1 Research Service (151), VA Medical Center, Albany, NY 12208, USA
Abstract
Heart, dentate nucleus, and dorsal root ganglia (DRG) are targets of tissue damage in Friedreich ataxia (FA). This report summarizes the histology and histopathology of iron in the main tissues affected by FA. None of the affected anatomical sites reveals an elevation of total iron levels. In the myocardium, a small percentage of fibers shows iron-reactive granular inclusions. The accumulation of larger iron aggregates and fiber invasion cause necrosis and damage to the contractile apparatus. In the dentate nucleus, the principal FA-caused tissue injury is neuronal atrophy and grumose reaction. X-ray fluorescence mapping of iron in the dentate nucleus in FA shows retention of the metal in the center of the collapsed structure. Immunohistochemistry of ferritin, a surrogate marker of tissue iron, confirms strong expression in oligodendrocytes of the efferent white matter of the dentate nucleus and abundance of ferritin-positive microglia in the atrophic gray matter. Iron dysmetabolism in DRG is complex and consists of prominent expression of ferritin in hyperplastic satellite cells and residual nodules, also a loss of the iron export protein ferroportin from the cytoplasm of the remaining DRG nerve cells.
Keywords
- friedreich ataxia
- ferritin
- iron
- mitochondrial ferritin
- ferroportin
- cardiomyopathy
- atrophy
- dorsal root ganglia
The story of iron, and specifically biological iron, in Friedreich ataxia (FA) began in 1980 when Lamarche et al. [1] reported the presence of granular iron in the myocardium of three patients with FA. This early paper gained additional significance with the discovery of the mutation in FA [2] and the deficiency of frataxin, a protein that is now often called an iron chaperone but the role of which is rather more complex [3]. At first, FA was considered a new form of hemochromatosis, but it became apparent that iron deposits were restricted to the heart, contrasting with other forms of hereditary iron