- Academic Editor
-
-
-
Microvascular-flow (MV-Flow) imaging (Samsung Medison Co., Ltd., Seoul, Korea) was utilized to assess placental perfusion in the first-trimester of pregnancy during the Omicron epidemic. The correlation between placental vascular index with microvascular flow (VIMV) and uterine artery (UtA) Doppler parameters, as well as pregnancy outcomes, was examined.
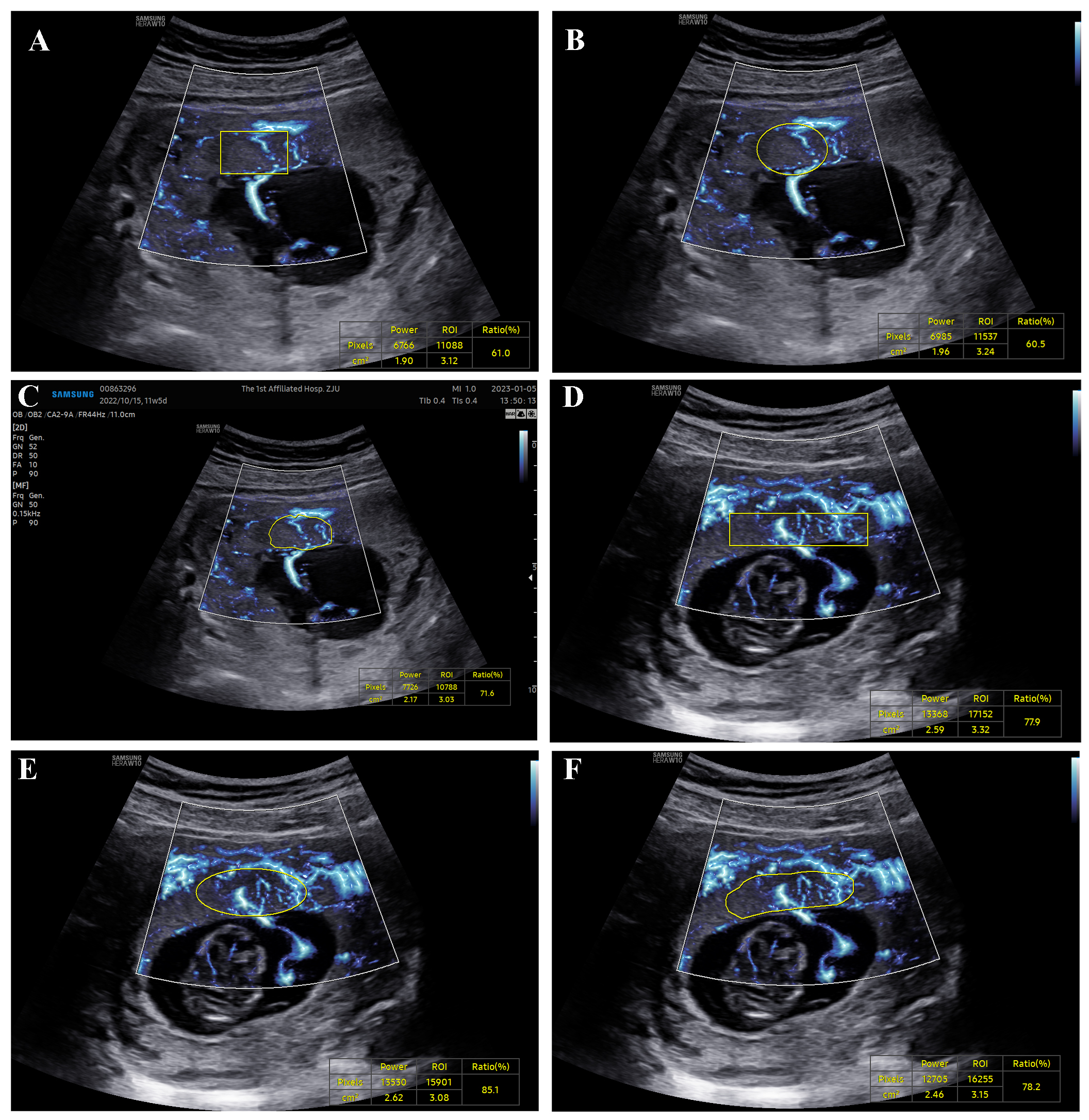
A total of 37 pregnant women who underwent early fetal screening ultrasound examinations at the First Affiliated Hospital of Zhejiang University School of Medicine from December 2022 to February 2023 were analyzed. Among them, 30 were infected with coronavirus disease 2019 (COVID-19) and 16 were delivered, while 7 were not infected. General information about the pregnant women, including age, gestational age, nuchal translucency (NT), maternal history, and placental location, was collected. MV-Flow technology was used to measure VIMV. Simultaneously, the systolic/diastolic (S/D) maximum blood flow velocity, resistance index (RI), and pulsatile index (PI) were measured. The differences in the ultrasound parameters mentioned above were compared among the various groups. The infection group was further categorized into good pregnancy outcome and adverse pregnancy outcome groups based on pregnancy results. The general data and ultrasound parameters of the adverse pregnancy outcome group were then compared and analyzed.
There were no statistically significant differences between the infection group and the normal group in terms of age, gestational age, parity, gestational number, placental position, placental thickness, and other factors (p > 0.05). The VIMV values obtained by elliptical, rectangular, and manual tracing methods at the same placental level in the MV-Flow mode showed no statistically significant differences (p > 0.05). Except for PI of right UtA, The VIMV values and the S/D, PI, and RI of UtA were not significantly different between the infection group and the normal group (p > 0.05). Within the infection group, no significant differences were observed in VIMV value, placental thickness, S/D ratio, PI, RI of UtA, or neonatal weight between the adverse pregnancy outcome good pregnancy outcome group (p > 0.05).
MV-Flow technology can quantitatively evaluate placental microvascular perfusion, and the VIMV is not influenced by the tracing method, making it a reliable indicator for monitoring the intrauterine status of the fetus. No significant differences in VIMV values were observed between the infection group and the normal group. The findings suggest that early infection with the Omicron variant does not impact placental blood perfusion. Infection with the Omicron variant during the first-trimester of pregnancy does not increase the risk of adverse pregnancy outcomes for the fetus. However, further studies are needed to reach a definitive conclusion on this topic.


