1 Departments of Obstetrics, Women's Hospital, School of Medicine, Zhejiang University, 310058 Hangzhou, Zhejiang, China
2 Department of Reproductive Genetics, Women's Hospital, School of Medicine, Zhejiang University, 310058 Hangzhou, Zhejiang, China
†These authors contributed equally.
Academic Editor: Laura Avagliano
Abstract
Background: Placenta-specific 1 (PLAC1) is specifically expressed in the placenta and plays a fundamental role in placenta function. Aberrant expression of PLAC1 has been reported in pregnancy-related disorders; however, its expression in gestational diabetes mellitus (GDM) has not been clearly elucidated. This study aimed to investigate the expression of PLAC1 in the placenta of GDM patients, and its relationship with clinical characteristics. Methods: This was a case-control study. Placental tissues were collected from 37 GDM patients (GDM group) and 38 pregnant women with normal glucose tolerance (control group), matched with respect to maternal age and gestational weeks. We examined the expression of PLAC1 in the placenta of both groups and determined its association with clinical indicators. The localization of PLAC1 was confirmed by immunohistochemistry analyses. Results: PLAC1 expression was significantly lower in the placenta of GDM patients. For the control group, PLAC1 was positively correlated with pre-pregnancy body mass index (BMI), BMI at delivery, the fasting insulin, triglyceride levels, and homeostasis model assessment during delivery. In the case of GDM patients, there was no correlation between PLAC1 and these indices. Additionally, PLAC1 protein was mainly expressed in the cytoplasm of syncytiotrophoblasts and chorionic stromal cells. Conclusions: The expression of PLAC1 was reduced in the GDM placenta, which provides insight into the pathophysiological changes occurring in the placenta of these patients.
Keywords
- PLAC1
- gestational diabetes mellitus
- placenta
Gestational diabetes mellitus (GDM) corresponds to the first appearance of glucose intolerance during pregnancy [1]. The prevalence of this disorder has been increasing worldwide and was recently reported to be as high as 17.6–24.24% in China [2]. This is of particular concern, given that GDM not only increases the risk of adverse pregnancy outcomes but also has deleterious long-term effects on the health of the mother and offspring [3, 4]. The pathogenesis of GDM has not been fully elucidated, although extensive research has suggested that GDM manifests as maternal insulin resistance, inflammation, and placental dysfunction [5].
The placenta, as the key organ for fetal growth and development, plays a vital role in adapting to the maternal environment. Alteration of placental morphology and function impact the intrauterine environment and fetal development [6]. It has been demonstrated that GDM also presents as an enlarged placenta, accompanied by a series of histological changes [7, 8]. However, the potential molecular alteration is poorly understood. Placenta-specific 1 (PLAC1) is highly expressed in the placenta, but not in other adult somatic tissues, and plays a fundamental role in placental function and development [9, 10]. PLAC1 ablation can lead to placentomegaly and fetal intrauterine growth restriction [10, 11]. Previous research has shown lower PLAC1 expression in preeclampsia, which could affect placenta function [12]. Although no studies have shown that PLAC1 is directly related to the onset and/or development of GDM, preeclampsia is one of the complications of GDM, and the placenta is associated with hypoxic changes in both conditions [13, 14]. So we speculate that PLAC1 may play a role in the occurrence and development of GDM. Therefore, the objective of this study was to investigate if PLAC1 expression is altered in GDM patients, and whether this change is associated with maternal metabolism and fetal growth.