overload. Nevertheless, two groups of researchers reported iron excess in the dentate nucleus of FA patients, based on the paramagnetic effect of the metal on magnetic resonance signals [4, 5]. The dentate nucleus is a prominent target of FA, and it seemed reasonable to attempt iron chelation with deferiprone, a chelator that passes the blood-brain barrier [5]. While some students of FA remain enthusiastic over the role of iron in the pathogenesis of FA, iron chelation is no longer considered a suitable therapy of the disease. This brief report summarizes the putative role of iron in the pathogenesis of FA cardiomyopathy and the major sites of FA-induced damage of the nervous system, namely, dentate nucleus and dorsal root ganglia (DRG).
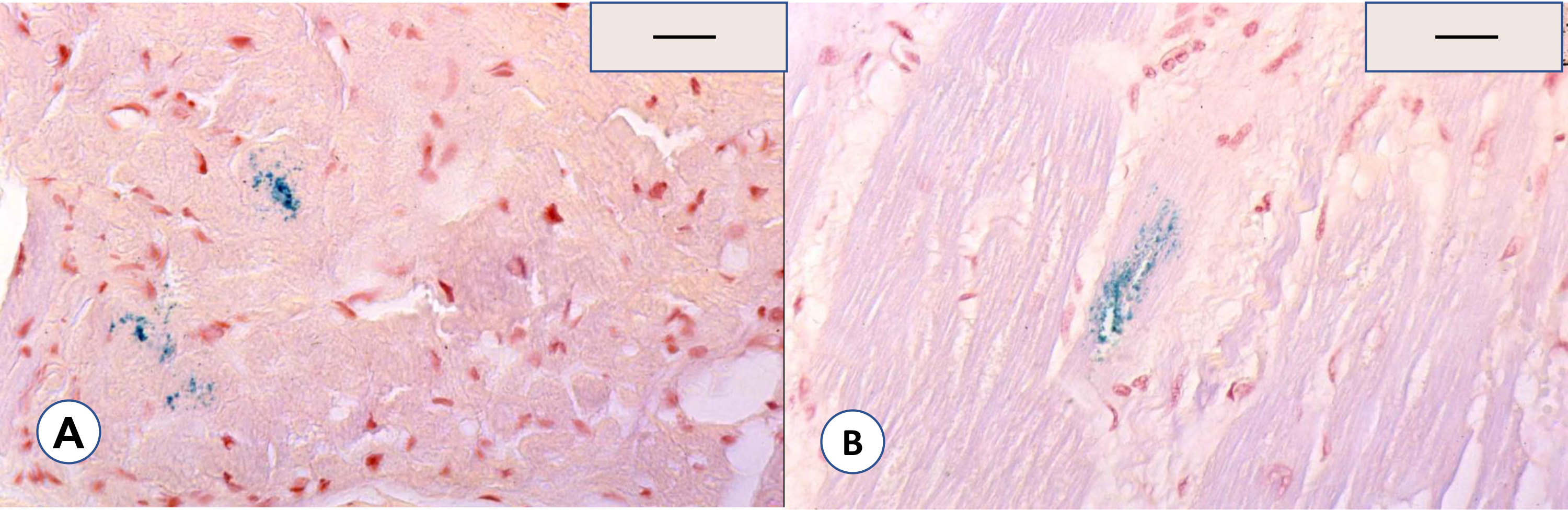
Fig. 1A,B show the iron histochemistry of 2 sections of the heart in an FA
patient. Fig. 1A represents an endocardial biopsy of the patient obtained at age
9. Fig. 1B shows the iron reaction in an autopsy specimen of the same patient who
succumbed to FA cardiomyopathy at the age of 26 years. The comparison allows the
conclusion that the formation of granular iron in cardiomyocytes occurs in the
early life of an FA patient and does not reflect disease duration [6]. Dr
Lamarche of the Centre Hospitalier Universitaire de Sherbrooke in Sherbrooke,
Quebec, Canada, assayed total heart iron in 9 patients with FA but did not find a
significant elevation compared to control hearts. He sent his results to the
author’s laboratory in Albany, NY, USA where they were compared with iron assays
of 9 additional FA heart specimens. Despite different colorimetric assay methods,
the results were very similar, namely, 30.7
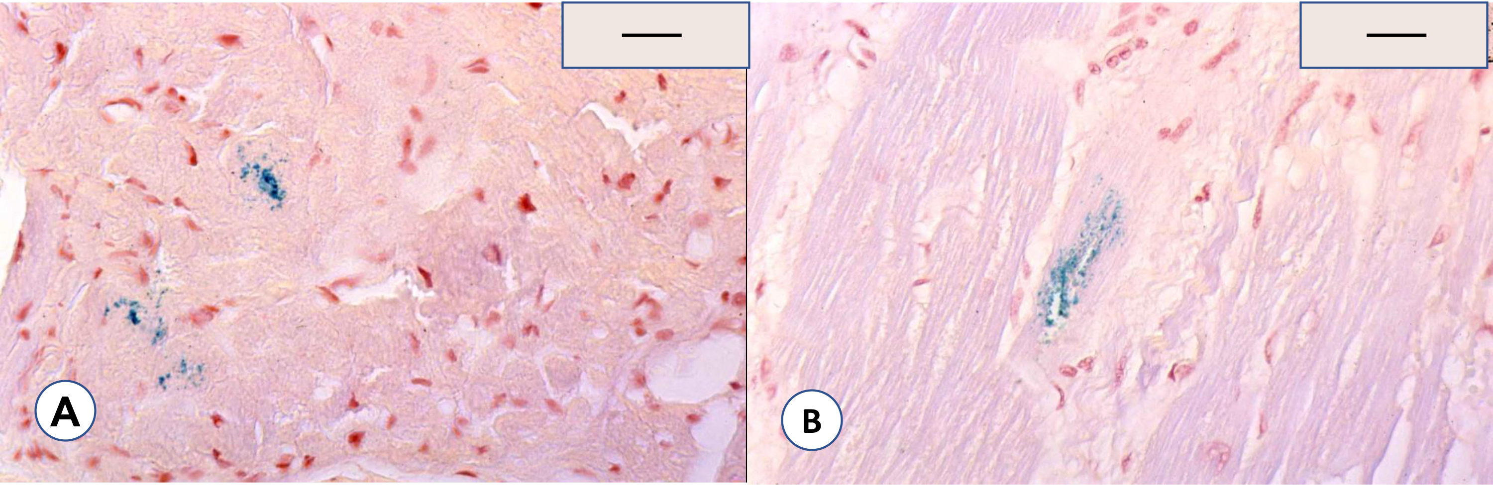
Fig. 1.Iron histochemistry of the heart in FA. The patient was a female who had an endocardial biopsy at the age of 9 years (A) and died at the age 26 years (B). Perls’s iron stain shows finely granular blue inclusions in a small percentage of heart fibers. The counterstain is Brazilin. Bars, 50 µm. FA, Friedreich ataxia.
