1 Department of General Surgery, University of Medipol, Medical Faculty, 34718 İstanbul, Turkey
2 Department of Obstetrics and Gynecology, University of Health Sciences, Istanbul Education and Research Hospital, 34098 İstanbul, Turkey
Abstract
Background: To analyse risk factors for cesarean section (CS)-induced
incisional hernia in reproductive-aged women. Outcomes of minimal invasive
herniorrhaphy and open technique were presented. Methods: Records of
patients with Pfannenstiel hernia between 2010 and 2022 were reviewed. Risk
factors for incisional hernia were evaluated with surgical outcomes.
Results: 76 patients were included. Mean age was 46
Keywords
- cesarean section
- Pfannenstiel incision
- incisional hernia
- risk factors
- laparoscopy
- herniorrhaphy
- surgical outcomes
Cesarean section (CS) is the most common abdominal surgery worldwide since it accounts for almost one third of all births, and this rate is set to continue increasing in the next decades [1, 2, 3]. Most of the obstetricians prefer to use Pfannenstiel incision, a low transverse skin incision two finger widths above the symphysis pubis that is extended to the direction of spina iliaca anterosuperior bilaterally, for urgent or elective CSs [4]. Cesarean delivery is considered a safe procedure, but awareness of the risk of surgical complications such as postpartum bleeding, atony, infection, hematoma, ileus, endometriosis and incisional hernia is important [5].
Although there have been dramatic improvements in wound complications of laparotomy over the last two decades, fascial dehiscence and incisional hernia seem to be unavoidable in 10 to 15% of operated cases [6]. Incisional hernias can occur after any abdominal surgical procedure where the abdominal wall is incised. It occurs at or in close proximity to a surgical incision through which intestines can protrude. Surgeons are often asked to evaluate patients with incisional hernias as they can often be symptomatic to patients. The classical presentation is a bulge with a positive cough impulse at the site of the incision scar. Patients with incisional hernias are also at risk for incarceration, obstruction, or strangulation [7]. The exact pathophysiologic mechanism for development for an incisional hernia is not clearly known. Male gender, length of fascial incision, prior laparotomies, use of corticosteroids or chemotherapy drugs, malnutrition or chronic systemic diseases such as liver or renal failure, anemia, diabetes mellitus (DM), obstructive pulmonary or cardiovascular disease are among the well-known risk factors for incisional hernia [7, 8]. However, in women of childbearing age, some other factors such as improper suture technique, smoking, emergency operation, obesity and early postoperative local wound complications may increase the risk of hernia after a CS [9].
The aim of this study was to analyse the risk factors for incisional hernia after cesarean delivery. Besides, we also shared our experience in diagnosis and treatment of Pfannenstiel incision induced hernia in reproductive-aged women.
After the approval of study by Ethics’Committe (University of Medipol, Medical Faculty-01.08.2023/E-10840098-772.02-4702), medical records of patients who were admitted with a diagnosis of Pfannenstiel incisional hernia following CS(s) and underwent surgery between January 2010 and December 2022 were reviewed. Patients signed written informed consent allowing their data to be used in medical researches. Study was carried out in accordance with the declaration of Helsinki.
All women aged 18 years or older who underwent surgery for Pfannenstiel incisional hernia were included in the study. Demographics, symptoms, physical examination findings, and imaging tools used for differential diagnosis were documented. History of smoking and pre-existing conditions including wound complications, systemic diseases and utilization of drugs (if any) were interrogated. Surgical notes of previous CS(s), exact date(s) of CS(s) before the start of hernia symptoms were noted. Body mass index (BMI), abnormal peri-operative laboratory values, surgical technique for hernia repair and postoperative complications during follow-up period were also recorded. All data were recorded at Excel programme (Microsoft 2017, Chicago, IL, USA).
Women with incisional hernia at a site other than CS incision scar and those with history of previous laparotomies other than CS were excluded from the study. Other exclusion crieteria were those aged under 18 years, patients who are lost to follow-up visits or appointments, and lastly, patients with missing information in their medical records.
