-
- Academic Editor
-
-
-
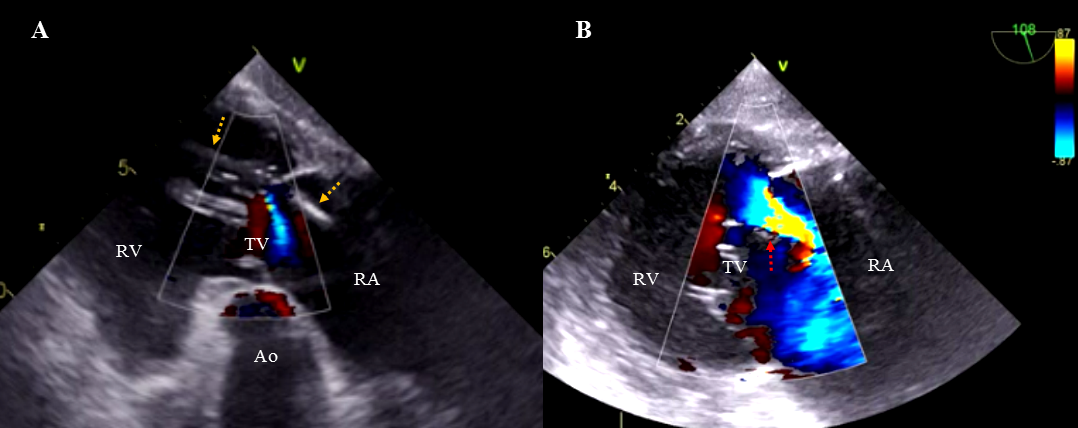
Background: Changes in tricuspid valve (TV) function following
transvenous lead extraction (TLE) and their impact on long-term survival have not
yet been investigated. Methods: From 3633 patients undergoing lead
extraction between 2006 and 2021, TV function before and after TLE was evaluated
in 2693 patients. Results: After TLE, the TV function remained unchanged
in 82.36% of patients, worsened in 9.54%, and improved in 8.10%. Abandoned
leads (odds ratio, OR = 1.712; p = 0.044), fibrotic adhesions between leads and TV
apparatus (OR = 3.596; p


