1 Department of Maternal and Child Health and Urological Sciences, Umberto I Hospital, “Sapienza” University of Rome, 00161 Rome, Italy
2 Department of Experimental Medicine, Umberto I Hospital, “Sapienza” University of Rome, 00161 Rome, Italy
Academic Editors: Michael H. Dahan and Johannes Ott
Abstract
Background: Our purpose is to describe the ultrasound findings, both with bi-dimensional and three-dimensional imaging, suggestive of spontaneous septostomy in monochorionic-diamniotic twin pregnancies. Methods: PubMed, Medline and reference lists were searched using “Spontaneous septostomy and twin pregnancy” as keywords. Seventeen articles reporting a total of 25 cases, adding our own, were included in the systematic review. Only English full text articles, the main purpose of which was to describe spontaneous septostomy in twin pregnancies, were included. Results: In our sample the major ultrasound sign arousing suspicion of spontaneous septostomy was found to be an absent or disrupted inter-twin membrane (79% of cases). Twins close to each-other were described in 33% of cases, while cord entanglement was suspected only in 27% of cases. We reported a lower antenatal detection of entanglement when compared with intrapartum evaluation (27% vs 59%). Adverse fetal outcomes occurred in 12% of cases, while 88% of cases were born alive. Conclusions: Spontaneous septostomy represents a diagnostic and clinical challenge for obstetrics providers. Clinicians must focus on ultrasound findings to close surveil fetal wellness and reduce both fetal and neonatal impairment.
Keywords
- cord entanglement
- monochorionic twin pregnancies
- pseudo-monoamniotic pregnancy
- spontaneous septostomy
- ultrasound
Monochorionic twin pregnancies (MC) have an estimated incidence of around 20% of all twin pregnancies, with a rate of 3–4/1000 pregnancies for monochorionic-diamniotic (MC-DA) and 1/10,000 pregnancies for monochorionic-monoamniotic (MC-MM) respectively [1, 2]. MC pregnancies have a higher risk of fetal demise and perinatal mortality, ranging around 75% due to the consequences of the unique placenta. This could lead to several fetal complication such as selective intrauterine growth restriction (S-IUGR), Twin-to-Twin Transfusion Syndrome (TTTS), Twin Reversed Arterial Perfusion Sequence (TRAP) and fetal congenital anomalies [3, 4]. Cord entanglement (CE) is a complication specific for MM twins, described as a loop of the two umbilical cords [5, 6, 7]. It can occur approximately in up to 70% of MC-MM pregnancies [5, 8]. Spontaneous septostomy (SS) has been rarely described in literature as it represents an uncommon event. It generally occurs in MC-DA twin pregnancies, but it has also been described in dichorionic-diamniotic (DC-DA) pregnancies [9, 10]. It could be due to trauma or physical rupture eventually caused by several possible factors (infection, developmental disorders, diagnostic invasive procedures, etc.) and fetoscopic findings suggest that the main mechanism of spontaneous septostomy may be represented by a pressure imbalance given by an excessive enlargement of one of the two sacs.
Overall, the leading cause of septostomy is iatrogenic, due to in utero intervention for TTTS or TRAP Sequence, amniocentesis or cordocentesis [11, 12]. When a SS occurs, the resultant pseudo-monoamniotic pregnancy (PMM) could also be complicated by cord entanglement with a little higher incidence, ranging around 72% of cases [13].
The aim of the present study is to describe the ultrasound findings, both with bi-dimensional and three-dimensional imaging, suggestive of spontaneous septostomy in monochorionic-diamniotic twin pregnancies.
We report a case of spontaneous septostomy in a MC-DA twin pregnancy complicated by cord entanglement and provide a review of all antenatal diagnosis of SS cases described in literature.