Standard operative technique was a low lying suprapubic Pfannensteil’s incision in the beginning of operation; and at the end, one-layer continuous suturing of uterus, leaving peritoneum open and closing fascia continuously, as described previously in the literature [10].
Statistical analyses were calculated using SPSS 19.0 for Windows (IBM SPSS
Statistics, New York, NY, USA). Descriptive statistical methods (number, mean,
standard deviation, median, frequency, percentage, minimum, and maximum) were
used while evaluating the study data. Categorical Fisher’s exact test and
continuous variable Mann-Whitney U testwere used to evaluate associations among
predictive variables. p
A total of 76 patients were included in the study, and mean age was 46
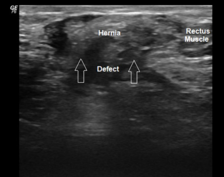
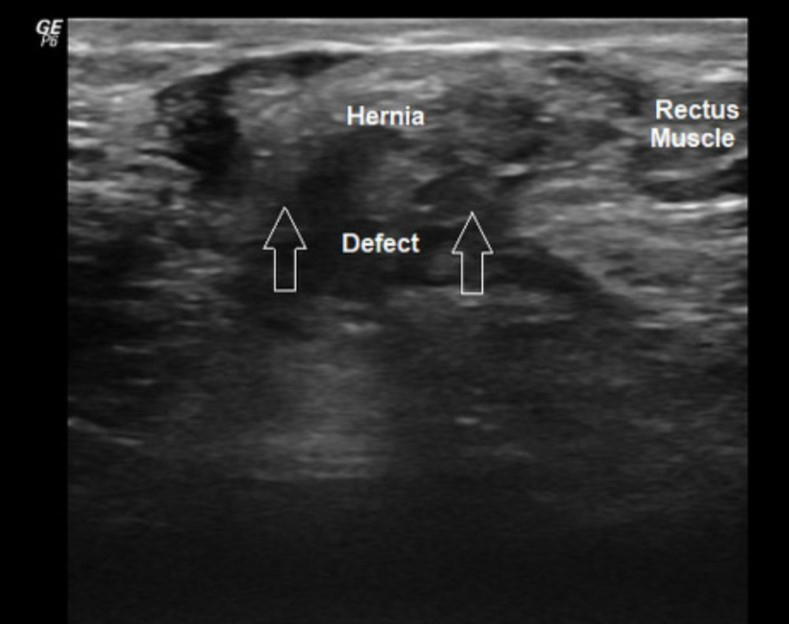
Fig. 1.Superficial soft tissue ultrasonography showing bulging in Pfannensteil incision site.
Risk factors for incisional hernia are listed in Table 1. In patients who have
had two or more CSs, the risk for Pfannenstiel hernia increased very
significantly (p
| Risk factors | Number of patients (n = 76) | Percent (% = 100%) | |
| Previous history of cesarean section (CS) (n = 1) | 9 | 11.8* | |
| CSs (n = 2) | 23 | 30.2** | |
| CSs (n = 3) | 21 | 27.6** | |
| CSs (n = 4) | 23 | 30.2** | |
| Wound complications after CS | |||
| Seroma | 6 | 7.8* | |
| Infection/abscess | 12 | 15.7* | |
| Hematoma | 9 | 11.8* | |
| Dehiscence of skin edges | 1 | 1.3 | |
| Evisceration | 1 | 1.3 | |
| Smoking ( |
28 | 36.8** | |
| Body mass index (BMI) underweight ( |
3 | 3.9 | |
| Normal (18–25) | 24 | 31.5 | |
| Overweight (25–30) | 33 | 43.4*** | |
| Obese ( |
16 | 21** | |
| Other risk factors and systemic diseases | |||
| Drugs (steroids or immunosuppressives) | 1 | 1.3 | |
| Anemia (hemoglobin level |
3 | 3.9 | |
| Diabetes mellitus (DM) | 2 | 2.6 | |
| Pregnancy-induced DM | 14 | 8.4** | |
| Liver failure/renal failure | - | - | |
| Chronic obstructive pulmonary disease (COPD) or chronic cough | - | - | |
| Cardiovascular disease (CVD)**** | - | - | |
| Malignancy | - | - | |
| Malnutrition | - | - | |
| Anatomic or genetic diseases (thin fascia, connective tissue anomaly) | - | - | |
| Inadequate surgical technique***** | 8 | 10.5* | |
| Emergency CS | 15 | 19.7** | |
| Recurrent disease | 16 | 21** | |
*p
**p
****Myokardial infarction, heart failure, angina pectoris or intermittent
claudication;
*****Recurrence in postoperative year one in a patient with no other risk
factors.
