction of blood flow, and radiation, which is difficult to tolerate in children and the development of screening is limited [8]. Conventional pulmonary angiography is the “gold standard” for imaging diagnosis of this disease, which can reflect the absence of pulmonary artery length and collateral vessels. However, the disadvantages of angiography are invasive, expensive and time-consuming with certain risks.
As an invasive, convienent and low cost medical imaging method, echocardiography has been the first-line image examination for cardiovascular disease. Beside intracardiac malformation, echocardiography also could estimate the pressure of cavities and great artery, such as pulmonary pressure. Echocardiography can be regarded as the main method to detect UAPA, but it still needs to rely on the operator’s technology and experience as well as the understanding of the disease, there is still a high rate of missed diagnosis.
At present, only some UAPA cases diagnosed by echocardiography have been reported [9, 10]. These reports comfirmed the diagnostic value of echoardiography in UAPA, and analyzed the complications caused by UAPA [11, 12], and used for follow up assessment after surgery [13]. However, the clinical understanding of this disease is limited, and few references are focusing on the echocardiographic characteristics, changes of pulmonary artery pressure and prognosis.
To sum up, cilinical and echocardiographic data of 49 UAPA were analyzed in this study. the aims are: (1) to summarize the echoic feature, and to evaluate the usefulness and limitation of echocardiography in UAPA diagnosis. (2) to explore the dynamic change of pulmonary artery in UAPA patients.
From January 2014 to June 2020, 56 consective patients who were clinical
diagnosed as UAPA were collected in this study. Seven patients with incomplete
imaging data collection or lost in follow-up were exclude. Finally 49 patients
with UAPA diagnosed in our hospital are collected as the research objects. There
are 24 cases of infants or children below 3 years old, 13 cases of children
(
The equipment are Philips EPIQ 7C (Philips Medical Systems, Amsterdam, The Netherlands) and Ge E9 color Doppler ultrasound (Logiq E9, GE Medical Systems, Wauwatosa, WI, USA). The probe frequency is 3.5–7.5 MHz. The patient was lying on the left side and connected with ECG. Routine scanning was performed on the parasternal long axis view of left ventricle, the short axis view of great vessels, the parasternal 2, 3, 4-chamber view, the short axis view of left ventricle, the view of aortic arch of suprasternal fossa, infraxiphoid biatrial view, the long axis and short axis section of the aortic arch of the suprasternal fossa were observed. Focusing on the bifurcation and left and right branches of pulmonary artery; The confluence and origin of the left and right pulmonary arteries were scanned by sector scan and rotation. The blood flow signals in the pulmonary artery were displayed by color Doppler ultrasound.
The patients were divided into three groups: pulmonary hypertension group (27 subjects), pulmonary artery stenosis group (9 subjects) and no stenosis without hypertension group (13 subjects). Pulmonary hypertension was defined as tricuspid regurgitation to estimate the systolic pressure of pulmonary artery greater than 40 mmHg. According to the estimation of pulmonary regurgitation, mean pulmonary artery pressure of pulmonary artery was above 25 mmHg (according to ASE guideline [14]). Pulmonary artery stenosis is defined as two-dimensional ultrasound shows that the pulmonary valve is obviously thickened and showed hyperechoic, opening range is limited, and the systolic leaflet protrudes into the pulmonary artery like a dome tent. Spectrum Doppler ultrasound shows that the pulmonary valve stenosis can record the systolic high-speed jet frequency spectrum, and the peak velocity is greater than 3 ms [15].
The statistical software is SPSS 21.0 (International Business Machines
Corporation, IBM, Armonk, NY, USA), and the sample data are expressed by mean and
standard deviation. Categories are expressed as percentages. Independent sample
t test and
Our center is affiliated to the the First Affiliated Hospital of the Fourth Military Medical University. The coincidence rate of the first time ultrasonic diagnosis is 55%, and that in consultation with senior doctors before operation is 83%. Especially in tetralogy of Fallot patients with absent pulmonary artery, the misdiagnosis rate was as high as 77% (7/9), This shows that it is still difficult for UAPA.
Through data analysis, female patients are the majority, accounting for 53%. The age of the first diagnosis is mainly infants younger than or equal to 3 years old, accounting for 49%. Cyanosis is a little less, accounting for 21%.
