1 Department of Obstetrics and Gynecology, Royal Victoria Hospital, McGill University, Montreal, QC H2L 4S8, Canada
2 Department of Obstetrics and Gynecology, Jewish General Hospital, McGill University, Montreal, QC H3T 1E2, Canada
Abstract
Background: Fertility preservation in oncologic cases has increased exponentially during the last 15 years. Most of these cases occur in women with breast cancer or lymphoma. Rarely, the onco-fertility physician will have cases of young ovarian cancer patients who wish to cryopreserve their oocytes or embryos. Case: A previously un-described presentation of a borderline serous ovarian tumor in a woman undergoing ovarian stimulation for fertility preservation. On the day of egg retrieval, a large subcutaneous fluid collection was noted. This fluid collection is possibly secondary to laparoscopic resection of the ovarian mass. Although, cancer recurrence has been noted at laparoscopic port entry sites and ovarian stimulation has been hypothesized to increase the risk of advancement of ovarian cancer cells, this is the first time in the medical literature that a supra-facial fluid collection occurred during gonadotropin stimulation, without ovarian hyperstimulation syndrome, in the context of ovarian malignancy. Our hypothesis is that during an operation before the stimulation cycle started, low malignant potential ovarian cells spread via the laparoscopy port to the subcutaneous space and grew in response to the gonadotropin stimulation. Conclusions: Being a borderline tumor, the fluid collection was self limited and did not re-occur with subsequent stimulations. However, in cases of frank ovarian malignacy and ovarian stimulation for fertility preservation cancer metastacis could occur to the sub-cutaneous space.
Keywords
- Fertility preservation
- Ovarian tumor
- Ovarian stimulation
- Fluid collection
- Laparoscopy
Fertility preservation in oncologic cases has increased exponentially during the last 15 years. Most of these cases occur in women with breast cancer or lymphoma [1, 2]. In these cases, ovarian stimulation and oocyte collection or cryopreservation of ovarian tissue are options to maintain fertility in the presence of impending gonadotoxic chemo or radiation therapy [3]. Rarely, the onco-fertility physician will have cases of young ovarian cancer patients who wish to cryopreserve their oocytes or embryos [4]. In such cases, ovarian tissue cryopreservation runs the risk of re-introducing the cancer if the tissue is subsequently returned to the patient. There are over 40 reported cases in the medical literature of ovarian stimulation and oocyte collection in women with ovarian cancer [5, 6, 7, 8, 9]. Most of these procedures were performed in women with serous borderline tumors, while some were in women with overt malignancies [9]. Controlled ovarian hyperstimulation poses a major concern of accelerating tumor growth [4], however, borderline ovarian tumors usually recur locally or on the contra-lateral ovary and rarely metastasize. Therefore, fertility preservation in patients who were diagnosed with or previously treated for borderline ovarian tumors is likely reasonable [10]. Whereas ovarian stimulation is usually followed by transvaginal or transabdominal oocyte collection, there are some reports of successful ex-vivo oocyte harvesting in patients with borderline ovarian tumor during the oncologic operation [5, 6].
Recurrence rates of borderline ovarian tumor are heavily affected by the type of primary surgery performed. Fertility-sparing surgery is associated with higher recurrence rates (0–25%) compared to the radical approach, where both adnexa are removed (0–5%) [11, 12]. In patients who experience recurrence after the fertility-sparing surgery, it is of major importance to assess their ovarian reserve and consider fertility preservation, since they are at increased risk of infertility even in case of a second fertility-sparing surgery [13]. Filippi et al. [8] reported two cases where ovarian stimulation and oocyte retrieval were performed prior to the second surgery, with a satisfactory number of oocytes collected and no detrimental effects on the ovarian lesions noted. Therefore, the author concluded that such a procedure is a feasible option. No evidence of tumor cell growth in-vivo with ovarian stimulation is currently in the medical literature. This may be due to the fact that the majority of these cases involved borderline tumors which are unlikely to produce invasive metastases. We will present the likely first case of ovarian stimulation which was associated with concomitant accumulation of supra-facial fluid that might represent a growth of ovarian tumor cells during the stimulation. The complication seen will be described for the first time in the medical literature. It occurred in a woman with a borderline serous tumor undergoing ovarian stimulation for fertility preservation.