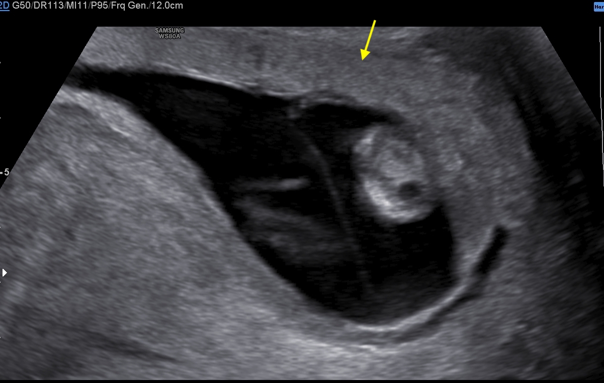
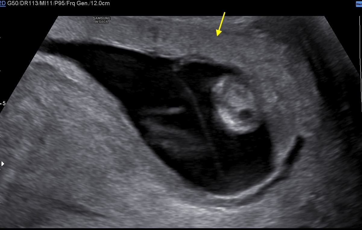
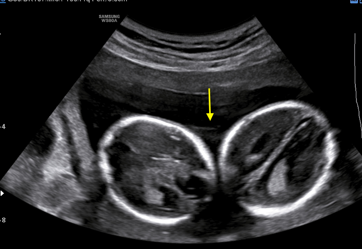
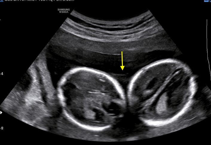
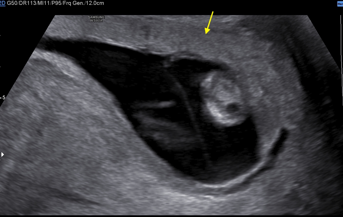
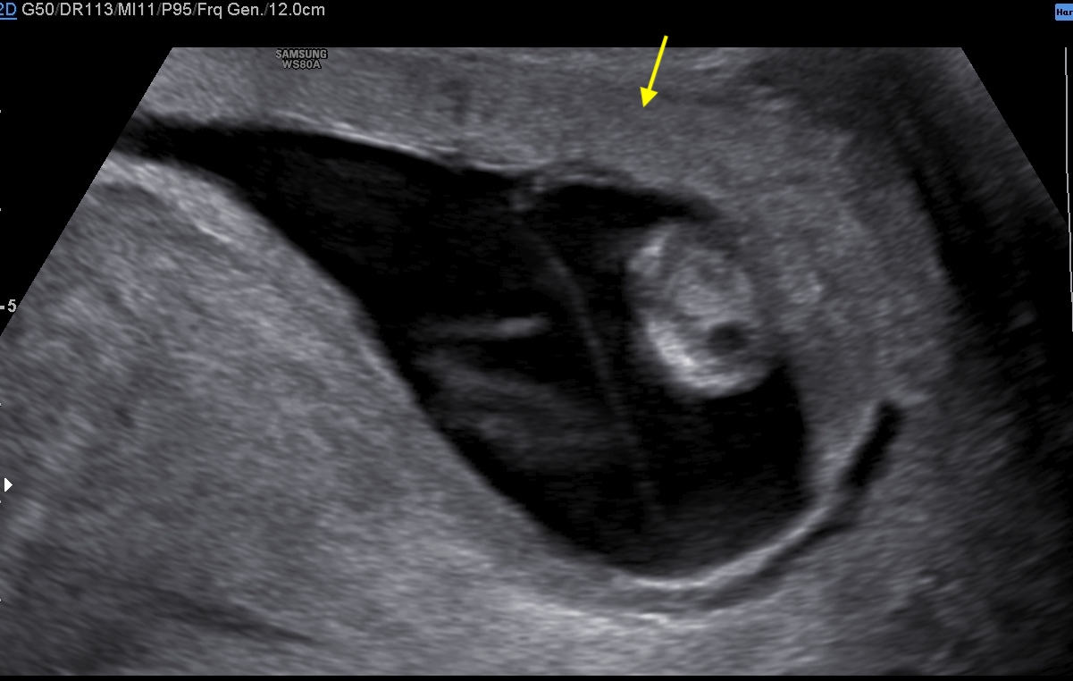
A healthy 39-year-old woman G4P3 was admitted to our high-risk pregnancy outpatient service due to a MC-DA twin pregnancy. Monochorionicity was suspected by the referring gynecologist during the dating ultrasound scan (US). The nuchal translucency US at the 12th week of gestation highlighted a “T” sign of the dividing membrane with a unique anterior placenta confirming a MC-DA twin pregnancy, as shown in Fig. 1. Soft markers for trisomy were found to be normal for both twins. The US performed during the 14th week of gestation showed the twins significantly closer to each-other standing on the same side of a free-floating thin membrane inserted on the placenta. This image raised the suspicion for a spontaneous septostomy (Fig. 2). The patient underwent amniocentesis as the combined serum screen showed an increased risk for Trisomy 21. US assisted invasive procedure did not detect the dividing membrane deposing for a PMM twin pregnancy following SS. A single sample of amniotic fluid was obtained and tested normal for fetal karyotype (46, XX). According to International Guidelines US imaging was performed every two weeks. Anomaly scan was normal and all subsequent Doppler US showed a normal twin growth and fetal wellbeing until the early third trimester [14, 15, 16]. The US performed at the 27th week of gestation showed a strict contiguity of the umbilical cords with a suspicion for cord entanglement on 3-dimensional (3D) US (Fig. 3A,B). The patient was hospitalized for close pregnancy surveillance. Fetal heart monitoring and US scan were daily performed. Steroids were administered for prevention of respiratory distress syndrome. The 29th week US scan highlighted a growth discordance ranging around 21% (symmetric growth at the 71° centile (estimated weight: 1328 gr) and at the 36° centile (estimated weight: 1043 gr) for Twin A and Twin B respectively). An episode of prolonged bradycardia was registered for Twin A. An emergency cesarean section was performed: two healthy girls were born (Twin A: weight 1360 gr, Apgar 4 and 7 at 1st and 5th minute respectively — Twin B: weight 1000 gr, Apgar 8 and 9 at 1st and 5th minute respectively). Cord entanglement was confirmed as shown in Fig. 4. The mother’s postoperative recovery was uneventful. Twins’ developmental follow-up at 12 months of age was normal.