Fig. 2.Mitochondrial ferritin in the heart of FA. Sections were incubated with bismuth subnitrate to identify ferritin. All electron-opaque inclusions in mitochondria represent ferritin because other contrasting agents, such as uranyl acetate and osmium were omitted. The arrow indicates a mitochondrion without ferritin inclusions. Bar, 1 µm.
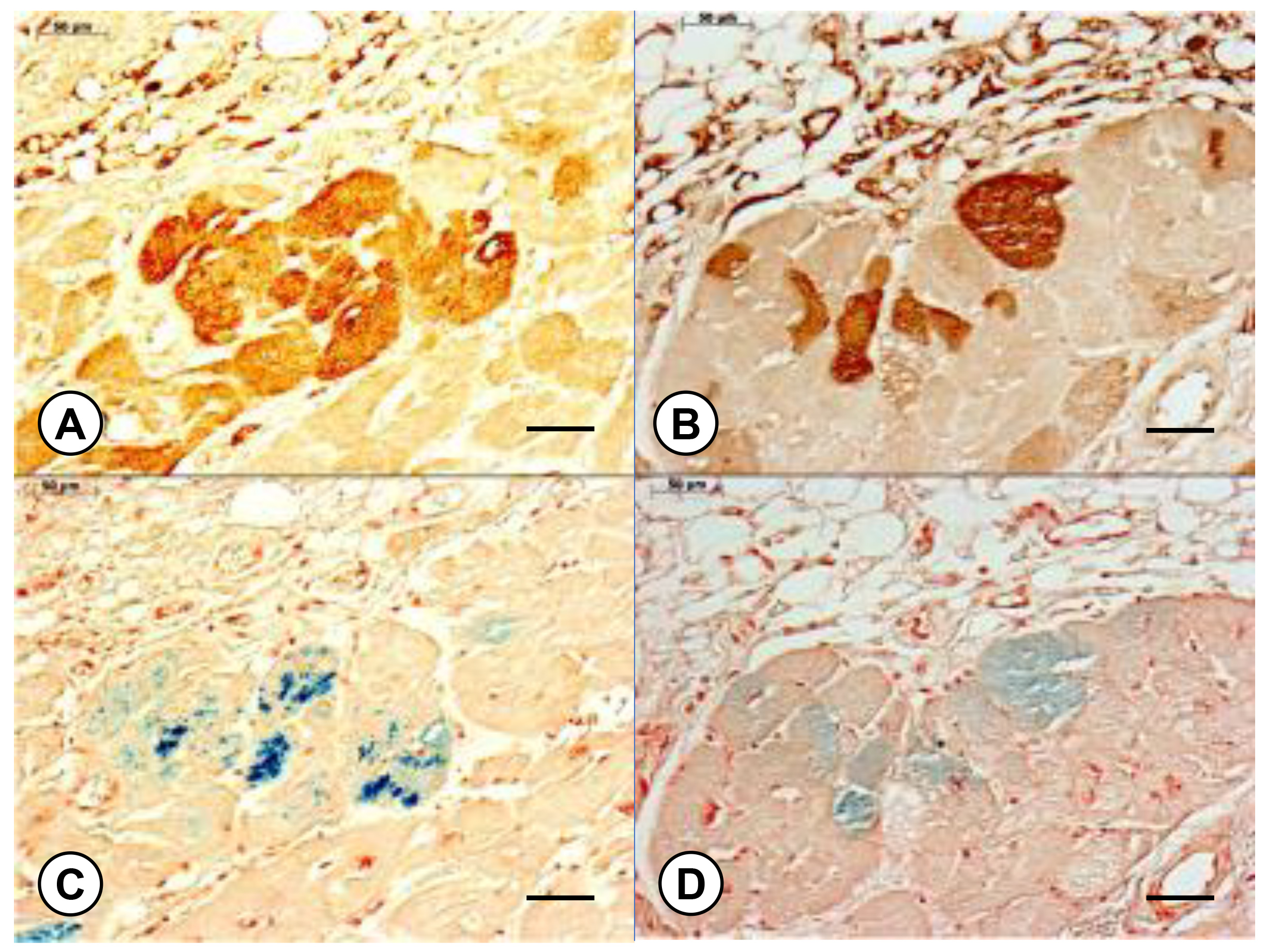
Fig. 3.Ferritin and mitochondrial ferritin in FA cardiomyopathy. (A) Cytosolic holoferritin; (B) mitochondrial ferritin; (C) iron in a section adjacent to (A); (D) iron in section adjacent to (B). A cluster of