A 30-years old nulligravida woman was referred for fertility preservation 6 months after undergoing right salpingo-oopherectomy due to ovarian torsion and rupture. During the surgery an omental biopsy was taken but the left ovary had a normal appearance. Lymph node dissection was not performed. Pathologic results revealed a borderline serous ovarian tumor, however the omental biopsy was negative for invasive tumor. At the time of diagnosis, her serum cancer antigen 125 (CA-125) level was 245 U/mL (normal range 0–35). She was told at that time, that there was a high risk of re-occurrence in the other ovary and she should consider fertility preservation. She presented to the fertility center and a transvaginal ultrasound scan demonstrated a 7.5 cm complex mass on the left side. Ovarian tissue with follicles was identified. A serum CA-125 level was 66 U/mL. The patient underwent counseling by the oncofertility team, discussing the risk of cancer advancing or spreading during ovarian stimulation and egg retrieval. Since the patient had a partner, she preferred to proceed with stimulation and embryo freezing. The patient was considering undergoing ovarian stimulation and oocyte retrieval when the cyst spontaneously ruptured. She presented to the emergency room in pain and had the cyst resected laparoscopically by her gynecologic oncologist using four ports, one in the umbilicus, one in the right lower quadrant, one in the left lower quadrant, and one in the left upper quadrant. Pathology confirmed a recurrence of the borderline ovarian serous tumor with a non-invasive micropapillary variant.
The patient subsequently took 4 weeks to heal and presented again to the
fertility center. Baseline Blood tests before stimulation showed a serum Anti-Mullerian Hormone (AMH) 1.54
ng/mL (range 0.07–7.35 ng/mL, cut off for decreased ovarian reserve
Fig. 1.Transvaginal ultrasound demonstrating subcutaneous fluid collection on the day of oocyte retrieval. (Please note the separate fluid of the urinary bladder overlying the uterine corpus as marked by an arrow).
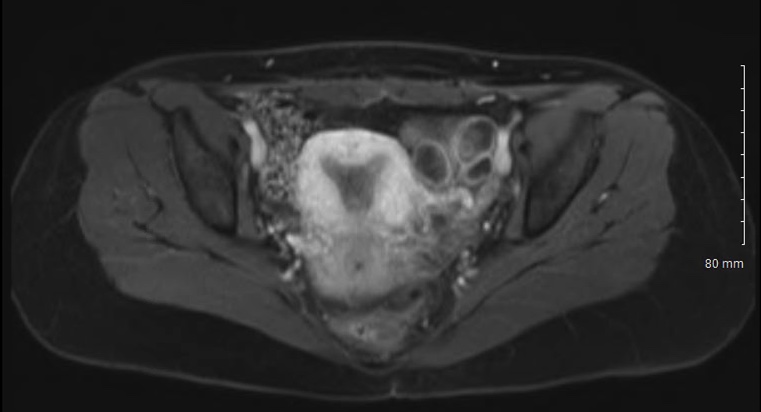
Fig. 2.Abdominal MRI performed one week after oocyte retrieval, demonstrating disappearance of the fluid.
Borderline ovarian tumors are considered as low malignant potential tumors. However, they may relapse and, albeit rare, malignant transformation can occur. A micropapillary pattern is associated with adverse outcomes such as lower disease-free survival and the presence of invasive implants [10, 14]. Around 30% of borderline ovarian tumors are observed in patients younger than 40 years of age [15]. Therefore, patients who are diagnosed with borderline ovarian tumors are amenable to consideration of fertility preservation.