Pregnant women who underwent a scheduled cesarean delivery at the obstetric
department of Women’s Hospital School of Medicine Zhejiang University during
July–December 2015 were screened for enrollment. Ethical approval was provided
by the hospital board of ethics (ID: 20150045), and informed consent was obtained
from all participants. Written informed consent were collected from all subjects
prior to peripheral blood and placenta collection. The study included 37 pregnant
women with GDM and 38 pregnant women with normal glucose tolerance (control
group). GDM was diagnosed based on the guidelines of the International
Association of Diabetes and Pregnancy Study Groups [15], and the control group
was matched by maternal age (
The fasting maternal blood were collected prior cesarean section. Serum was
isolated from blood samples by
centrifugation. Placental tissues were
obtained within 10 min after delivery. The tissues from the fetal and maternal
surfaces were dissected into small pieces, rinsed with pre-cooled
phosphate-buffered saline (PBS) and snap frozen in liquid nitrogen. In addition,
placental tissues (1.5–2.5 cm
Fasting blood glucose (FBG) was measured using an Architect c16000 automated
analyzer (Abbott Laboratories, Chicago, IL, USA). Serum total cholesterol (TC), low density lipoprotein
cholesterol (LDL-C), high density lipoprotein cholesterol (HDL-C), triglycerides (TG), fasting insulin
(Fins) levels were determined using an Olympus AU400e chemistry immune analyzer
(Olympus, Tokyo, Japan). The homeostatic model assessment of insulin resistance
(HOMA-IR) index was calculated as follows:
HOMA-IR = [fasting glucose
(mmol/L)
Total protein was extracted from placental tissues by RIPA buffer (Solarbio, Beijing,
China) containing protease inhibitor cocktail (Selleckchem, Houston, TX, USA). Protein
concentration was measured by the BCA protein assay kit (Thermofisher, Waltham, MA, USA). An
equal amount of protein (30 ug) was load in each lane. The protein extract was
resolved on SDS-PAGE and transferred to a PVDF membrane
(Millipore, Billerica, MA,
USA). Membranes were blocked in 5% bovine
serum albumin then incubated with the primary antibodies (PLAC1 antibody:
ab105395; Abcam, Cambridge, UK;
The placental specimens were immobilized in 10% neutral buffered formalin and
then embedded in paraffin. Slides cut from paraffin blocks were
de-paraffinized, rehydrated and incubated
with H
Statistical analysis was performed using SPSS 22.0 software (IBM Corp, Chicago, IL, USA). All