iron-reactive fibers (C) shows strong expression of holoferritin (A). The iron-containing fibers in (D) are reactive for mitochondrial ferritin (B). Bars, 50 µm.
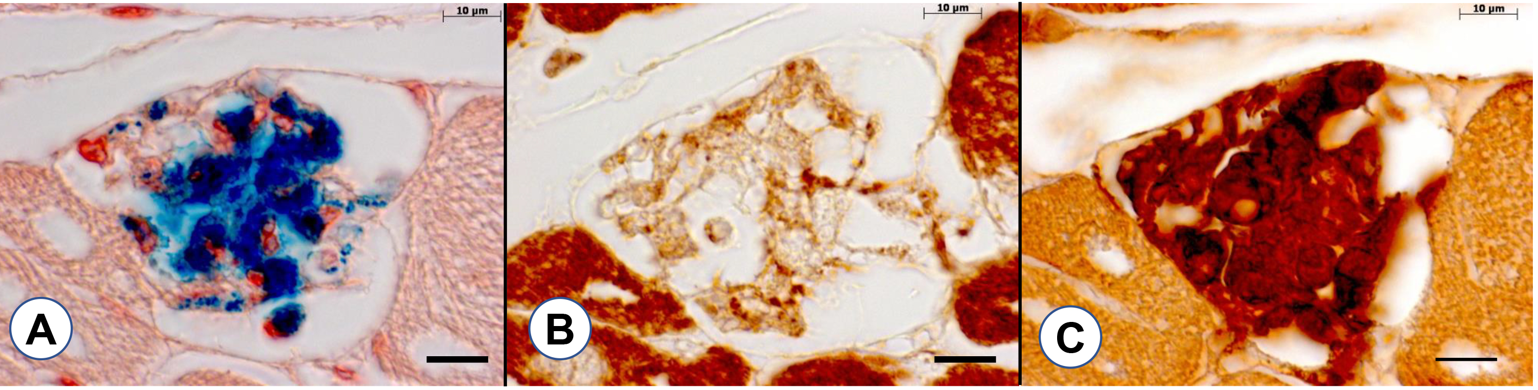
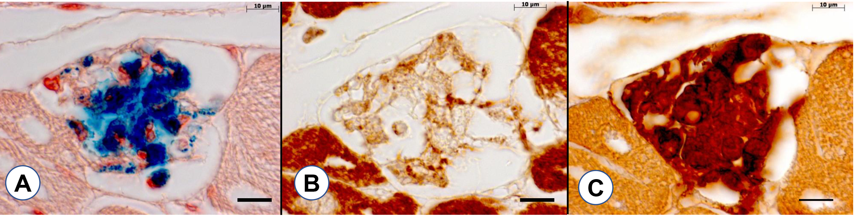
Fig. 4.Iron, ferroportin, and holoferritin in a necrotic heart fibers. Iron histochemistry (A); immunohistochemistry for ferroportin (B) and holoferritin (C). The heart fiber in (A) contains clumps of aggregated iron. In an adjacent section (B), the same fiber shows no ferroportin reaction product but is strongly reactive for ferritin (C). Bars, 10 µm.