Fig. 1.Sonogram depicting the “T” sign of the dividing membrane with a unique anterior placenta.
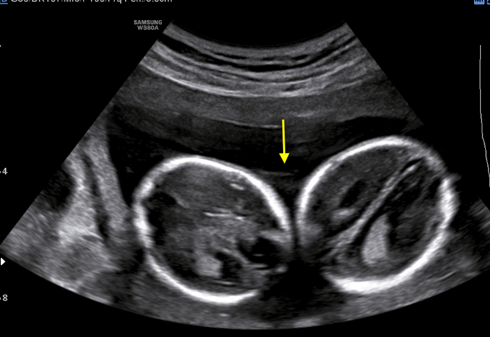
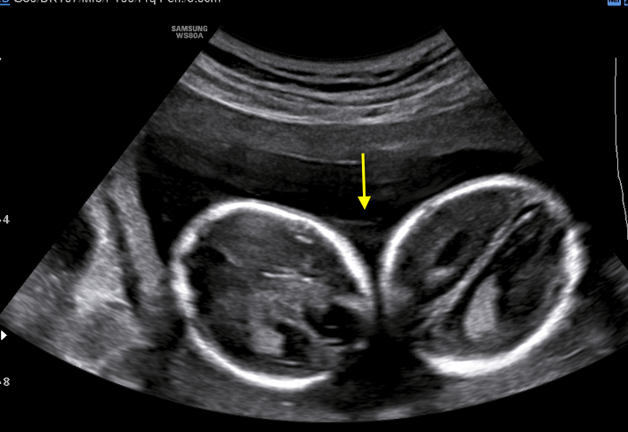
Fig. 2.Sonogram depicting a thin free-floating membrane inserting on a unique anterior placenta with the two twins standing close to each other on the same side of the membrane.
Fig. 3.Sonograms depicting 3-dimensional imaging of cord entanglement suspected during the 27th week US.
Fig. 4.Intraoperative imaging of the cord entanglement during emergency cesarean section.
We searched PubMed, Medline and reference lists to identify articles describing antenatal detection of SS. The search was performed using “Spontaneous septostomy and twin pregnancy” as keywords. Our criteria for including reports were an antenatal detection of SS and the presence of data about the fetal and/or neonatal outcome. We excluded articles describing iatrogenic causes of Septostomy. Chorionicity, timing of US diagnosis of SS, US findings raising suspicion of SS, intrapartum evaluation of CE and fetal outcome were analyzed for each case included: our results were described by percentages. Reports with missing data were excluded from the statistical analysis, and percentages were reported only for available data.
Our preliminary literature search identified 15 publications. We excluded all articles describing in utero intervention as the leading cause of septostomy. We selected 10 studies and we added to our analysis seven further articles that had eluded our search but meet the review inclusion criteria. In total we stated 17 qualifying articles, with a final population of 24 patients. We added our own case in the statistical analysis (Fig. 5; Table 1, Ref. [5, 8, 9, 10, 11, 13, 17, 18, 19, 20, 21, 22, 23, 24, 25, 26, 27]). The majority of SS cases were detected in the second trimester [12] SS was suspected at US scan of the third trimester in 6 cases. Timing of US diagnosis was not reported in the remaining 7 cases. CE was suspected at the US evaluation only in 5 cases (5/18; 27%); 6/18 (33%) of twins were found to be close to each-other and an absent or disrupted inter-twin membrane was described in 15/19 pregnancies (79%). Intrapartum evaluation of CE was reported in 13 cases (13/22; 59%), confirming the US suspicion in 3 cases. The median gestational age at delivery was 32 weeks (range 22–38). There were 42 live births (42/48; 88%); four pregnancies were complicated by intrauterine fetal death (IUFD) (4/48; 8%), while one neonatal death due to amniotic band syndrome (ABS) and one case of perinatal hypoxia were described (2/48; 4%). We reported one case of elective termination of pregnancy (TOP) due to progressive TTTS and fetal central nervous system (CNS) malformation, two cases of ABS and one pregnancy complicated by TRAP sequence. A summary of our results is shown in Table 2.