of the metrological data were normally distributed and are expressed as the mean
The characteristics of the study population are shown in Table 1. There were no
significant differences in maternal age, gravidity, parity, BMI before pregnancy
or at delivery. Compared with normal pregnant women, patients with GDM had higher
FBG (3.98
| Characteristics | Control (n = 38) | GDM (n = 37) | p-value |
| Maternal age (years) | 31.82 |
32.81 |
0.27 |
| Gestational age (days) | 271.39 |
271.86 |
0.85 |
| Gravidity | 2.87 |
2.65 |
|
| Parity | 0.76 |
0.65 |
|
| Pre-pregnancy BMI (kg/m |
21.27 |
22.56 |
0.06 |
| Gestational weight gain (kg) | 15.04 |
12.94 |
0.07 |
| OGTT – FBG (mmol/L) | 4.48 |
5.29 |
|
| OGTT – 1 h (mmol/L) | 8.19 |
10.84 |
|
| OGTT – 2 h (mmol/L) | 6.62 |
8.89 |
|
| BMI at delivery (kg/m |
26.99 |
27.57 |
0.44 |
| FBG (mmol/L) | 3.58 |
3.98 |
0.04* |
| Fins ( |
7.85 |
7.46 |
0.66 |
| HOMA-IR | 1.27 |
1.33 |
0.76 |
| TC (mmol/L) | 6.67 |
6.47 |
0.43 |
| TG (mmol/L) | 3.61 |
4.18 |
0.09 |
| HDL (mmol/L) | 1.81 |
1.70 |
0.14 |
| LDL (mmol/L) | 3.10 |
2.77 |
0.07 |
| HbA1c (%) | 5.08 |
5.44 |
0.02* |
| Birthweight (g) | 3404.47 |
3606.76 |
0.03* |
| All values are expressed as mean p-value in bold indicate significant differences. *, p GDM, gestational diabetes mellitus; BMI, body mass index; OGTT-FBG, oral glucose tolerance test-fasting blood glucose; OGTT, oral glucose tolerance test; FBG, fasting blood glucose; Fins, fasting insulin; HOMA-IR, the homeostatic model assessment of insulin resistance; TC, serum total cholesterol; TG, triglycerides; HDL, high density lipoprotein;; LDL, low density lipoprotein; HbA1c, glycosylated hemoglobin type A1c. | |||
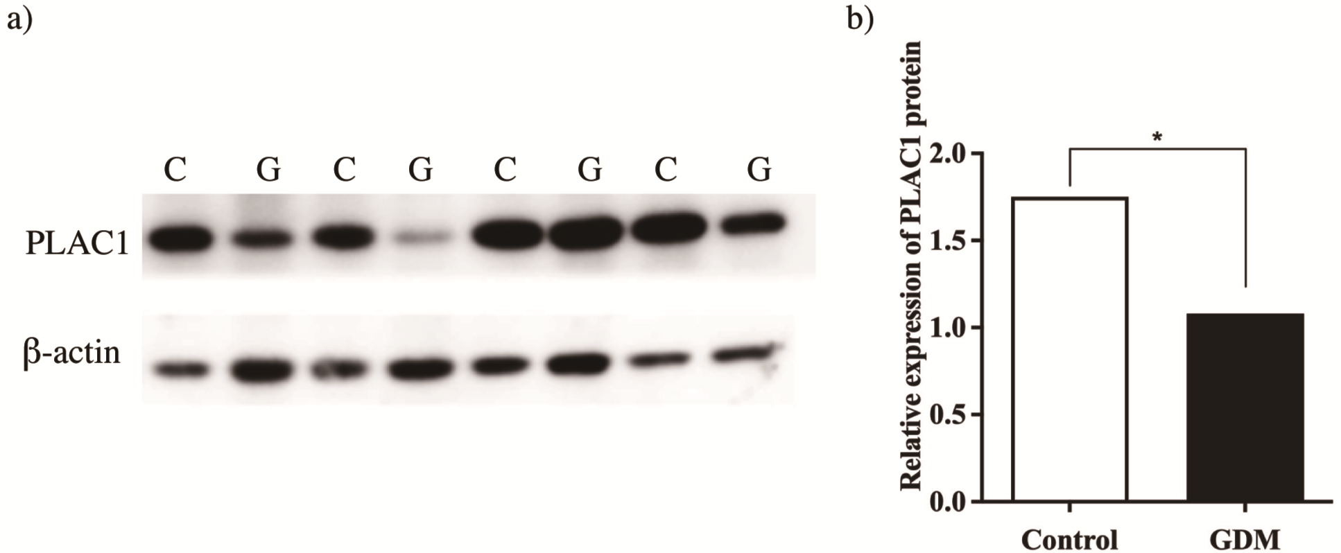
Fig. 1.Expression of PLAC1 protein in placenta from normal glucose
tolerance pregnant women (C) and GDM (G) patients. PLAC1 protein extracts from
placental tissues of control and GDM patients was determined by Western blotting
(a), and the expression level of PLAC1 protein in the GDM group was lower than
that that in the control group (b). Value represent mean
To investigate the relationships of PLAC1 and clinical parameters, we performed
Pearson’s correlation analyses. In the control group, the expression of PLAC1
protein was significantly correlated with BMI (r (correlation coefficient) = 0.45, p =
0.04), Fins (r = 0.48, p = 0.01), TG (r = 0.40,
p = 0.01), and HOMA-IR (r = 0.43, p = 0.01) (Table 2).