Left pulmonary artery absence was more common (55%), and most of them were associated with other cardiovascular malformations (92%). Absence of isolated pulmonary artery was found in 8% (4/49), while absence of right pulmonary artery was found in 75% (3/4). UAPA most with other cardiovascular malformations. Atrial septal defect (ASD) or patent foramen ovale (PFO) are the most common as shown in Table 1 (56%).
| Concomitant diseases | Number | LPA absence | RPA absence |
| Atrial septal defect or patent foramen ovale | 27 | 18 | 9 |
| Patent ductus arteriosus | 18 | 11 | 7 |
| Ventricular septal defect | 14 | 8 | 6 |
| Tetralogy of fallot | 9 | 5 | 4 |
| Persistent left superior vena cava | 6 | 4 | 2 |
| Persistent truncus arteriosus | 4 | 1 | 3 |
| Double outlet of right ventricle | 3 | 2 | 1 |
| Others | 6 | 3 | 3 |
| LPA, left pulmonary artery; RPA, right pulmonary artery. | |||
According to the statistics of associated malformations and changes of pulmonary artery in patients with UAPA, it can be seen that the changes of ASD/PFO, Patent ductus arteriosus (PDA) and Ventricular septal defect (VSD) are mainly pulmonary hypertension as shown in Table 2.
| Concomitant diseases | Pulmonary artery condition | ||
| Stenosis (+) | Hypertension (+) | Stenosis (−) hypertension (−) | |
| ASD/PFO | 8 (16.3%) | 14 (28.5%) | 5 (10.2%) |
| PDA | 3 (6.1%) | 13 (26.5%) | 2 (4.0%) |
| VSD | 2 (4.0%) | 9 (18.3%) | 3 (6.0%) |