Fig. 5.Flow chart for study selection. SS, Spontaneous septostomy.
| Author | Cases of SS | Chorionicity | Timing of US diagnosis of SS | CE at US | TTTS | Closer twin | Absent or disrupted inter-twin membrane | Timing of delivery | Intrapartum evaluation of CE | Outcome | |
| Twin A | Twin B | ||||||||||
| Chen [23] | 1 | MC-DA | 29 | – | – | – | + | 37 | + | Healthy | Healthy |
| Aisenbrey [24] | 1 | MC-DA | 26 | – | – | – | – | 30 | – | Healthy | Healthy |
| Nasrallah [20] | 1 | MC-DA | 36 | – | – | – | + | 36 | + | Healthy | Perinatal hypoxia |
| Sherer [19] | 1 | MC-DA | 26 | + | – | – | + | 34 | + | Healthy | Healthy |
| Chmait* [17] | 1 | MC-DA | 18-20 | – | + | + | + | 27 | – | Healthy | Healthy |
| Chmait* [17] | 1 | MC-DA | 18 | – | + | – | + | 22 | – | TOP** | IUFD |
| Chmait* [17] | 1 | MC-DA | 20 | + | – | – | – | 34 | – | Healthy | Healthy |
| Chmait* [17] | 1*** | MC-DA | 19 | + | – | – | + | 38 | NA | Healthy | Acardic twin |
| Yoshimura* [11] | 1 | MC-DA | 24 | – | + | – | + | 32 | + | Healthy | Healthy |
| Jeanty [10] | 1 | DC-DA | 19 | – | – | + | + | 32 | – | Healthy | Healthy |
| Jeanty [10] | 1 | DC-DA | 21 | – | – | + | + | 31 | – | Healthy | Healthy |
| Chadha [5] | 1 | MC-DA | 26 | – | NA | + | + | 29 | – | Healthy | Healthy |
| Fleming [25] | 1 | MC-DA | NA | NA | NA | NA | NA | 36 | + | IUFD | Healthy |
| Lee [21] | 1 | MC-DA | 27 | – | – | – | + | 35 | + | Healthy | Healthy |
| Abraham [8] | 1 | MC-DA | NA | – | – | – | + | 34 | + | Healthy | Healthy |
| Khalek [26] | 1 | MC-DA | 20 | – | + | – | – | 24 | NA | IUFD | IUFD |
| Reif [9] | 1 | DC-DA | 12 | – | – | + | + | 31 | – | Healthy | Healthy |
| Suzuki [22] | 1 | MC-DA | NA | NA | NA | NA | NA | 28 | + | Healthy | Healthy |
| Suzuki [22] | 1 | MC-DA | NA | NA | NA | NA | NA | 35 | – | Healthy | Healthy |
| Suzuki [22] | 1 | MC-DA | NA | NA | NA | NA | NA | 36 | + | Healthy | Healthy |
| Suzuki [22] | 1 | MC-DA | NA | NA | NA | NA | NA | 37 | + | Healthy | Healthy |
| Bevilacqua [13] | 1 | MC-DA | 24 | NA | NA | NA | – | 24 | + | IUFD | IUFD |
| Ito [18] | 1 | MC-DA | 11 | + | – | – | + | 32 | + | Healthy | Healthy |
| Hvelplund [27] | 1 | MC-DA | NA | NA | NA | NA | NA | 32 | NA | Neonatal death |
Healthy |
| Our Case | 1 | MC-DA | 14-16 | + | – | + | + | 29 | + | Healthy | Healthy |
| Abbreviations: MC-DA, Monochorionic-Diamniotic; DC-DA, Dichorionic-Diamniotic;
US, Ultrasound; SS, Spontaneous Septostomy; CE, Cord Entanglement; IUFD,
Intrauterine fetal death; TOP, Elective Termination of pregnancy; TTTS,
Twin-to-twin transfusion syndrome; NA, Not reported. *All the fetuses underwent fetal treatment due to TTTS, selective intrauterine growth restriction (S-IUGR) or Twin Reversed Arterial Perfusion Sequence (TRAP); **Several ventriculomegaly; ***TRAP sequence; § Amniotic Band Syndrome (ABS); §§ Fingers amputation due to ABS. | |||||||||||
| Ultrasound finding | n (%) |
| Cord entanglement | 5/18 (27%) |
| Twins being close to each-other | 6/18 (33%) |
| Absent or disrupted intertwin membrane | 15/19 (79%) |
| Fetal outcome | n (%) |
| Live births | 42/48 (88%) |
| IUFD | 4/48 (8%) |
| Neonatal demise | 2/48 (4%) |
| Abbreviations: IUFD, Intrauterine fetal death. | |
