1 Department of Obstetrics and Gynaecology, Zhongda Hospital, School of Medicine, Southeast University, 210009 Nanjing, Jiangsu, China
2 Institute of Women's Life and Health, Southeast University, 210009 Nanjing, Jiangsu, China
Academic Editor: Michael H. Dahan
Abstract
Background: Clinically, postoperative pseudoaneurysm rupture following gynecological radical surgeries is a very rare but fatal complication. The occurrence of this fatal complication should arouse the concern of clinicians. Accurate diagnosis and immediate treatment is needed for this emergency condition. Case: A 56-year-old women had life-threatening bleeding caused by ruptured external iliac artery pseudoaneurysm five months after pelvic exenteration for recurrent cervical squamous carcinoma. Emergency left external iliac artery covered stent placement was successfully performed to control the massive bleeding. The patient recovered well and no complication was observed during a three month follow-up period. Conclusions: In some cases, endovascular techniques may be an attractive alternative.
Keywords
- cervical cancer
- external iliac artery
- pseudoaneurysm
- massive bleeding
- postoperative complication
- pelvic surgery
Formation and rupture of an iliac artery pseudoaneurysm after extensive gynecological surgery is a rare but life-threatening complication [1, 2]. Due to sudden and massive bleeding, a pseudoaneurysm is commonly considered as an emergency and needs to be diagnosed accurately and immediately [3]. In this article, we presented a patient with recurrent cervical cancer who suddenly developed massive intra-abdominal hemorrhage followed by hemorrhagic shock five months after initial pelvic exenteration, the hemorrhage was later attributed to a ruptured left external iliac artery pseudoaneurysm. Emergency external iliac artery covered stent placement was performed, and the bleeding was controlled effectively.
A 56-year-old woman originally diagnosed with squamous cell carcinoma of the cervix stage IIB (FIGO, Federation International of Gynecology and Obstetrics) developed a recurrence 16 months after radical chemoradiotherapy (Fig. 1). She underwent further pelvic exenteration, including ultra radical hysterectomy (Q-M Type D), bilateral adnexectomy, right ureteral stent implantation, left pelvic lymph node dissection, partial cystectomy, total vaginectomy, left internal iliac arteriovenous resection, left pelvic floor muscle resection and left ureteral replantation. In addition, chemotherapy was performed after surgery. Two months after the surgery, she underwent bilateral ureteral stent replacement and left percutaneous nephrolithotomy due to vesicovaginal fistula formation. Bilateral nephrostomy tube replacement was performed due to right nephrostomy tube obstruction. This procedure was done five months after the initial surgery during the patient’s third hospitalization. Unpredictably, the next day, she suddenly had massive intra-abdominal and vaginal bleeding, rapid circulatory disturbances and persistent hemorrhagic shock, which resulted in a rapid drop in hemoglobin from 109 to 48 g/L (reference range 115–150 g/L).
Fig. 1.The cervical canal wall was irregularly thickened with increased 18F-fluorodeoxyglucose (FDG) metabolism and multiple small lymph nodes. At the L3 vertebral level, FDG metabolism was slightly increased in the left para-abdominal aorta and bilateral groin, with the possibility of lymph node metastasis.
Internal jugular central venous catheterization, massive blood transfusion and
drugs administration were done as an emergency exploratory interventional
surgical was performed simultaneously. Bilateral renal artery angiography showed
no vascular anomalies and contrast spillover. However, there was obvious contrast
agent spillover on the left external iliac artery (Fig. 2). The patient was
diagnosed with a ruptured left external iliac artery pseudoaneurysm. A covered
stent, measuring 8 mm
Fig. 2.Angiography showed obvious contrast agent overflow from ruptured pseudoaneurysm on the left external iliac artery (arrow).
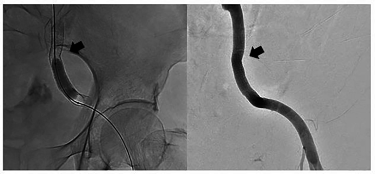
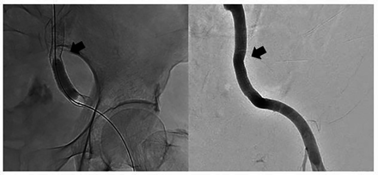
Fig. 3.A covered stent was introduced using a guide wire. Distal angiography showed no contrast agent overflow (between arrows).
Fig. 4.Angiography showed a small source of bleeding in the upper segment of external iliac artery stent (arrow).
Fig. 5.The second covered stent was placed and partial overlap the front one (arrow).