| ASD, atrial septum defect; PFO, patent foramen ovale; PDA, Patent ductus arteriosus; VSD, ventrcular septum defect. | |||
The secondary dynamic changes of UAPA patients are shown in Table 3. These
patients have normal ejection fraction. The main manifestation of pulmonary
hypertension group is the increase of right ventricular volume load, and the main
manifestation of pulmonary artery stenosis group is the increase of collateral
circulation (P
| Main secondary change index | Hypertension (+) | Stenosis (+) | Stenosis (−) hypertension (−) | P |
| RA internal diameter (mm) | 30.74 |
27.36 |
27.52 |
0.93 |
| RV internal diameter (mm) | 25.27 |
23.61 |
23.81 |
0.85 |
| RV wall thickness (mm) | 6.36 |
5.97 |
0 | 0.823 |
| Diameter of main pulmonary artery (mm) | 19.43 |
9.34 |
23.16 |
0.013* |
| Unilateral pulmonary artery internal diameter (mm) | 10.63 |
8.83 |
33.89 |
0.27 |
| RV/LV | 0.78 |
0.61 |
0.53 |
0.026* |
| Collateral circulation | 5 (10.2%) | 7 (14.2%) | 2 (4.0%) | 0.001* |
| EF (%) | 62.36 |
58.56 |
58.24 |
0.742 |
| RA, right atrium; RV, right ventricle; RV/LV, right ventricle to left ventricle
ratio; EF, ejection fraction. *P | ||||
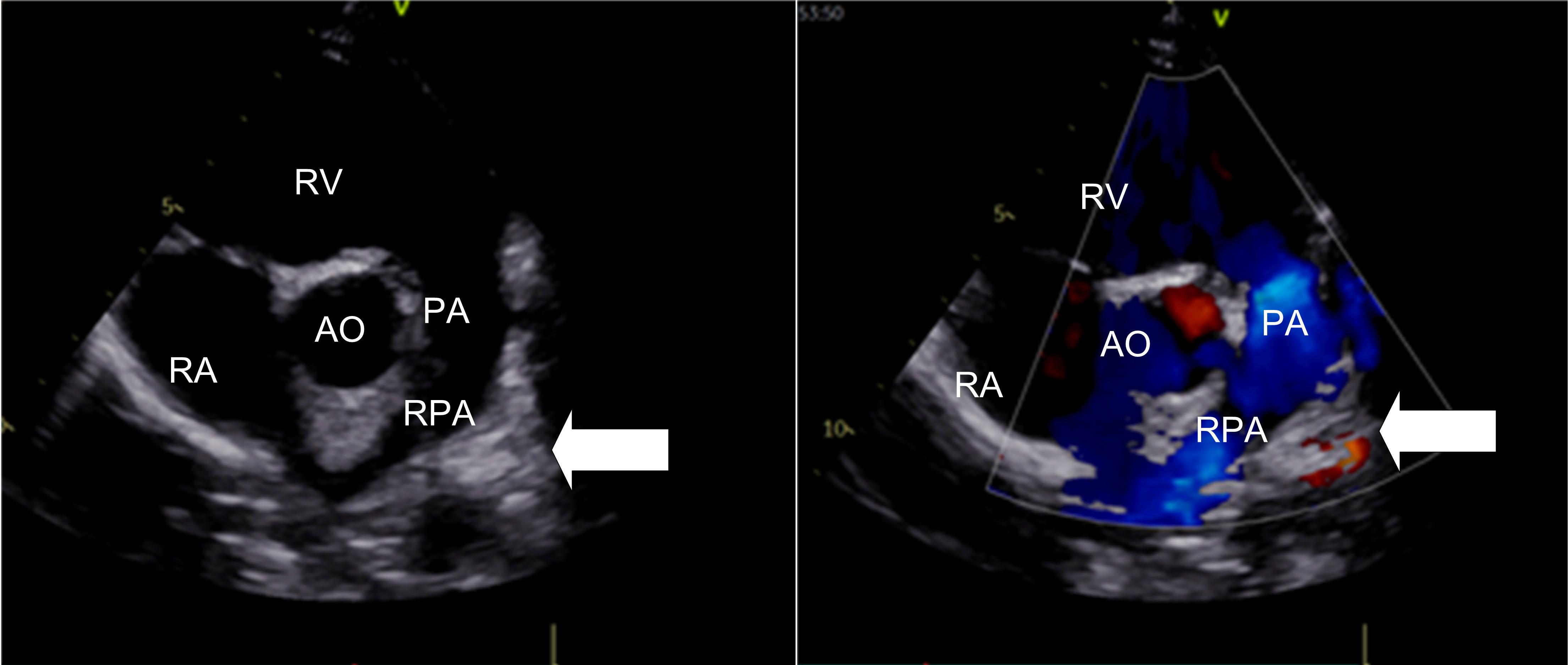
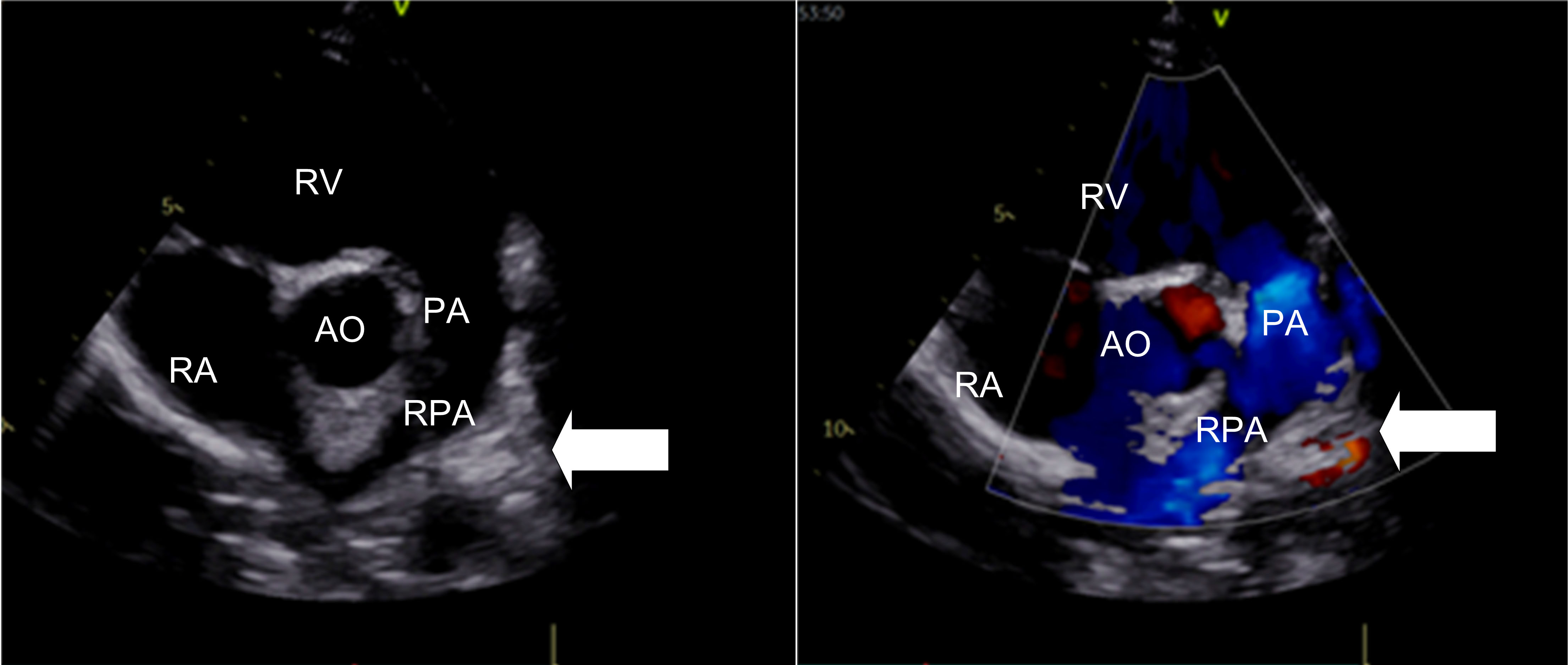
Typical case analysis: The absence of right pulmonary artery with patent ductus arteriosus is shown in Fig. 1 (hypertension group). There is no right pulmonary artery structure in the trunk of pulmonary artery. There is a pipeline between the root of left pulmonary artery and descending aorta (PDA).
