IMR Press / FBL / Volume 27 / Issue 5 / DOI: 10.31083/j.fbl2705140
Open Access Original Research
Zinc Biofortified Cowpea (Vigna unguiculata L. Walp.) Soluble Extracts Modulate Assessed Cecal Bacterial Populations and Gut Morphology In Vivo (Gallus gallus)
Show Less
Affiliation
1 Department of Food Science, Cornell University, Stocking Hall, Ithaca, NY 14853, USA
2 Department of Nutrition and Health, Federal University of Viçosa, 36570-900 Viçosa, MG, Brazil
3 Embrapa Meio-Norte, 64008-870 Teresina, PI, Brazil
*Correspondence: et79@cornell.edu (Elad Tako)
Academic Editor: Marcello Iriti
Front. Biosci. (Landmark Ed) 2022, 27(5), 140; https://doi.org/10.31083/j.fbl2705140
Submitted: 20 January 2022 | Revised: 15 March 2022 | Accepted: 16 March 2022 | Published: 25 April 2022
Copyright: © 2022 The Author(s). Published by IMR Press.
This is an open access article under the CC BY 4.0 license.
Abstract

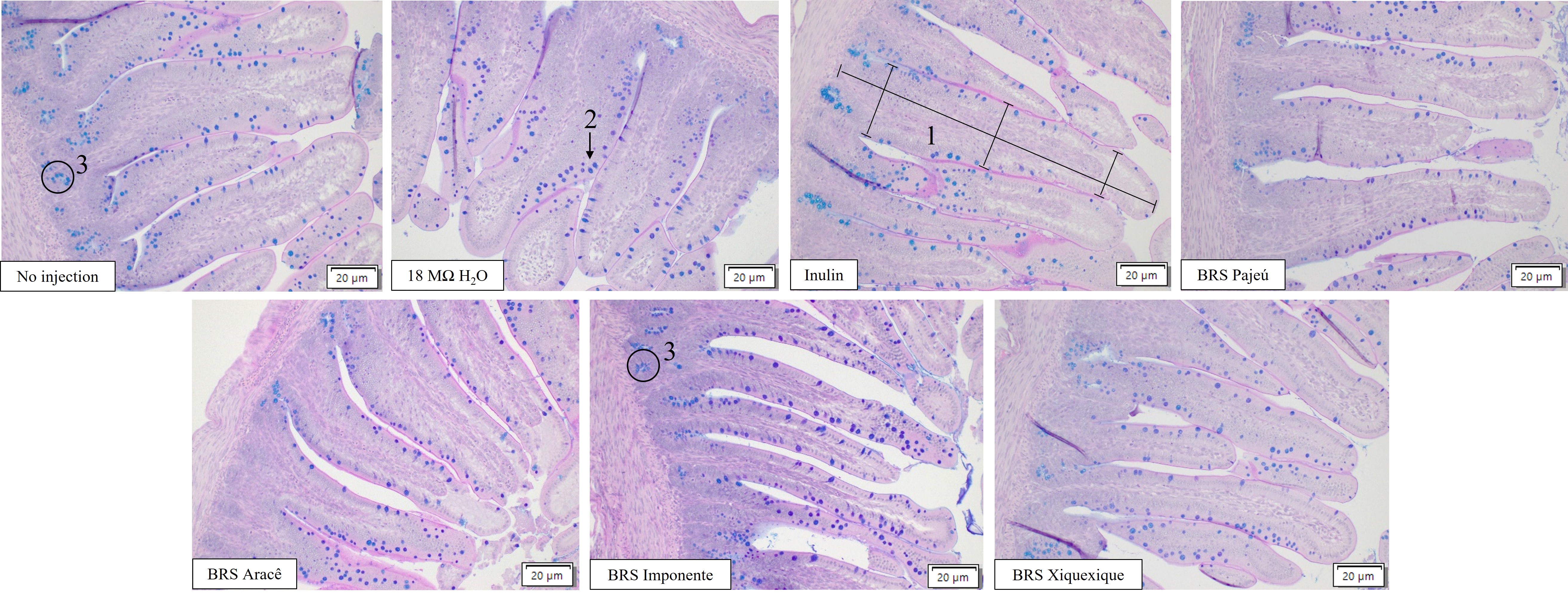
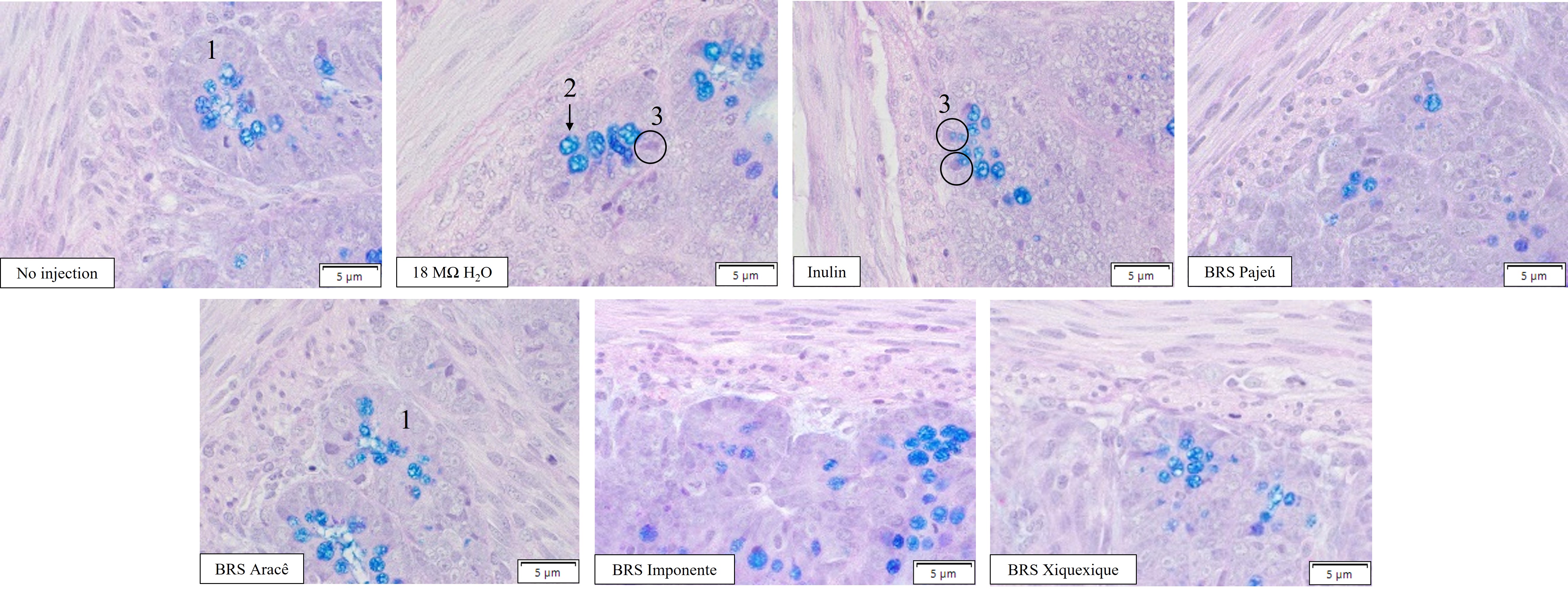
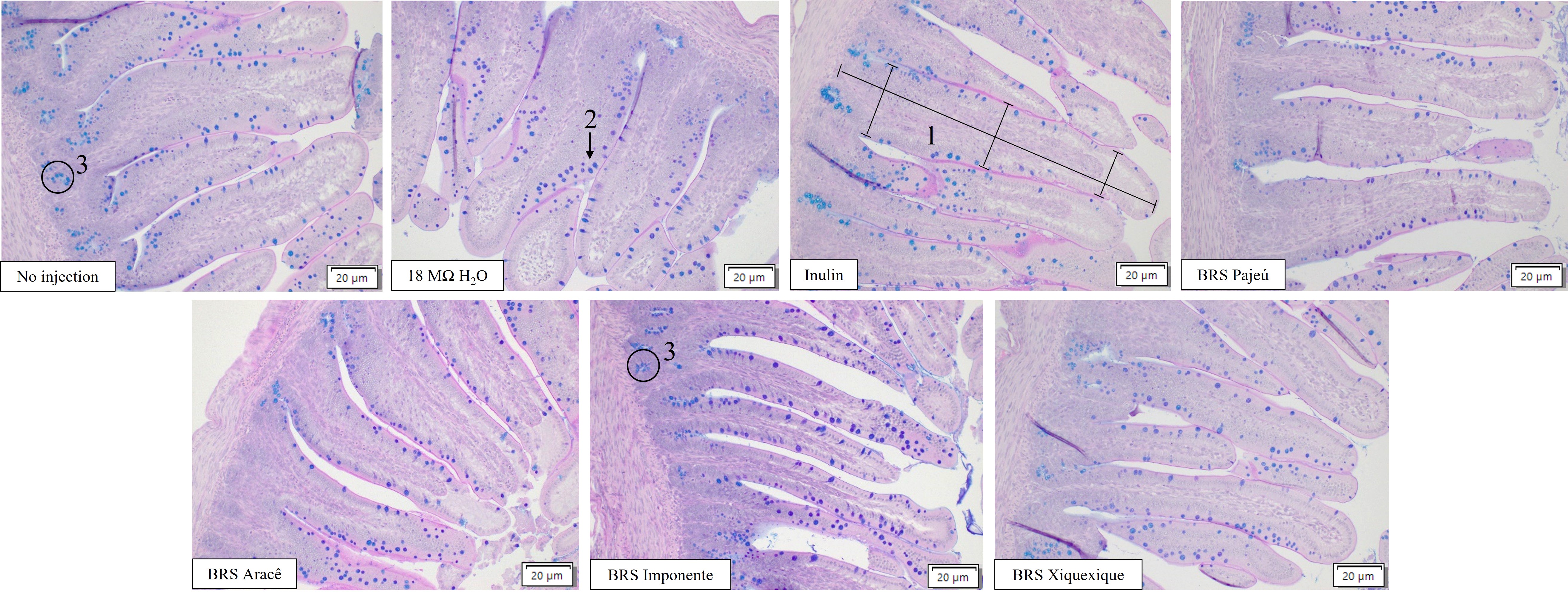