In the GDM group, there was no correlation between the relative gray value of the
PLAC1 protein and any clinical parameters (p
| r | p | |
| Maternal age | –0.15 | 0.39 |
| Pre-pregnancy BMI | 0.46 | |
| Gestational weight gain | –0.01 | 0.96 |
| OGTT – FBG | –0.42 | 0.80 |
| OGTT – 1 h | 0.02 | 0.92 |
| OGTT – 2 h | –0.06 | 0.71 |
| BMI at delivery | 0.45 | |
| FBG | –0.09 | 0.54 |
| Fins | 0.48 | 0.01* |
| TC | –0.13 | 0.42 |
| TG | 0.40 | 0.01* |
| HDL | –0.24 | 0.15 |
| LDL | –0.19 | 0.26 |
| HOMA-IR | 0.43 | 0.01* |
| HbA1c | –0.22 | 0.18 |
| Birthweight | 0.09 | 0.61 |
| p-value in bold indicate significant differences. *, p PLAC1, placenta-specific 1; r, correlation coefficient; p, p-value; BMI, body mass index; OGTT-FBG, oral glucose tolerance test-fasting blood glucose; OGTT, oral glucose tolerance test; FBG, fasting blood glucose; Fins, fasting insulin; HOMA-IR, the homeostatic model assessment of insulin resistance; TC, serum total cholesterol; TG, triglycerides; HDL, high density lipoprotein;; LDL, low density lipoprotein; HbA1c, glycosylated hemoglobin type A1c. | ||
| r | p | |
| Maternal age | 0.05 | 0.77 |
| Pre-pregnancy BMI | 0.31 | 0.07 |
| Gestational weight gain | –0.11 | 0.53 |
| OGTT – FBG | 0.14 | 0.41 |
| OGTT – 1 h | 0.09 | 0.60 |
| OGTT – 2 h | 0.02 | 0.91 |
| BMI at delivery | 0.22 | 0.19 |
| FBG | –0.14 | 0.41 |
| Fins | 0.15 | 0.38 |
| TC | 0.10 | 0.55 |
| TG | 0.23 | 0.17 |
| HDL | 0.19 | 0.25 |
| LDL | –0.17 | 0.32 |
| HOMA-IR | 0.03 | 0.85 |
| HbA1c | –0.20 | 0.28 |
| Birthweight | –0.01 | 0.99 |
| PLAC1, placenta-specific 1; r, correlation coefficient; p, p-value; GDM, gestational diabetes mellitus; BMI, body mass index; OGTT-FBG, oral glucose tolerance test-fasting blood glucose; OGTT, oral glucose tolerance test; FBG, fasting blood glucose; Fins, fasting insulin; HOMA-IR, the homeostatic model assessment of insulin resistance; TC, serum total cholesterol; TG, triglycerides; HDL, high density lipoprotein;; LDL, low density lipoprotein; HbA1c, glycosylated hemoglobin type A1c. | ||
PLAC1 expression and localization was also analyzed by immunohistochemistry. We studied 8 samples of GDM group and 8 samples of control group. Compared to the control group, the placenta of pregnant women in the GDM group (both fetal and maternal surfaces) showed more immature villi. The number of trophoblastic cells, stenosis of the vascular lumen, number of syncytial cells, and number of fibrinoids and necrotic villi were higher in the GDM placentas. PLAC1 protein was mainly expressed in the cytoplasm of the chorionic stroma and syncytiotrophoblasts. PLAC1 protein expression levels in the fetal and maternal surfaces of the placenta were significantly lower in the GDM than control group (Fig. 2).
Fig. 2.Expression of PLAC1 in the fetal and maternal surfaces of the control (a–d) and GDM group (e–h) detected by immunohistochemistry. The expression of PLAC1 in the GDM group was lower than that of the control group, and the PLAC1 was located mainly in the cytoplasm of villous stroma and syncytiotrophoblasts. PLAC1, placenta-specific 1; GDM, gestational diabetes.
Our study demonstrated for the first time that the PLAC1 protein was mainly expressed in the cytoplasm of syncytiotrophoblasts and chorionic cells in the placenta, and was significantly less abundant in the placenta of GDM patients. In the control group of patients with a normal pregnancy, PLAC1 expression was positively correlated with BMI, Fins, TG and HOMA-IR during delivery. In the case of GDM patients, there was no correlation between PLAC1 and these indices, indicating that PLAC1 is closely related to the regulation of metabolic activity in vivo, and that the occurrence and development of GDM is associated with a decrease in PLAC1 protein content in the placenta.