Fig. 1.Typical echocardiography of right pulmonary artery absence. (a) Short axis view of great vessels (Color Doppler and 2D image). In this view there is not right pulmonary artery structure from the main pulmonary artery (arrow). PDA, patent ductus arteriosus; MPA, main pulmonary artery; LPA, left pulmonary artery; DAO, descending aorta. (b) Continuous Doppler detected pulmonary artery regurgitation. This case showed mild pulmonary artery regurgitation, estimate the mean pulmonary artery pressure, indicating that the patient has pulmonary hypertension.
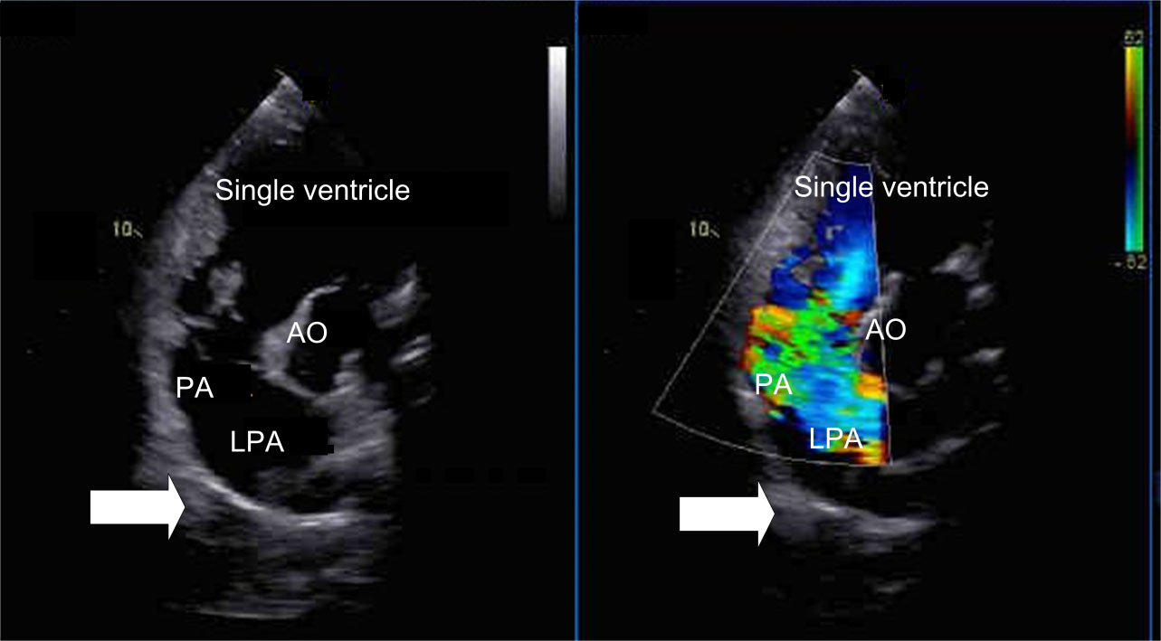
The absence of right pulmonary artery combined with single ventricle and endocardial cushion defect. There is no right pulmonary artery structure in the trunk of pulmonary artery as shown in Figs. 2,3 (hypertension group). The regurgitation peak velocity (Vmax) was 411 cm/s and pressure gradiant (PGmax) was 67 mmHg (means the mean pulmonary arterial pressure is estimated to be 67 mmHg). There is no normal ventricular septal structure in the ventricular cavity. The left and right atrium communicated with the common ventricle through the common atrioventricular valve; Combined with partial endocardial cushion defect: the normal crisscross structure between atrioventricular septum and atrioventricular valve disappear, and the echo below the atrial septum is lost.