Fig. 5.Attachment of monocytes to cardiomyocytes. (A) Immunohistochemistry for CD68; (B) immunohistochemistry for hepcidin. (A) A CD68-reactive monocyte is projecting delicate processes toward the interior of a cardiomyocyte. (B) A hepcidin-reactive monocyte shows similar projections toward a heart fiber where interaction with ferroportin may take place. Bars, 10 µm. Figures from reference [7]. Reproduced with permission from Koeppen AH, The pathogenesis of cardiomyopathy in Friedreich ataxia. PLoS ONE. 2015. [7].
The dentate nucleus is naturally rich in iron, and, based on the paramagnetic
effect of the metal, T2-weighted magnetic resonance images show the nucleus in
the cerebellum to advantage (Fig. 6C,D). Contrary to Waldvogel et al.
[4] and Boddaert, et al. [5], however, the author asserts that
Friedreich ataxia causes shrinkage of the dentate nucleus and reduced
paramagnetic iron effect (Fig. 6). Fig. 6 shows macroscopic iron stains of the
dentate nucleus in FA (Fig. 6B) and a control specimen (Fig. 6A). Perls’s [8]iron stain generates a crisp outline of the normal meandering gray matter ribbon
(Fig. 6A) while the blue reaction product in FA is consistent with a globular
collapse of the dentate nucleus (Fig. 6D). The macroscopic iron stain is
misleading as systematic chemical assay of iron in digests of 9 dentate nuclei
and 9 control specimens showed no difference in the levels of the metal [9].
Dentate iron levels in FA were 1.53
Fig. 6.Magnetic resonance images of the dentate nucleus in FA and a control; macrostain of iron in formalin-fixed cerebellum. (A) T2 weighted image of a control dentate nucleus (arrow); (B) FA; (C) macrostain for iron in a normal dentate nucleus; (D) FA. (A) The arrow shows the outline of the iron-rich normal dentate nucleus; (B) In FA, the paramagnetic effect of iron in the dentate nucleus has become indistinct. (C) and (D) Slices of cerebellum were overlaid with Perls’s [8] reagents. The normal specimen (A) shows the outline of the gray matter ribbon and a more diffuse reaction product. In FA (B), only some diffuse reaction product remains. The gray matter of the dentate nucleus is no longer distinct.
Fig. 7.X-ray fluorescence mapping of iron in a normal dentate nucleus and the dentate nucleus of FA; matching immunohistochemistry of glutamic acid decarboxylase in the normal dentate nucleus and in FA. (A) normal dentate nucleus; (B) dentate nucleus in FA; (C) normal dentate nucleus, immunohistochemistry of glutamic acid decarboxylase; (D) dentate nucleus in FA, immunohistochemistry of glutamic acid decarboxylase. Iron fluorescence in (A) and (B) is given in pseudo colors. Maximum signal is shown as white; declining intensities are presented in red, yellow, and green, respectively. In FA, the overall size of the dentate nucleus is smaller, but maximum iron fluorescence is concentrated in the center of the nucleus. The matching composite images of glutamic decarboxylase (A,B) show simplification of the dentate nucleus in FA (D). Iron fluorescence does not match the gray matter ribbon of the dentate nucleus in the control specimen (C) or the sample of FA (D). Bars, 1 mm.