The diagnosis and management of a twin pregnancy complicated by SS is a real challenge for obstetric providers. Antenatal diagnosis is rarely described. Chmait et al. [17] reported an estimated incidence of SS ranging around 1.8% in a selected cohort of MC-DA complicated pregnancies. The leading cause is often unclear, but several hypotheses have been made: infectious diseases (chorioamnionitis), excessive fetal movements, a very thin inter-twin membrane, polyhydramnios, maternal trauma [5, 8]. Suggestive US findings of SS are a free-floating dividing membrane, twins being close to each-other on the same side of an absent or disrupted membrane, the absence of the sequence polyhydramnios-oligohydramnios when a high suspicion of TTTS occurs (donor with non-visible bladder or fetal growth restriction) and CE [5, 8, 17]. As reported by International Guidelines CE is almost always present in MC-MM pregnancies, although it does not seem to impact on prenatal morbidity or mortality [15, 16]. Anyway, this US finding should always be detected with Color Doppler and Pulsed Wave, both in bidimensional (2D) and 3D US imaging. It could appear as a loop between the umbilical cords with different arterial waveforms within the loop or as crossing vessels; two simultaneous different waveforms could be recorded within the entangled cords at Doppler evaluation [13, 17, 18]. The “hanging noose sign”, a pathognomonic US criterion for a true knot of the umbilical cord, could be a finding in PMM pregnancies complicated by entanglement [5, 19]. Umbilical cords can entangle as early as the SS occurs, while it has been rarely described later in pregnancy due to the physiologically restricted intrauterine space [8, 20]. According to our review, CE was described as an US finding only in 5 cases (5/18, 27%) and all the reports were detected in the second trimester. We highlighted a low antenatal detection rate of entanglement when comparing intrapartum evaluation with antenatal suspicion (13/22, 59% vs 5/18, 27%), with only 3 cases being confirmed. In our review the incidence of entanglement is slightly lower than estimates in previous studies (64% vs 72% in PMM) [11, 13, 20, 21]. The main US prenatal findings for SS in MC-DA were an absent or disrupted membrane (15/19, 79%) and twins being close to each-other (6/18, 33%). In our case we found both signs listed above. The CE diagnosis was easier thanks to 3D US imaging that showed a loop of the two different umbilical cords. In case of SS, pregnancy management is similar to MC-MM. The resultant PMM showed similar rates of neonatal death, perinatal morbidity and mortality compared to MC-MM (up to 17% until the 28th week of gestation decreasing to 4% after the 32nd week) [13, 15, 22]. In our sample we report a rate ranging around 21% for fetal and neonatal demise (6 cases of intrauterine fetal death—1 elective termination of pregnancy—1 perinatal hypoxia—1 neonatal death respectively).
In conclusion, it is highly recommended to refer these pregnancies in a high-risk pregnancy unit, due to possible fetal and neonatal complications. We encourage clinicians to carefully focus on US findings of SS and suggest a close surveillance of fetal wellness if suspicion of PMM arises to properly counsel parents and reduce the rate of fetal and neonatal morbidity and mortality.
CB performed the research and wrote the manuscript. VD designed the study. EM, FV and DDM analyzed the collected data. SC and MB collected the data. AG designed the study and critically reviewed the manuscript. All authors read and approved the final manuscript.
The local Institutional Review Board deemed the study exempt from review. Informed consent has been obtained from the patient.
Not applicable.
This research received no external funding.
The authors declare no conflict of interest. FV is serving as one of Guest editors of this journal. We declare that FV had no involvement in the peer review of this article and has no access to information regarding its peer review. Full responsibility for the editorial process for this article was delegated to MHD and JO.