Few studies have reported on the expression change of PLAC1 in pregnancy-related disorders. There have been reports of reduced expression of PLAC1 in the placenta, but increased mRNA expression of PLAC1 in the circulation of pre-eclampsia patients, which may be due to the apoptosis of placental chorionic villus cells [16, 17]. In addition, decreased PLAC1 expression has been reported in the placenta of patients with fetal growth restriction [18]. Farina et al. [19] found that the mRNA level of PLAC1 was lower in the peripheral blood of patients at risk for miscarriage, suggesting that PLAC1 plays a role in regulating the fetal-maternal interface at the early stage of pregnancy. Another study has shown that the persistence of PLAC1 is associated with recurrent pregnancy loss and repeated implantation failure in vitro fertilization. The findings of these studies imply that PLAC1 plays a vital role in placental function.
PLAC1 protein is only detected in human placenta; it is not expressed in the decidua or amniotic fluid. Considering that PLAC1 has a highly conserved signal peptide sequence and transmembrane region, we speculated that it may be located in the cell membrane as a receptor, or in the membrane along with membrane organelles, and might participate in cell metabolism and movement, among other functions. Fant et al. [20] reported PLAC1 bands in fragments of the endoplasmic reticulum, Golgi apparatus and other organelles, and in plasma membranes, as revealed by Western blot analysis. The immunohistochemical results in this study showed that the brown-stained PLAC1 protein was mainly expressed in the cytoplasm of syncytiotrophoblasts and interstitial cells of villi, in accordance with the above inference.
Previous studies have reported that PLAC1 is aberrantly activated in multiple types of cancer, and is associated with cancer progression [21]. An in vitro study showed that a hypoxic environment suppresses the expression of PLAC1 in trophoblast cells [22]. The silencing of PLAC1 expression inhibits the proliferation, migration, and invasion of trophoblasts [12, 23]. Chang et al. [24] found that down-regulation of PLAC1 gene expression attenuated the syncytialization of cytotrophoblast cells, suggesting that PLAC1 facilitates trophoblast syncytialization. Valent et al. [25] demonstrated significantly reduced expression of syncytialization markers in GDM trophoblasts. Thus, we speculate that the abnormal expression of PLAC1 associated with trophoblast syncytialization affects placental function in GDM.
The current study is the first to report abnormal expression of PLAC1 in the GDM placenta. There were several limitations to this study. First, the GDM patients studied had received medical nutritional or insulin therapy before delivery. We only tested FPG and Fins to assess glucose metabolism, which do not necessarily reflect the extent of disease. Second, the sample size was limited. Although the study had the power to detect the differences reported, a larger sample is necessary to confirm our results and validate their clinical relevance. As mentioned above, we speculate that PLAC1 may be involved in the metabolic activities of trophoblast cells and the growth and development of the placenta, cause it is not a secreted protein, So it may be related to some metabolic pathway or the expression of cytokines such as inflammatory cytokines [26]. Those problems require further research to explore.
The expression of PLAC1 was reduced significantly in the placentas of GDM patients, as confirmed by Western blotting and immunohistochemical analyses. The results of this study provide insight into the pathophysiological changes that occur in the placentas of GDM patients.
DC and MDo designed the research study. Initials MDu performed the research. ZL provided help and advice on the experiments. YC analyzed the data. MDu and YC wrote the manuscript. All authors contributed to editorial changes in the manuscript. All authors read and approved the final manuscript.
Ethical approval was provided by the Women’s Hospital School of Medicine Zhejiang University board of ethics (ID: 20150045), and informed consent was obtained from all participants.
We are very grateful to the staff of the operating room of Women’s Hospital School of Medicine Zhejiang University (Hangzhou, China) for their assistance in collecting placenta samples.
This research was funded by Natural Science Foundation of Zhejiang Province of China (Grant No. LQ19H040008 and LQ20H040003).
The authors declare no conflict of interest.
References
Publisher’s Note: IMR Press stays neutral with regard to jurisdictional claims in published maps and institutional affiliations.