In all emergency cases (n = 4, 5.2%) and in nearly half of elective patients (n = 35, 46%), open surgery (total n = 39, 51.3%) was performed depending on surgeon’s preference. After dissection of fascia and reduction of hernia sac contents (mostly colon), fascial closure with continuous PDS loop (polydioxanone suture no 0 or 1, Ethicon, Somerville, NJ, USA) and onlay polypropylene mesh reinforcement were done. In laparoscopic herniorrhaphy (n = 37, 48.6%; Fig. 2), first trocar was inserted in upper quadrants, away from the hernia, and after taking the bowel down into the abdomen and dissection of the fascia, adjustable prolene mesh was fixed by help of tacker (Figs. 3,4). All patients were given a single dose of prophylactic antibiotic (cefazolin 1 g, iv) during induction of anesthesia. There was no iatrogenic bowel injury in both open and laparoscopic surgeries. Postoperative recovery period was generally uneventful. Three patients (3.9%) were followed in the intensive care unit (ICU) for one night, because they needed respiratory support. There was no mortality. Patients were dischaged home on postoperative day three (mean, range 1–12 days). They were routinely seen at our outpatient clinic on postoperative months 1 and 12, and at the end of the study, each of them was called by phone. Mean follow-up period after herniorrhaphy surgery was 72 months (range, 6–136 months).
Fig. 2.Trocar sites in laparoscopic repair.
Fig. 3.Laparoscopic view of hernial defect.
Fig. 4.Laparoscopic view of mesh repair.
Early (first month after surgery) and late postoperative complications are
listed in Table 2. The most common early complications in postoperative period
were surgical site seroma and infection (p
| Complications | Number of patients | Percent | |
| (n = 76, O/L) | (100%) | ||
| Early | |||
| Bowel injury (need for raphy) | - | - | |
| Bowel injury (need for ostomy) | - | - | |
| Prolonged paralytic ileus ( |
9 (9†/0) | 11.8*† | |
| Mechanical ileus (need for re-operation) | - | - | |
| Seroma | 17 (10/7) | 22.3** | |
| Bleeding/hematoma | 3 (2/1) | 3.9 | |
| Infection/abscess (surgical site or mesh) | 8 (4/4) | 10.5* | |
| Dehiscence of skin edges | 3 (1/2) | 3.9 | |
| Early evisceration | - | - | |
| Cardiopulmonary (mild) | 4 (2/2) | 5.2 | |
| Cardiopulmonary (severe) | - | - | |
| Late | |||
| Infection/abscess (surgical site or mesh) | 3 (2/1) | 3.9 | |
| Late evisceration ( |
- | - | |
| Mesh migration or erosion | - | - | |
| Mechanical ileus (brid, adhesion) | 4 (3/1) | 5.2 | |
| Chronic surgical site pain | 8 (0/8††) | 10.5*†† | |
| Recurrence of incisional hernia | 6 (3/3) | 7.8* | |
O, open surgery; L, laparoscopic surgery.
*p
†Prolonged paralytic ileus was seen only in patients who underwent
open surgery;
††Chronic surgical site pain was seen only in patients
who underwent laparoscopic surgery.
CS is the delivery of a fetus through an open laparotomy, most preferably from suprapubic low transverse Pfannenstiel incision, and it is now the most frequently performed surgery in the world, with more than one million operations done each year in United States alone [2, 4, 11]. CS rate is increasing worldwide from around 5% in 1970s to over 30% in 2018 [12]. Similarly, many recent studies have found a significant increase in both short and long term complications related to CS [13, 14, 15]. However, though there are continuing efforts to reduce the rate of CSs, experts do not anticipate a significant decrease for at least two or three decades [16]. Moreover, according to the World Health Organization (WHO)’s latest research, CSs now outnumber the vaginal deliveries in Dominic, Brasil, Egypt and Turkey, and this rate reaches the highest figure (almost 60%) in Cyprus [17]. As with any abdominal surgery, there are a number of risks or complications associated with cesarean delivery, such as atony, bleeding, infection, thromboemboli, endometriosis and incisional hernia [5, 14, 18].