Fertility preservation in patients suffering from borderline ovarian tumors have been described in the literature [5, 7, 16]. Gonadotropin stimulation of ovarian tumor cells could in theory cause tumor cell growth and metastasis to occur. However, up until this point no proof of such has been noted. This was assumed to be due to the short duration of gonadotropin stimulation. However, this is the first time in the medical literature that a supra-facial large fluid collection occurred during ovarian stimulation of an ovarian tumor patient, with the absence of ascites or ovarian hyperstimulation syndrome. The subject had only 4 follicles stimulated, relatively low serum estradiol levels and no ascites was present. It is also extremely unlikely that ovarian hyperstimulation syndrome was present on the day of oocyte retrieval because it usually occurring several days latter. Interestingly, the fluid collection was self-limited and disappeared post ovarian stimulation. Regrettably, this occurred prior to obtaining a cytological specimen of this fluid for assessment. Our hypothesis is that during the emergency operation for the cyst rupture, before the stimulation cycle started, low malignant potential ovarian cells spread via the laparoscopy port to the subcutaneous space, although of such we cannot be certain.
Morice and colleagues reported 3 cases of port-site implantation after laparoscopic treatment of a borderline ovarian tumor, which were treated by surgical resection of the port-site with good prognosis [17]. Berretta and colleagues reported 22 cases of port-site metastasis after laparoscopic management of borderline ovarian tumors, most of them were associated with serous histology [18]. In another case report, isolated subcutaneous implantation of a borderline mucinous ovarian tumor was diagnosed 9 days after the laparoscopic surgery [19]. Therefore, it is not unlikely to presume that tumor seeding could have occurred during the laparoscopic operation.
As for the fluid collection being induced by ovarian stimulation, several unique issues occurred. First of all, the fluid collection reabsorbed on its own and did not re-occur with the subsequent stimulation cycles. We suspect this reflects the propensity for low malignant potential tumors not to metastasize in an invasive fashion. Although, these tumors seed cells to the peritoneal cavity, these cells have a life cycle and undergo spontaneous apoptosis. We hypothesize this likely occurred to the cells causing the fluid collection in the subcutaneous space, however, no cytology specimen was obtained since the fluid reabsorbed prior to this being done. Whether ovarian stimulation increases invasive metastasis of low malignant potential ovarian tumors is unknown. There is a paucity of evidence regarding controlled ovarian hyperstimulation in patients with borderline ovarian tumor. This tumor has both receptors for estrogen as well as progesterone, and there may be detrimental effects of controlled ovarian hyperstimulation on borderline ovarian tumor growth [4]. It is possible that hormone production seen with ovarian stimulation may induce an apoptosis of these borderline ovarian tumor cells [4] or that they would have undergone apoptosis anyways, since this may be the nature of such a tumor. In future cases, use of an aromatase inhibitor may prevent growth of the tumor cells by decreasing endogenous estrogen levels and should have been considered in this case. Aromatase inhibition was not initiated with the stimulation protocol due to the propensity of low malignant potential tumor cells to not metastasize.
The exact cause of the subcutaneous fluid accumulation cannot be known with certainty because it reabsorbed itself prior to a cytological specimen being collected. However, the accumulation of subcutaneous fluid in a women undergoing ovarian stimulation is unique in the literature.
This case demonstrates a unique complication of ovarian stimulation that has not been previously reported in the medical literature. Reassuringly, the fluid collection was self controlled and did not re-occur. This finding suggests that if caused by cells from the ruptured tumor, ovarian stimulation did not alter their life cycle and they likely continued to undergo apoptosis. As such, ovarian stimulation in borderline malignant ovarian tumors needs further study.
RH, SS and MHD made substantial contributions to the conception or design of the work; or the acquisition, analysis, or interpretation of data; or the creation of new software used in the work; drafted the work or revised it critically for important intellectual content; approved the version to be published; and agree to be accountable for all aspects of the work in ensuring that questions related to the accuracy or integrity of any part of the work are appropriately investigated and resolved. All authors read and approved the final manuscript.
The patient has given written consent to the inclusion of material pertaining to herself; The authors have fully anonymized the patient. Ethics approval for case reports is not required at our institution.
We wish to thank the patient for consenting to publication of this article.
This research received no external funding.
The authors declare no conflict of interest. MHD is the Editor in Chief of this journal, given his role as Editor in Chief, had no involvement in the peer-review of this article and has no access to information regarding its peer-review.