Fig. 2.Right pulmonary artery absence with single ventricle. (a) Suprasternal long axis view (2D image). In this view there is not right pulmonary artery structure from the main pulmonary artery (arrow). LPA, left pulmonary artery. (b) High level parasternal view (2D image). In this view there is only left pulmonary artery structure from the main pulmonary artery (arrow). LPA, left pulmonary artery; MPA, Main pulmonary artery.
Fig. 3.Non-standard four-chamber section (Color Doppler and 2D image). In this view there is not right pulmonary artery structure from the main pulmonary artery (arrow). PA, main pulmonary artery; LPA, left pulmonary artery; AO, Aorta.
A 3-year-old girl with absent left pulmonary artery complicated with tetralogy of Fallot (TOF) and atrial septal defect (ASD) is shown in Fig. 4 (stenosis group). This three-year-old girl had found out the absence of the left pulmonary artery combined with tetralogy of Fallot and atrial septal defect by echocardiography before congenital heart surgery. Intraoperative findings comfirmed there was no left pulmonary artery emission from the main pulmonary artery. The girl accepted radical correction operation of TOF and the repair of ASD, the pulmonary artery was not treated, echocardiographic postoperative follow-up only.
Fig. 4.Short axis view of great vessels (Color Doppler and 2D image). In this view there is not left pulmonary artery structure from the main pulmonary artery (arrow). PA, main pulmonary artery; LPA, left pulmonary artery; AO, Aorta; RV, right ventricle; RA, right atrium.
UAPA is a congenital pulmonary vascular malformation, characterized by the absence of one side pulmonary artery. The supporting arteries are mainly from the bronchial arteries branches, the descending aorta or innominate artery. These arteries are relatively small, forming aorta pulmonary collateral circulation. Although echocardiography were most frequently used examination method for congenital heart disease, echocardiographic data about UAPA were rare. Most were case reports or small sample reports.A typical case of UAPA was analyzed by Sigusch [16]. Chopra [17] analyzed a 77-year-old woman with UAPA. Some pediatric UAPA cases were analyzed and sorted out by Weldetsadik [18]. Raymond [19] analyzed neonatal UAPA cases and summarized diagnostic points and methods and mainly described the basic feature of echo findings. Yang [20] has proposed a new treatment plan. Kawada [21] has recorded the successful diagnosis and treatment of UAPA patients. Wang [22] has analyzed the clinical features of UAPA and confirmed the diagnostic significance of ultrasound. Cao [10] has analyzed the clinical features of UAPA and confirmed the diagnostic significance of ultrasound. But it only evaluates that echocardiography is an effective method for diagnosing UAPA, which can evaluate the anastomotic blood flow velocity and pulmonary artery pressure changes after pulmonary artery reconstruction. In the past, the literature only reported cases of misdiagnosis reasons or accompanied by intracardiac malformations. These reports confirmed the diagnosis value of echocardiography in UAPA, however, further analysis of dynamic change, and change of capacity load, or pressure change of pulmonary remained elusive. Our discovery is different from the previous literature. It is the first time to observe the different conditions of the pulmonary artery and divide the patients into three groups (Stenosis, hypertensione, neither stenosis nor hypertension). Most common in patients with pulmonary hypertension. We followed up some cases and found that patients with pulmonary hypertension have a poor prognosis. This may be due to the formation of collateral arteries as they grow, and the pulmonary artery pressure gradually increases. Eventually, pulmonary hypertension can cause heart failure.