Although there are many publications on the more common complications of CS,
scientific research on Pfannenstiel incisional hernia, its underlying causes and
outcomes of herniorrhaphy is very scarce [19, 20]. Incisional hernia is one of
the long-term complications of abdominal surgery, with an incidence of 3 to 30%
in association with a midline incision and 0 to 5% with a transverse incision
[21]. The risk increases in longer operations with wide incisions of malnourished
older male patients, and in patients taking immunosuppressive agents or those
with chronic systemic diseases, such as anemia, DM, etc. [7, 8]. As for
the younger and healthy female patients with Pfannenstiel incisional hernia, very
few studies in the literature report that smoking and obesity, as modifiable
factors related to lifestyle, are independently associated with increased risk
[9, 22]. It is well known that cigarette smoking negatively impacts wound healing
process, and local wound complications such as seroma are more common in operated
patients with higher BMI [23]. Moreover, maternal overweight and obesity have
been rising very rapidly for the last three decades, reaching over 50% in many
developed or developing countries [24]. In our series, the ratio of patients with
BMI
Shand et al. [26] have suggested that women with two CSs had a
threefold increased risk of incisional hernia, which increased to sixfold after
five CSs (95% confidence interval (95% CI) 3.99–9.93, p
Radiologic workup including US, CT or MR imaging has always been used for
definitive diagnosis of hernia [28, 29, 30]. However, since majority of our patients
had significant bulging at their suprapubic area, radiology often provided us
with a road map offering guidance in operative planning and also raised awareness
of possible pitfalls that could occur during surgery. We usually combined soft
tissue US (90%) with at least one of the contrasted pelvic CT (70%) or MR
(30%) scan. Therefore, in our series, there was no important morbidity such as
bowel injury requiring suture raphy or diverting stoma. Moreover, knowing the
anatomic structures and adhesions between the fascia and bowel loops or
pre-placed mesh in complicated cases helped us decide on the type of dissection
or surgery. Although there are many publications reporting clear advantages of
minimal invasive incisional herniorrhaphy since its introduction in early 1990s,
most recent studies from high volume hospitals suggest similar outcomes in open
and laparoscopic surgery [31, 32, 33]. In our series, prolonged paralytic ileus was
seen only in patients who underwent open surgery (p
The present study has several strengths. It has a comparably large sample size and provides information on treatment practices in such a specific population. This enhances external validity, i.e., the generalisability of the method. On the other hand, main limitations of the study are its retrospective design and observational nature leaving the possibility of confounding bias.
In conclusion, since worldwide CS rate continues to rise, clinicians will encounter reproductive-aged women with incisional hernia much more often. Identification of risk factors, assessment of abdomen with proper radiological imaging, and awareness of surgical optionsare of great importance for a good outcome.
All raw data (on Excel format with all patients’ names shaded) and statistical work about this study are available upon request as supplementary files (please contact the corresponding author).
AF: conception, formal analysis, investigation, methodology, writing original draft in English, re-writing after review and final edition. NS: operations on patients, obtaining Ethics Committee approval, data curation, interpretation of data, review, revising the draft critically for important intellectual content. Both authors have participated sufficiently in the work and agreed to be accountable for all aspects of the work. Both authors read and approved the final version of manuscript.
Approval for the present study was obtained from the institutional review board of University of Medipol, Medical Faculty (01.08.2023/E-10840098-772.02-4702). All patients provided informed consent.
We would like to express our gratitude to the reviewers for their suggestions and contributions.
This research received no external funding.
The authors declare no conflict of interest.
References
Publisher’s Note: IMR Press stays neutral with regard to jurisdictional claims in published maps and institutional affiliations.