Background: Biofortification is a method that improves the nutritional value of food crops through conventional plant breeding. The aim of this study was to evaluate the effects of intra-amniotic administration of soluble extracts from zinc (Zn) biofortified and Zn standard cowpea (Vigna unguiculata L. Walp.) flour on intestinal functionality and morphology, inflammation, and gut microbiota, in vivo. Methods: Seven treatment groups were utilized: (1) No Injection; (2) 18 MΩ H2O; (3) 50 mg/mL Inulin; (4) 50 mg/mL BRS Pajeú soluble extract (Zn standard); (5) 50 mg/mL BRS Aracê soluble extract (Zn biofortified); (6) 50 mg/mL BRS Imponente soluble extract (Zn biofortified); (7) 50 mg/mL BRS Xiquexique soluble extract (Zn biofortified). Results: Treatment groups with BRS Imponente and BRS Xiquexique reduced the abundance of Clostridium and E. coli when compared with all other experimental groups. All cowpea soluble extracts increased villi goblet cell number (total), specifically acidic goblet cell type number per villi relative to inulin and 18MΩ H2O groups. Moreover, BRS Xiquexique increased the crypt goblet diameter and the crypt depth compared to all treatments and controls. The Zn content in the Zn biofortified cowpea flours was higher when compared to the Zn standard flour (BRS Pajeú), and the phytate: Zn molar ratio was lower in the Zn biofortified flours compared to the Zn standard flour. In general, all cowpea soluble extracts maintained the gene expression of proteins involved with Zn and iron absorption, brush border membrane (BBM) functionality and inflammation compared to inulin and 18MΩ H2O. Conclusions: This study demonstrates the potential nutritional benefit of standard and biofortified cowpea treatment groups to improve intestinal morphology, BBM functionality, inflammation, and gut microbiota, with the highest effect of BRS Xiquexique soluble extracts to improve assessed cecal microflora populations and intestinal morphology.

Keywords
biofortification
dietary fiber
cowpea beans
mineral deficiency
intestinal functionality
microbial populations
Figures
Fig. 1.
Share
Back to top