In this study, based on echocardiography data analysis from 49 UAPA patients, we find that the absence of left pulmonary artery is more prevalent, and most of them are accompanied with other cardiovascular malformations, among which ASD/PFO, PDA and VSD are the most common types. The main manifestations of pulmonary hypertension are the increase of right ventricular volume load, right ventricular enlargement, compensatory widening of pulmonary artery trunk diameter, and moderate to large amount of tricuspid regurgitation in the later stage; the main manifestation of patients with pulmonary artery stenosis is increased collateral circulation. Because of the blood flow of pulmonary artery stenosis, ischemia and hypoxia need collateral artery to form collateral supply. This suggests that the prognosis of patients with pulmonary hypertension may be poor, and it is necessary to pay attention to the management of pulmonary arterial pressure. These results suggest that, for the most of UAPA patients, the pulmonary artery absence cannot be corrected through surgery, we must pay attention to the changes of pulmonary artery pressure in early stage, consider drug intervention in time, and echocardiography can monitor the process of pulmonary artery pressure change, which plays an important role in guiding the treatment strategy. Actively combining targeted drugs to lower pulmonary hypertension can improve the quality of life and prognosis of patients. Echocardiography as the first choice for congenital heart disease. Once echocardiography finds such diseases, it should be responded to as soon as possible to improve the survival rate and quality of life of patients.
In addition, the reasons of ultrasound misdiagnosis in UAPA is mainly due to insufficient caution of this disease during scanning. This may be due to insufficient understanding of the disease or the patient’s image is unclear due to lung disease. If it was found that the pulmonary artery was not clearly displayed in the examination, cardiologists or sonographers should pay attention to scanning the high level short-axis view of the great vessels. Use color Doppler to detect pulmonary artery branch and the situation of the left and right pulmonary artery. According our experience, there were two situation were most easily misdiagnosed: (1) For the left pulmonary artery absence patient, the ductus arteriosus is often misdiagnosed as a pulmonary artery branch (Fig. 1). This may be due to insufficient knowledge of the disease or the operating doctor’s inadequate scanning of the branches of the pulmonary artery. (2) Tetralogy of Fallot (TOF) patients combined with the absence of pulmonary arteries are easily missed also (Fig. 4), the misdiagnosis rate was as high as 77% (7/9), the reason was considered as following: TOF patient’s pulmonary artery branches were usually very thin, which were difficult to detect by 2D echocardiography, and pulmonary stenosis induced blood flow turbulence, which affected pulmonary branch color Doppler imaging.
The limitation of this retrospective study were considered as following: many parameters related to right ventricular function have not been included. In future studies, right ventricular function indicators should be included to evaluate the overall right ventricular function. The time span of this study is long, and many patients’ clinical data are lost to follow-up, so it is hard to accurately predict the prognosis of pulmonary artery absence disease. In future research, we should pay attention to the establishment of patient information files to ensure the quality of follow-up.
UAPA is more usual on the left side, and ejection fraction is normal in most patients. It is often associated with ASD/PFO, PDA and VSD, and is prone to secondary pulmonary hypertension, which is characterized by increased right ventricular volume load, which is closely related to the prognosis. Therefore, it is necessary to pay attention to the evaluation and treatment of pulmonary arterial pressure.
UAPA, the unilateral absence of pulmonary artery; PDA, patent ductus arteriosus; MPA, main pulmonary artery; LPA, left pulmonary artery; DAO, descending aorta; LPA, left pulmonary artery; RA, right atrium; LA, left atrium; SVC, superior vena cava; IVC, Inferior vena cava; LV, left ventricle; RV, right ventricle; AO, aorta.
MT collected the clinical and image data, finished the statistics work and organized the manuscript; MZ made the whole protocol design and helped organized and revised the manuscript.
The study was approved by the Medical Ethics Committee of Xijing hospital (Ethics approval number: KY20162034-1), where exempted informed consent from enrolled patients because of retrospective study protocol.
Not applicable.
This study received no external funding.
The authors declare no conflict of interest.