Fig. 8.Ferritin in the efferent white matter tract of the dentate nucleus in a control and in FA. (A) control dentate nucleus; (B) FA. (C) normal dentate gray matter, immunohistochemistry of holoferritin; (D) dentate nucleus in FA; immunohistochemistry of holoferritin. In the efferent myelinated fiber tract of the dentate nucleus, ferritin reaction product identifies the reactive cells as oligodendroglia (A). In FA, the main site of ferritin remains oligodendroglia (B), but the reactive cells are smaller than in the normal control (A). In the normal dentate gray matter, ferritin is expressed in juxtaneuronal microglia (C, arrow) and other small cells (C); in the atrophic dentate nucleus of FA, ferritin reaction product shows more abundant microglia (D, arrows). N, neurons; Bars, 20 µm.
The described systematic analysis of iron and ferritin in the dentate nucleus of control and FA samples prompt the following conclusions: When expressed on the basis of wet weight, the dentate nucleus in FA retains its iron and shifts it to the center of the nucleus. Ferritin is strongly expressed in oligodendrocytes of the amiculum, and these cells remain ferritin-reactive in FA. It is not surprising that the dentate nucleus retains a general property of the mammalian brain, namely, limited iron exit despite the destruction of gray and white matter of the nucleus.
Dorsal root ganglia (DRG) are a prominent target of FA, and the lesion accounts
for the neuropathy in the disease and the failed development of the dorsal
columns of the spinal cord and the dorsal spinocerebellar tracts. Koeppen
et al. [12] presented morphological evidence that smallness of the DRG
in FA constitutes hypoplasia rather than atrophy, but the cellular proliferation
of satellite cells and neuronophagia of DRG neurons also point to a delayed
destructive process of the remaining nerve cells [13]. Evidence of iron
dysmetabolism in DRG of FA is limited. Iron assays in digests of DRG yielded 25.4
Fig. 9.Double-label laser scanning confocal immunofluorescence
microscopy of class III-
Fig. 10.Immunohistochemistry and double-label laser scanning confocal
immunofluorescence microscopy of ferroportin in DRG. (A,B) Ferroportin in DRG,
immunohistochemistry; (C–E), double-label immunofluorescence microscopy of class
III-
Many questions remain about iron in FA. The disease does not cause accumulation of total iron in any of the affected tissues. Nevertheless, the study of FA cardiomyopathy confirms iron in cardiomyocytes that undergo necrosis. It is unknown whether this process contributes to the clinical manifestations of heart disease in FA that include myocarditis and fibrosis. Fibrosis is more widespread than iron accumulation in a small percentage of heart fibers.
The destruction of the dentate nucleus in FA includes progressive atrophy of large nerve cells. The studies described here do not prove a role of iron in this process, and the accumulation of iron and its surrogate marker ferritin in white matter oligodendroglia suggest a downstream effect of nerve cell atrophy.
The role of iron in DRG in FA is not readily explained. The apparent translocation of ferritin and ferroportin to perineuronal satellite cells points to iron dysmetabolism at the cellular level but does not clarify the overall role of iron in the pathogenesis of the DRG lesion in FA.
AHK designed the research study, made figures and wrote the manuscript.
Not applicable.
The author thanks the families of FA patients who over many years permitted autopsies to help research in this disease. Drs. Sonia Levi and Paolo Santambrogio generously donated anti-mitochondrial ferritin, and Dr Mitchell Knutson provided anti-ferroportin. The author also acknowledges the Veterans Affairs Medical Center in Albany, NY, USA, for providing access to a large laboratory. Dr. Joseph E. Mazurkiewicz, Albany Medical College, generated the double-label immunofluorescence images on his Zeiss LSM 880 laser scanning confocal microscope.
National Institutes of Health (R01-NS069454) and Friedreich’s Ataxia Research Alliance.
The author declares no conflict of interest.
References
Publisher’s Note: IMR Press stays neutral with regard to jurisdictional claims in published maps and institutional affiliations.