A pseudoaneurysm is a pulsatile hematoma formed after the rupture of an arterial wall. Later, the tissues around the hematoma are wrapped into a pulsatile mass that communicates with the arterial cavity [4, 5]. Owing to the mechanism of the hematoma which is characterised by no real blood vessel wall structure formation, it gradually increases in size with repeated rupture. Trauma, infection, Iatrogenic complication, injury by a tumor, vasculitis, atherosclerosis and infarction among others are potential risk factors for formation of pseudoaneurysms [6]. Furthermore, it should be noted that unreasonable clamping and pulling of vessels, and improper use of high energy equipment significantly increases the probability of vascular injury during radical cervical cancer operations. For example, when dissecting the ureter, abdominal aorta, iliac blood vessels and lymph node excision, the head of the energy instrument is placed too close to the vessel wall [7]. Insufficient haemostasis is also a potential risk factors for formation of pseudoaneurysms during surgery. In addition, old age, obesity, hypertension, coagulation dysfunction, severe arteriosclerosis and repetitive vascular invasive surgery may increase the risk of pseudoaneurysm [8, 9]. In this case, the pseudoaneurysm could be related to trauma of the external iliac artery caused by preoperative chemoradiotherapy and concurrent pelvic exenteration. In addition, the Computed Tomography (CT) scan suggested inflammatory exudation of local tissue may also lead to weakness and rupture of adjacent blood vessel wall.
Pseudoaneurysm is usually asymptomatic and is only accidentally discovered during surgery or radiographic examination [10, 11, 12]. Studies have shown that it can appear weeks or even months after initial surgery and the incidence of early rupture can be up to 30% [13, 14]. At present, it is believed that hemodynamic instability is an important factor in enlargement and rupture of pseudoaneurysm. Besides, postoperative infection of peripheral tissues around artery [15], thrombus obstructing the distal artery, tumor progression eroding the blood vessel wall, and the use of high-pressure syringe infusion of drugs during angiography are all other considerable factors [16, 17]. In this case, the pseudoaneurysm rupture is closely related to the further aggravation of local tissue infection.
Rupture of iliac artery pseudoaneurysm usually demands immediate diagnosis and management [18] by a multidisciplinary team of specialists that include gynaecologists, anaesthesiologists, blood transfusion and interventional radiology. The patients should quickly be treated for shock, deep vein catheterization, fluid and blood transfusion to restore blood pressure, and preoperative preparations should actively be done at the same time. Clinically, vascular repair or reconstruction is a common standard operative technique for the management of pseudoaneurysm rupture despite previous research have shown that surgery involves high mortality and morbidity [19]. Minimally invasive and simple to use endovascular techniques with a high success rate such as catheter embolization, endovascular isolation of covered stent or multi-layer bare stent and ultrasound-guided thrombin injection have partially replaced traditional surgical procedures in recent years [20, 21]. In general, intraoperative vascular rupture is preferably remedied by balloon or coil occlusion. However, pseudoaneurysm of the main artery should not be simply embolized. A covered stent may be an attractive alternative choice [22, 23] for blocking the bleeding source and at the same time leaves the main artery unobstructed and eliminates the need for further difficult vascular transplantation. Therefore, appropriate diagnosis and treatment plan should be made in time according to the location, severity, blood supply of pseudoaneurysm and the general situation of the patient.
Emergency vascular interventional surgery was promptly performed while haemostasis and treatment of shock was administered simultaneously. The covered stent was placed rapidly in the ruptured external iliac artery pseudoaneursm to block the bleeding source and it also ensured blood supply to the lower limbs. However, it should be noted that she needed to undergo a second interventional surgery 5 hours later. This could have been related to leakage of the covered stent or increased blood pressure and vasodilation. Moreover, clinicians should be alert to complications such as stent obstruction, deformation and kinking, stent loss, intimal hyperplasia and infection after placement [24]. However, no such complications were observed in the patient during follow-up.
In conclusion, a ruptured external iliac artery pseudoaneurysm after pelvic surgery in patients with malignant gynecologic tumors is extremely rare. The occurrence of this fatal complication should arouse the concern of clinicians. Accurate diagnosis and immediate treatment is needed for this emergency condition. In some cases, endovascular techniques may be an attractive alternative.
All the authors were involved in all of the patient’s treatments. Author XC contributed to manuscript preparation and editing. Author BD provided help and advice on the analysis of data. Author YS helped to revise and approve the final version. All authors read and approved the final manuscript.
This is a retrospective case report after the patient completed treatment. Informed consent was obtained and ethical discussions were conducted. Human trials and potential therapeutic damage were not involved.
The study was conducted in accordance with the Declaration of Helsinki, and the protocol was approved by the IEC for Clinical Research of Zhongda Hospital, Affiliated to Southeast University.
This research received no external funding.
The authors declare no conflict of interest.
References
Publisher’s Note: IMR Press stays neutral with regard to jurisdictional claims in published maps and institutional affiliations.





